Cas traité pendant le DES ODF au CHU de Lyon
Examen clinique
• Exo-buccal : son profil convexe s’inscrit dans un contexte de rétrognathie normodivergente associée à une biproalvéolie (fig. 1).
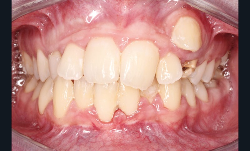
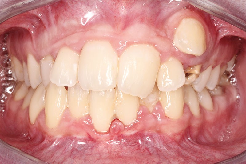
De face, Younesse présente un sourire gingivo-dentaire dissymétrique par contraction labiale unilatérale et un milieu inter-incisif dévié à droite de 2 mm par rapport au plan sagittal médian (fig. 2).
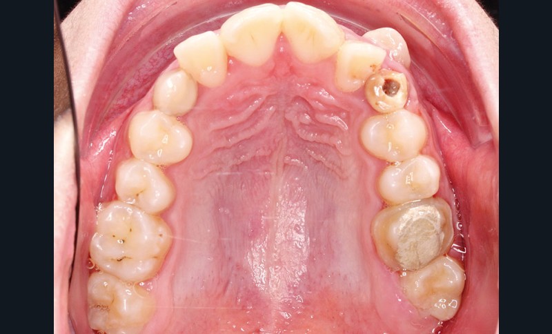
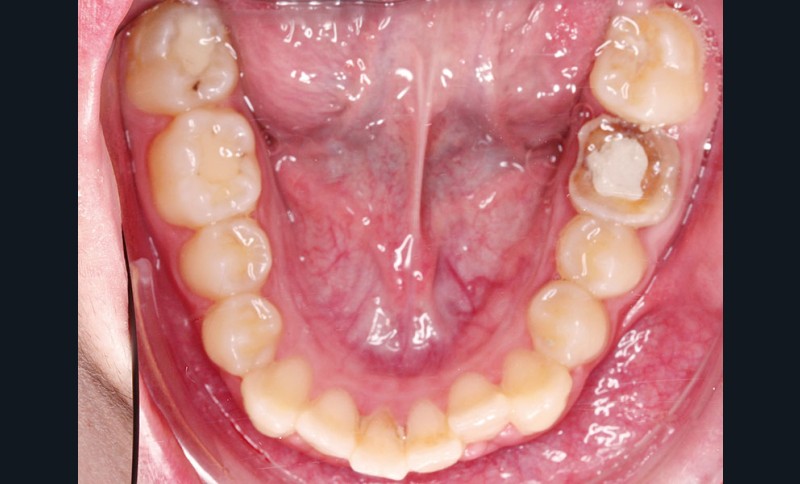
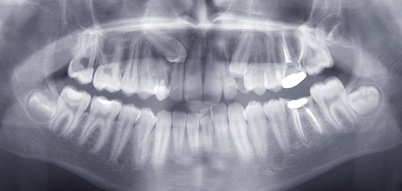
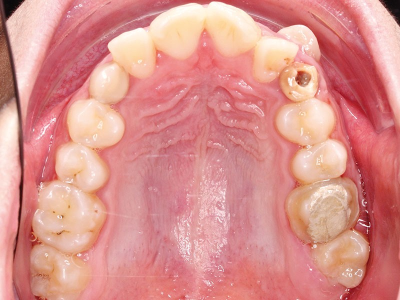
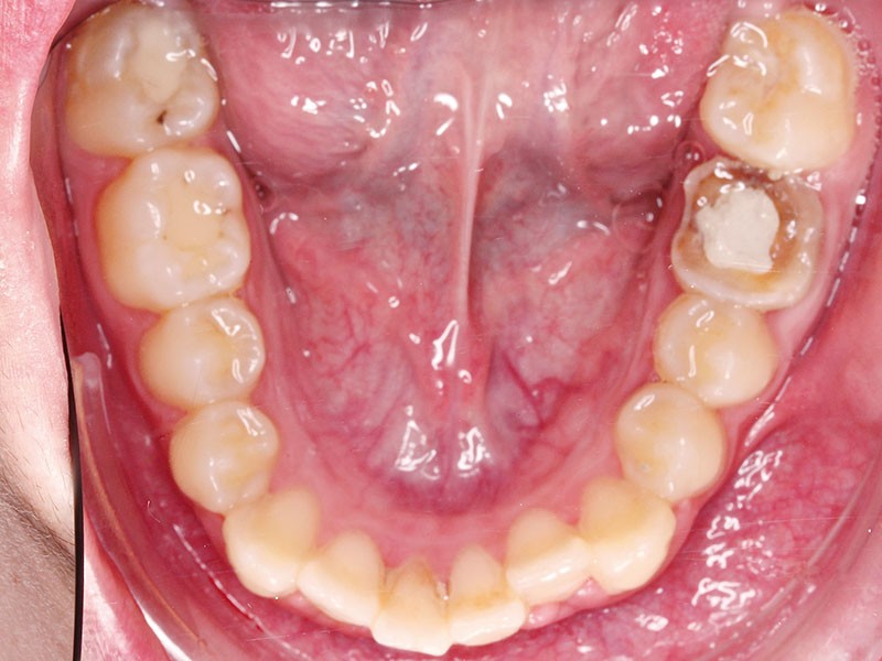
• Endo-buccal : Younesse présente un contrôle de plaque dentaire insuffisant, la persistance de 53 et 63, des soins en cours de réalisation sur 26 et 36, un encombrement maxillo-mandibulaire avec infravestibulotopie de 23 et une suspicion d’inclusion de 13 sur un schéma de Classe II subdivision droite (fig. 3 à 7).
L’examen parodontal révèle une gingivite généralisée ainsi qu’un parodonte très fin et une absence de profondeur vestibulaire.
Examen radiographique
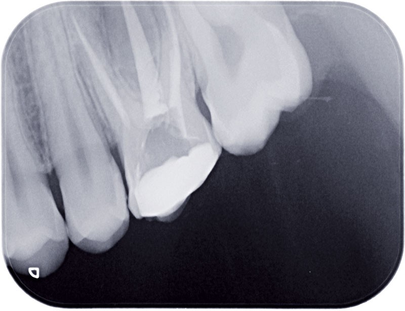
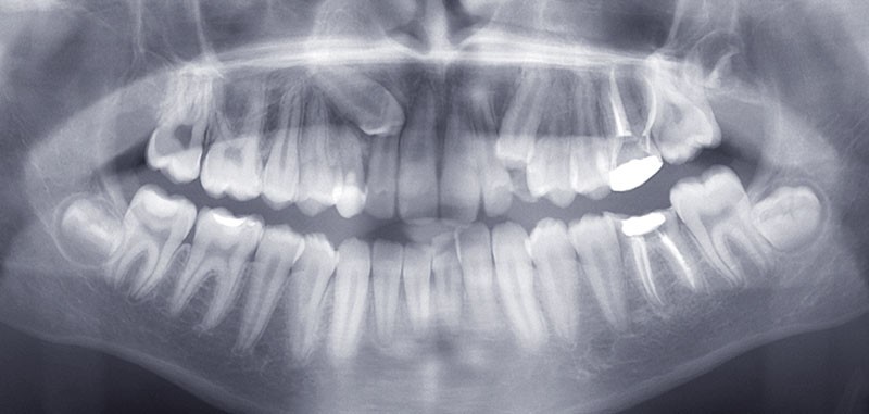
La reconstruction 3D confirme la position vestibulaire de la 13 avec appui coronaire sur la racine de 12 (fig. 8 et 9).
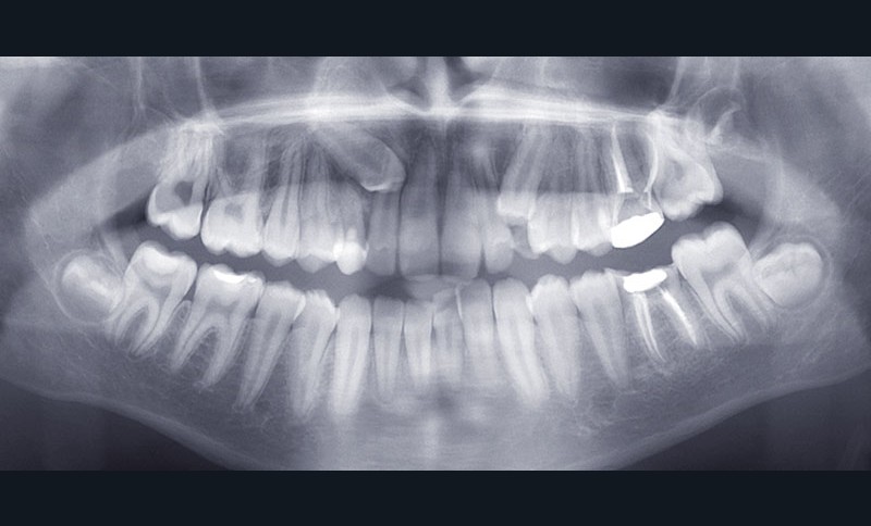
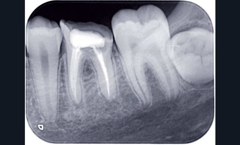
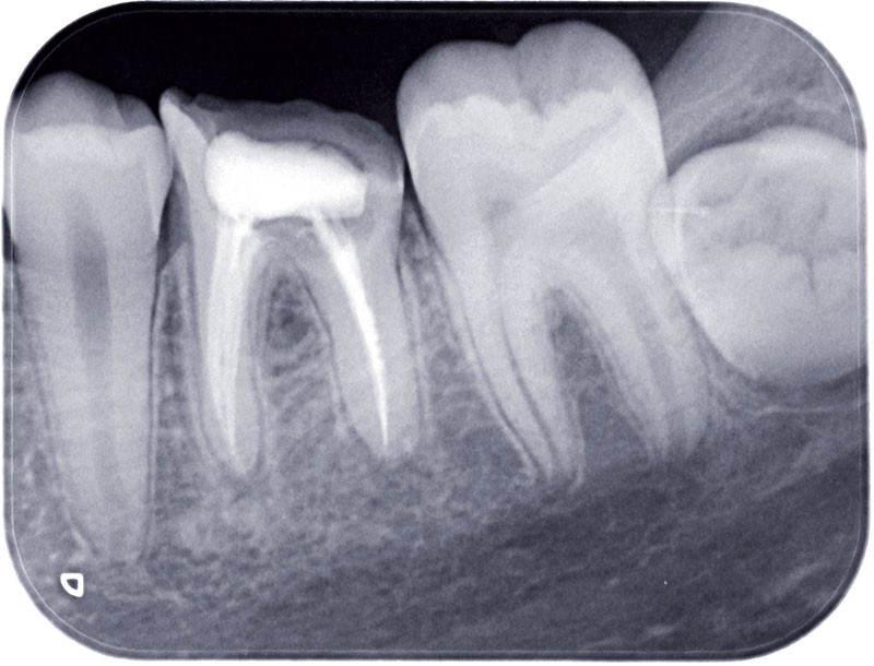
Le bilan rétro-alvéolaire révèle une atteinte du plancher radiculaire de 26 et 36 (fig. 10 et 11).
Le tracé céphalométrique confirme la dysmorphie squelettique ainsi que le contexte dento-alvéolaire (fig. 12).
Objectifs de traitement
• Recentrer les milieux par rapport au plan sagittal médian.
• Obtenir un sourire harmonieux et esthétique.
• Mettre en place 23 et 13 sur l’arcade.
• Corriger l’encombrement.
• Obtenir une Classe I molaire et canine.
• Obtenir une santé parodontale compatible avec un traitement d’orthodontie et permettant la pérennité des résultats.
Plan de traitement
Une phase initiale d’assainissement, accompagnée d’une motivation…











