Motif de la consultation.
Femme de 26 ans venue consulter en urgence, en septembre 2013, pour de vives douleurs dans la région de la 47, apparues après des soins dentaires.
Histoire de la maladie.
Trois semaines auparavant,des soins ont été réalisés chez son chirurgien-dentiste traitant qui a utilisé de l’« arsenic ». Après une régression passagère, elle a présenté de nouveau des douleurs et elle avait l’impression que sa « gencive se décollait ».
Interrogatoire.
Suspectant l’utilisation d’un anhydridearsénieux, nous nous sommes étonnés que le confrère n’ait pas donné un rendez-vous dans les jours suivants pour ôter le pansement arsenical et réaliser le traitement de racine. La patiente a expliqué que ce confrère avait effectué un pansement arsenical car il partait en vacances. Ce serait pour cette raison qu’elle ne l’aurait pas consulté lorsque les douleurs ont récidivé. Progressivement, les douleurs sont devenues très vives, difficilement supportables, faisant suspecter une desmondontite associée éventuellement à une fusée arsenicale.
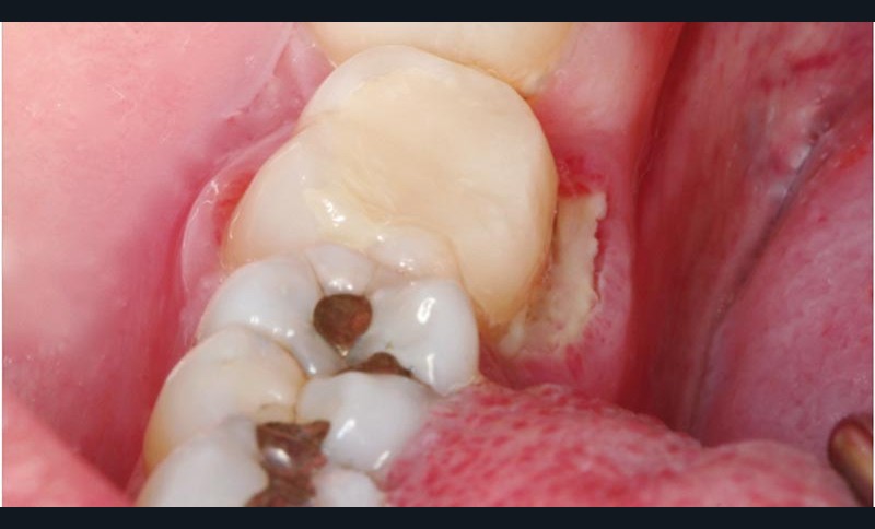
Examen clinique.
Sur la 47, on observait une volumineuse obturation provisoire reconstituant la face linguale et une exposition de l’os alvéolaire, au contact de la 47, sur toute la longueur de la face linguale et sur une largeur de 6 mm.
Examens paracliniques.
Le séquestre osseuxn’était pas visible sur la radiographie rétro-alvéolaire. L’examen histopathologique du séquestre (10 x 6 x 1,5 mm) a confirmé qu’il s’agissait d’un séquestre osseux avec quelques lacunes d’ostéoclasie en périphérie et parfois un ostéoclaste. On notait également par endroits la présence de très rares corps étrangers pulvérulents,brunâtres, très faiblement biréfringents en lumière polarisée,correspondant probablement à un produit dentaire.
Synthèse.
L’anamnèse et le tableau clinique évoquaient une fusée arsenicale.
