Actuellement, les traitements orthodontiques sont de plus en plus répandus chez les patients adultes. Des moyens thérapeutiques répondant à leurs exigences esthétiques ont été développés, parmi lesquels la technique linguale. Celle-ci s’est progressivement intégrée dans l’arsenal thérapeutique de l’orthodontiste. Parallèlement aux innovations concernant les moyens thérapeutiques, la distalisation trouve actuellement sa place dans la gestion de la dysharmonie dento-maxillaire (DDM). Ce cas de classe I DDM a ainsi été traité par distalisation maxillo-mandibulaire en technique linguale.
Présentation du cas
Cette patiente de 20 ans se présente en consultation pour réaliser un bilan orthodontique. Elle n’a jamais été traitée orthodontiquement et souhaite améliorer l’esthétique de son sourire. L’anamnèse rapporte un antécédent d’avulsion des 3es molaires.
À l’examen exobuccal, le visage est symétrique, harmonieux et équilibré. La patiente présente une classe I squelettique mésodivergente à tendance hypodivergente. Le sourire est perturbé par une visibilité excessive des canines maxillaires, ce qui correspond au motif de consultation (fig. 1).
L’examen fonctionnel ne rapporte aucune dysfonction ventilatoire, masticatoire, linguale ou des articulations temporo-mandibulaires. La cinétique mandibulaire est cependant perturbée par un guide antérieur dysfonctionnel (supraclusion incisive) et une absence de protection canine en latéralités (rotations et mésioversions de 13 et 23).
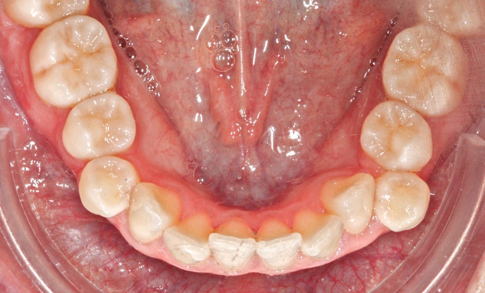
L’examen intra-arcade met en évidence une hygiène bucco-dentaire irréprochable, favorable à un traitement en technique linguale. Le phénotype parodontal est fin dans la région incisivo-canine mandibulaire. L’encombrement est estimé à 8 mm à la mandibule et à 4 mm au maxillaire (fig. 2). Les arcades ont des formes similaires, en U. Les rapports inter-arcades mettent en évidence une classe I d’Angle…
