3e lauréat du Grand Prix de l’Orthodontiste – Orthoplus
Diagnostic
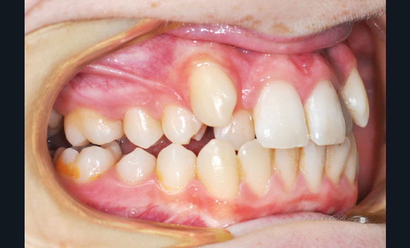
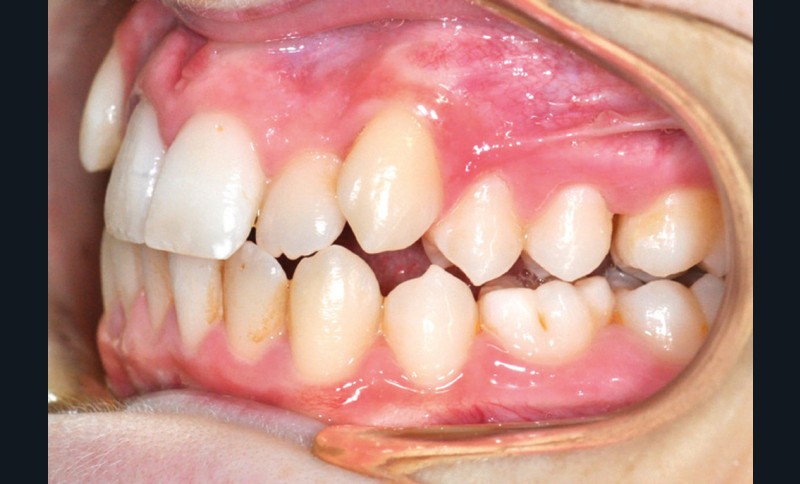
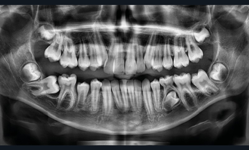
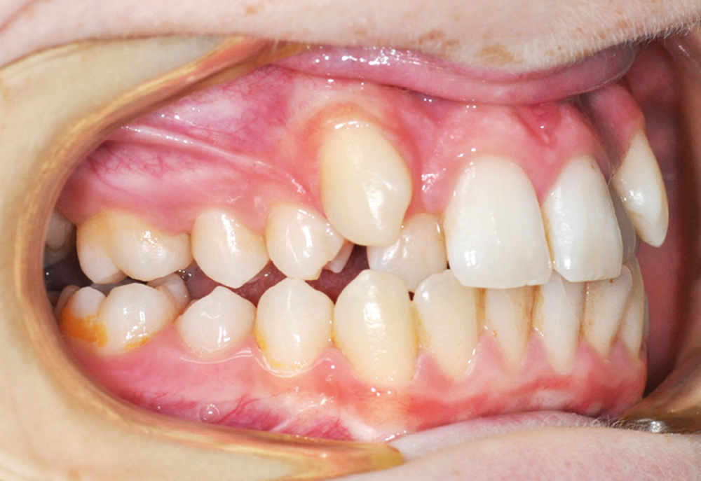
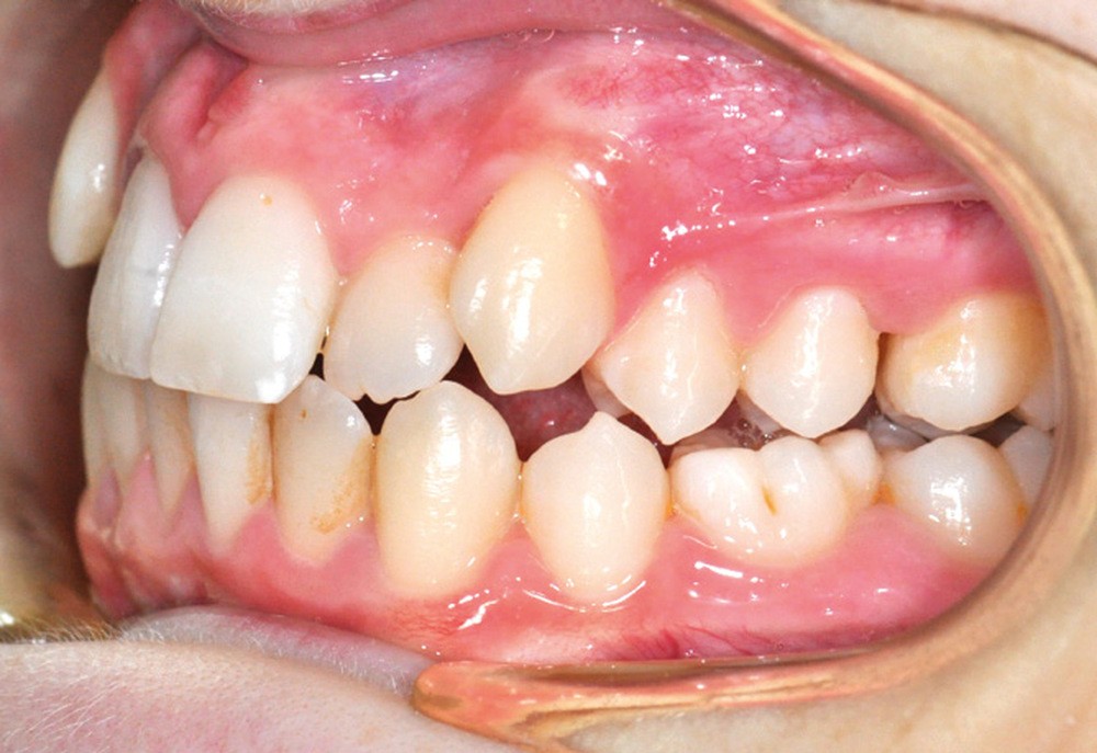
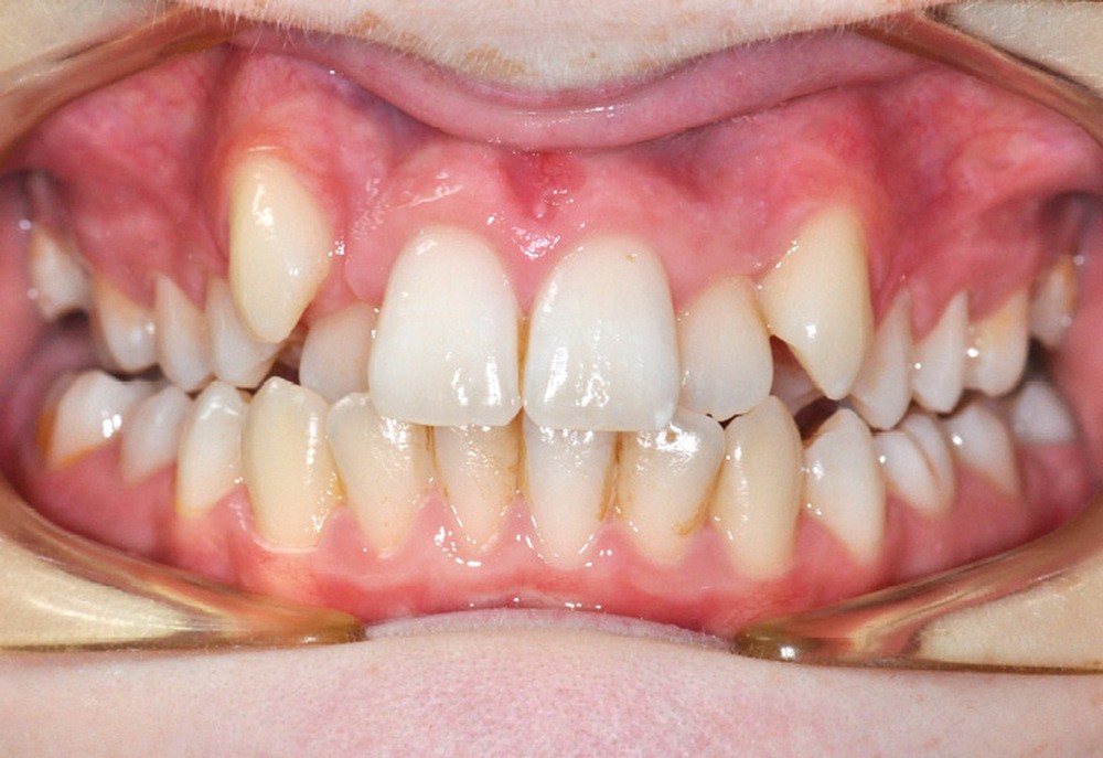
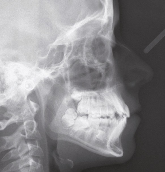
Julien nous consulte à l’âge de 11 ans et 4 mois pour des raisons essentiellement esthétiques, afin d’améliorer l’alignement de ses incisives maxillaires (fig. 1a-d) ; son chirurgien-dentiste l’a toutefois alerté sur un problème d’évolution des 35 et 47, dont l’inclusion a été mise en évidence lors d’un contrôle radiographique (fig. 1e).
Le patient présente des lèvres fines et un profil orthofrontal avec des pommettes effacées. Le sourire est inesthétique du fait de l’encombrement maxillaire, mais aussi en raison de la contraction asymétrique de la lèvre inférieure.
L’examen intra-oral met en évidence une occlusion inversée bilatérale ainsi qu’un manque de place conséquent pour les incisives latérales maxillaires en palato-position et une infra-vestibulo-position de 13 et 23. Le patient est déjà en denture adulte jeune, hormis la persistance de la 75. L’occlusion est en classe II, plus marquée du côté droit sans engendrer de déviation des médianes incisives, d’où une mésio-position plus importante de la 13 par rapport à la 23.
L’examen fonctionnel révèle une déglutition dysfonctionnelle qui n’est pas associée à des troubles ventilatoires ni à des problèmes ORL. Cela explique sans doute que l’examen téléradiographique soit quasi normal, puisque la croissance est harmonieuse à la fois dans la dimension sagittale et dans la dimension verticale (fig. 1f).
Il s’agirait donc d’un cas relativement classique de déficit de croissance maxillaire d’origine fonctionnelle, si les inclusions des 35 et 47 ne venaient compliquer la situation…
Plan de traitement et discussion
Le patient consultant tardivement pour un trouble de la dimension transversale, une thérapeutique orthopédique d’expansion rapide du maxillaire est réalisée en première intention. Un traitement multi-attache…





