Discussion autour d’un cas complexe d’inclusions multiples atypiques

  • Par
  • Publié le . Paru dans L'Orthodontiste
Information dentaire
Dans notre numéro de mars-avril 2018, le Pr Marie-José Boileau et le Dr Elsa Garot avaient présenté un cas d’inclusions multiples atypiques pour lequel nous vous proposions de réfléchir tous ensemble et de partager notre expérience, afin que toute la communauté en profite. Voici la discussion de ce cas clinique.

En l’absence d’obstacle mécanique et d’antécédents médico-chirurgicaux particuliers, le cas décrit précédemment évoque un tableau clinico-radiologique de défaut primaire d’éruption (DPE). En effet, deux ans après l’âge physiologique d’éruption, on ne parle plus de retard mais de défaut d’éruption, pouvant affecter les dents temporaires comme les dents permanentes.

Aspects cliniques et radiologiques

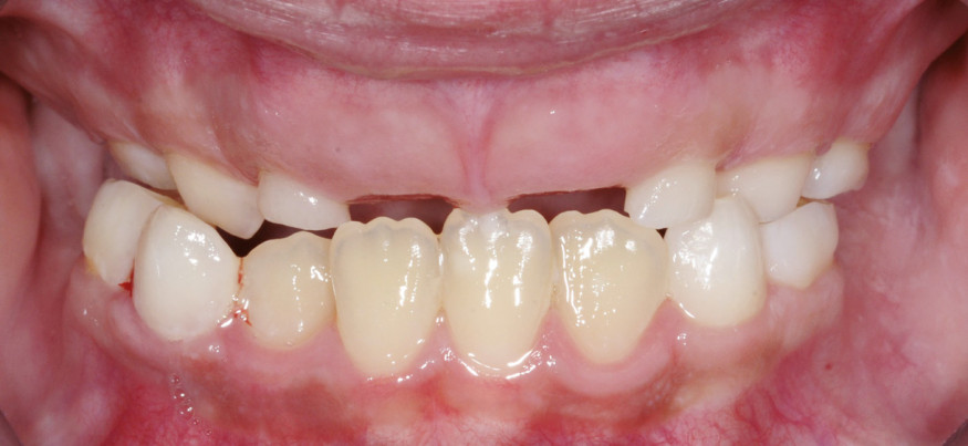
Ce cas est une forme sévère, puisque les quatre quadrants sont touchés ainsi que les dents profondément incluses, correspondant à une forme de DPE bilatérale et bimaxillaire (fig. 1).
L’absence sur l’arcade des deuxièmes molaires temporaires mandibulaires ne peut cependant être considérée comme un DPE, puisque la position occluso-linguale des deuxièmes prémolaires pourrait être le fait d’une transposition, et donc constituer un obstacle mécanique à l’éruption des molaires temporaires.

Fig. 1 – Vue endobuccale initiale.

Les examens d’imagerie permettent de visualiser la présence de chemins d’éruption intra-osseux, coronairement aux dents permanentes concernées (fig. 2, 3). Une analyse fine des coupes obtenues par CBCT doit permettre d’exclure un phénomène d’ankylose ; la résolution spatiale doit donc être suffisante pour objectiver la présence d’un espace desmodontal préservé.

Fig. 2 – Radiographie panoramique initiale.Fig. 3 – Reconstruction 3D de l’arcade dentaire mandibulaire côté gauche.

 

Analyse génétique

L’analyse moléculaire avec recherche de mutations pathogènes ne fait pas partie de la pratique courante dans le cas des DPE ; elle est réalisée principalement dans le cadre de protocoles de recherche clinique.

Un prélèvement salivaire à l’aide d’un kit Oragene permet, en première intention, de rechercher une anomalie au niveau des gènes qui jouent un rôle dans le développement dentaire. Le prélèvement est en général effectué chez le patient…

Cet article est réservé aux abonnés.
Pour lire la suite :

Vous êtes abonné.e ? Connectez-vous
Mot de passe
oublié ?

Vous pouvez également :

Acheter l'article En version numérique

Thèmes abordés