Douleur palatine chronique sans lésion muqueuse évidente !

  • Par
  • Publié le . Paru dans L'Information Dentaire (page 27-29)
Information dentaire
Les douleurs chroniques de la muqueuse buccale sont soit dues à une pathologie chronique de la muqueuse, soit d’origine neuropathique.
En l’absence de lésion muqueuse, le diagnostic de douleur neuropathique est le plus souvent retenu.
Si cette assertion prévaut dans la majorité des cas, elle peut être source d’erreur diagnostique quand il s’agit de douleurs palatines.

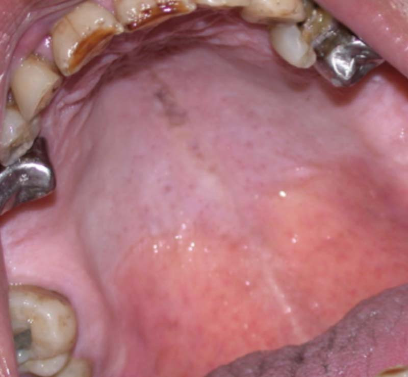
CAS 1

Motif de la consultation.
Femme de 66 ans, adressée pour le diagnostic et le traitement de douleurs palatines et linguales.

Histoire de la maladie.
Depuis trois ans, la patiente décrit des brûlures palatines et linguales ayant résisté aux traitements antifongiques et antibiotiques.

Interrogatoire.
La patiente était traitée pour une dépression par escitalopram (20 mg/j) et zopiclone (7,5 mg/j). Les douleurs débutaient après le petit-déjeuner et augmentaient progressivement au cours de la journée. Ces douleurs, cotées à 8/10 sur une échelle numérique, étaient absentes lors des repas.

Examen clinique.

Il était strictement normal.

Examen paraclinique.
Aucun examen paraclinique n’était indiqué, car le diagnostic clinique était évident.

Synthèse.
Il s’agissait d’une stomatodynie primaire appelée « burning mouth syndrome » (BMS) par les auteurs anglo-saxons. Le BMS est aujourd’hui considéré comme une douleur neuropathique ; cette hypothèse étiopathogénique repose sur des arguments histologiques, électrophysiologiques et thérapeutiques. Le BMS touche préférentiellement les femmes après l’âge de 55 ans, dans un contexte anxio-dépressif, ce qui était le cas de cette patiente. Le diagnostic est orienté par les caractères de la douleur : brûlures qui augmentent au cours de la journée et qui sont généralement absentes pendant les repas. Une xérostomie sans hyposialie est fréquente. L’examen clinique ne retrouve pas de lésions muqueuses susceptibles d’expliquer la symptomatologie. Le traitement repose sur la prescription d’antidépresseurs tricycliques ou d’antiépileptiques à faibles doses au long cours.

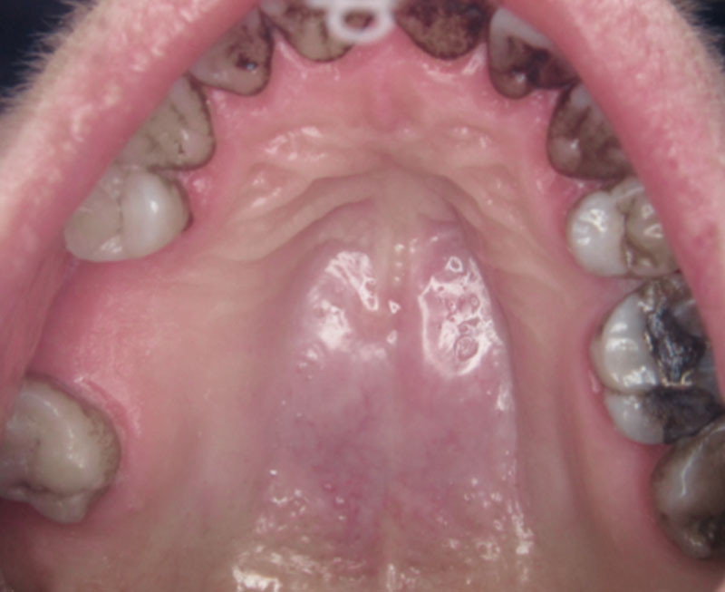
CAS 2

Motif de la consultation.
Femme de 46 ans qui a consulté pour une douleur palatine médiane présente depuis quatre mois.

Histoire de la maladie.

Depuis quatre mois, la patiente se plaint d’une douleur palatine localisée, continue.

Interrogatoire.
La patiente ne présentait aucun antécédent médico-chirurgical.

Cet article est réservé aux abonnés.
Pour lire la suite :

Vous êtes abonné.e ? Connectez-vous
Mot de passe
oublié ?

Vous pouvez également :

Acheter l'article En version numérique

Thèmes abordés