Destructions amélo-dentinaires sévères et reconstruction globale céramique sans temporisation

  • Par
  • Publié le . Paru dans Stratégie Prothétique n°2 - 15 avril 2019 (page 130-145)
Information dentaire
Comment aborder un cas de réhabilitation globale ?
Quels sont les paramètres occlusaux et condyliens à prendre en compte ?
Quels matériaux et quelles formes de préparation semblent les plus appropriés aujourd’hui ?

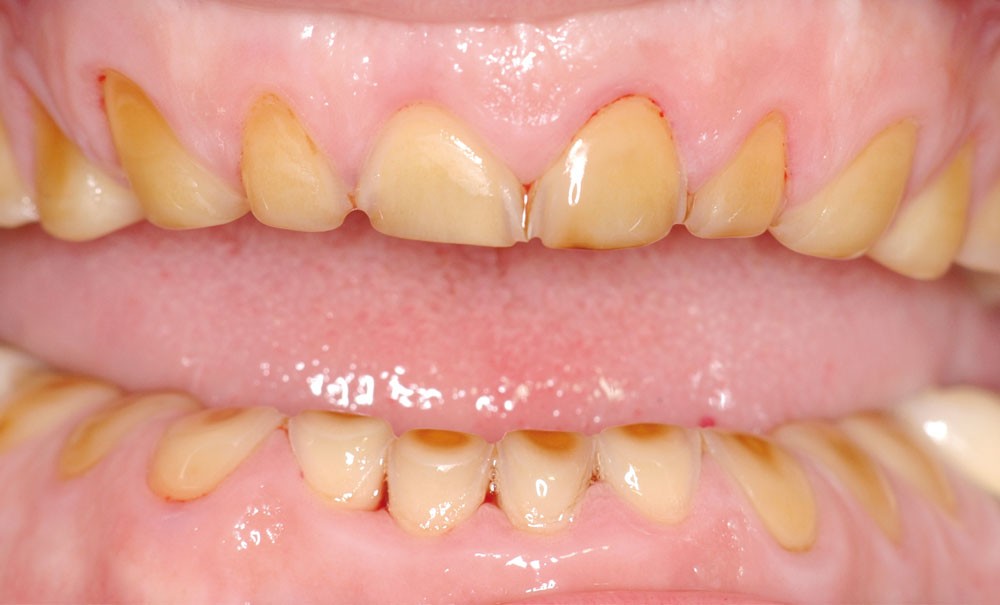
L’origine des pertes de substance dentaire sous l’effet de phénomènes d’usure et d’érosion, donc hors traumatologie et processus carieux, est de mieux en mieux comprise et décrite [1,2]. Cependant, la réhabilitation fonctionnelle des patients présentant des « fontes » amélaire et dentinaire sévères intéressant l’ensemble des dents reste un défi lié tout autant aux aspects humains de la prise en charge qu’à ses aspects technologiques et pronostiques.
Le cas clinique présenté ici répond à ce contexte. Les délabrements ont progressé insidieusement, pratiquement sans douleur, détériorant progressivement les fonctions chez une patiente qui, hors le port d’une gouttière nocturne, n’a pas mis en œuvre d’autre précaution pour enrayer ou ralentir ce phénomène.

L’ancienneté des premières altérations dentaires a conduit à une évolution lente du désordre esthétique et, comme dans bon nombre de maladies chroniques, à une certaine acceptation de la situation par le patient, souvent demandeur d’une simple amélioration [3]. L’absence fréquente de douleurs aiguës participe à la faible motivation des patients qui, conscients que cette prise en charge sera complexe, longue et onéreuse, sont fréquemment enclins à consulter pour faire plaisir à leur entourage plus que pour initier volontairement un traitement.

L’objectif de cet article est d’exposer le cheminement de notre démarche clinique et thérapeutique de prise en charge d’un patient présentant des érosions extrêmes sous l’éclairage de nos interrogations, des réponses apportées par la littérature (le décalage de trois ans entre la prise en charge clinique initiale et cette publication nous ayant cependant incités à actualiser certaines références bibliographiques) et des compétences de l’équipe médicale.

Entretien clinique

En novembre 2014, Madame T., 58 ans, se présente pour recevoir un avis sur une prise en charge « moderne »…

Cet article est réservé aux abonnés.
Pour lire la suite :

Vous êtes abonné.e ? Connectez-vous
Mot de passe
oublié ?

Vous pouvez également :

Acheter l'article En version numérique
Acheter le numéro À l'unité

Thèmes abordés