Données probantes et recommandations pour l’étape 2 de la thérapie parodontale

  • Par
  • Publié le . Paru dans L'Information Dentaire n°33 - 28 septembre 2022 (page 42-50)
Information dentaire
Une fois diagnostiquée, la maladie doit être traitée selon un protocole bien établi. La Fédération Européenne de Parodontologie a publié des lignes directrices pour chaque stade de la parodontite. Cet article présente la séquence de traitement des maladies parodontales des stades 1 à 3. Ces étapes sont à la portée du chirurgien-dentiste et le guideront pas à pas tout au long de la thérapeutique.

Qu’est-ce que la parodontite ?

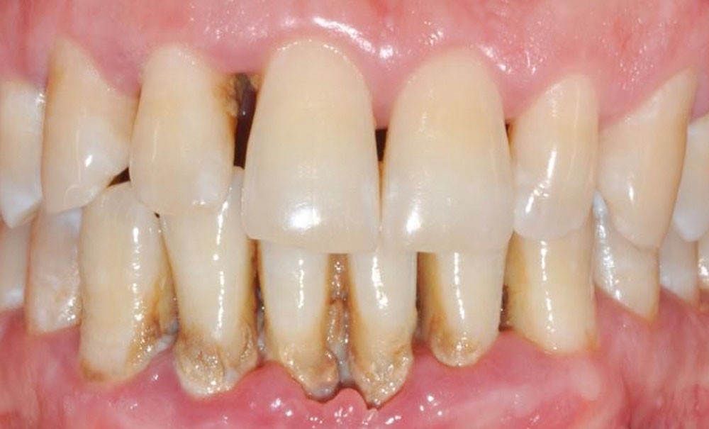
La parodontite est une maladie inflammatoire chronique déclenchée par l’accumulation de biofilm ; elle est d’étiologie multifactorielle [1]. Les manifestations cliniques incluent la présence de poches parodontales, des saignements au sondage, une perte osseuse radiographique verticale et horizontale, et une mobilité dentaire. Si la parodontite n’est pas traitée, elle peut entraîner la perte des dents, bien qu’elle soit évitable et traitable dans la plupart des cas.

Elle englobe à la fois des facteurs de risque locaux et systémiques. Parmi les facteurs de risque locaux, l’accumulation de plaque, les marges sous-gingivales/incorrectes des restaurations et les déformations anatomiques sont incluses, tandis que les facteurs de risque systémiques englobent les habitudes de vie négatives (c’est-à-dire une mauvaise alimentation, le manque d’exercice physique régulier, un stress élevé et une mauvaise qualité du sommeil, et le tabagisme), ainsi que la présence de maladies systémiques comorbides (c’est-à-dire le diabète, la polyarthrite rhumatoïde, les maladies cardiovasculaires, etc.) [2].

Séquence de traitement des stades I à III de la parodontite

En 2020, les directives de pratique clinique de niveau EFP S3 pour les stades I à III de la parodontite ont été publiées [3]. Une fois diagnostiquée, la parodontite doit être traitée en utilisant une approche par étapes préétablies, qui doit être progressive, en fonction du stade de la parodontite. Par conséquent, chaque stade de la maladie doit être traité en incluant différentes interventions.

Avant de commencer la planification du traitement, il est essentiel d’informer correctement les patients sur les causes de leur état, ainsi que sur les facteurs de risque, les risques/bénéfices attendus du traitement et les options de traitement ; y compris l’option de l’absence de traitement [3]. Suite à cette discussion approfondie avec le patient…

Cet article est réservé aux abonnés.
Pour lire la suite :

Vous êtes abonné.e ? Connectez-vous
Mot de passe
oublié ?

Vous pouvez également :

Acheter l'article En version numérique
Acheter le numéro À l'unité

Thèmes abordés

Sur le même sujet

Parodontologie

Article réservé à nos abonnés De la muco-esthétique à la muco qui sauve les dents

Le concept PASS au cœur de l’innovation parodontale La chirurgie plastique parodontale a connu une évolution notable, alliant avancées cliniques et technologiques...
Parodontologie

Article réservé à nos abonnés Séance SFPIO – Quelles sont les bonnes pratiques en parodontologie en 2024 ?

Responsable scientifique : Caroline Fouque Intervenants : Damien FEUILLET, Hélène RANGé, Nicolas BLANC-SYLVESTRE La parodontologie au croisement des disciplines Toutes sévérités confondues, les...