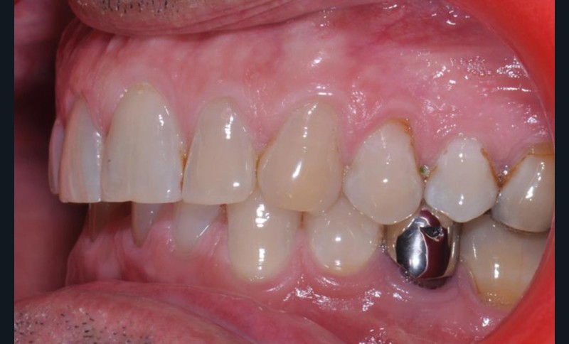
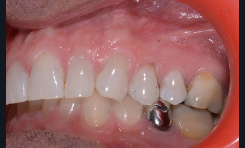
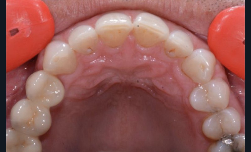
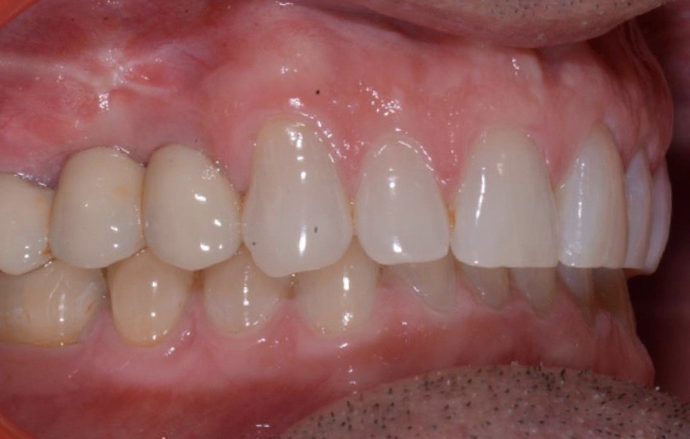
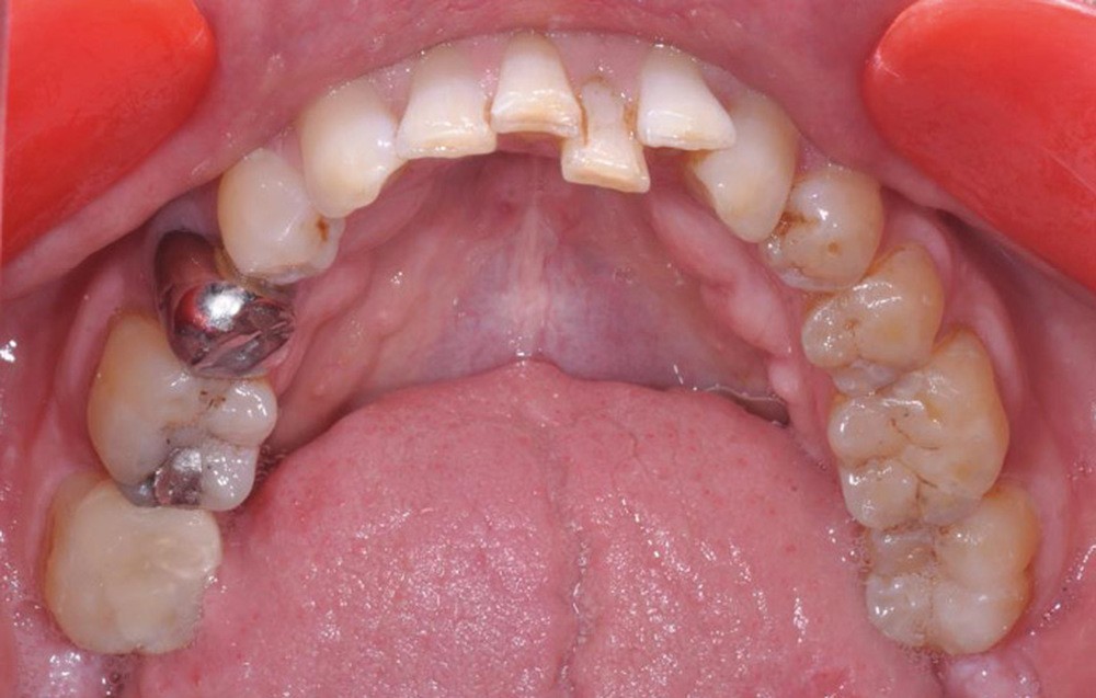
Présentation du cas clinique (fig. 1 à 3)
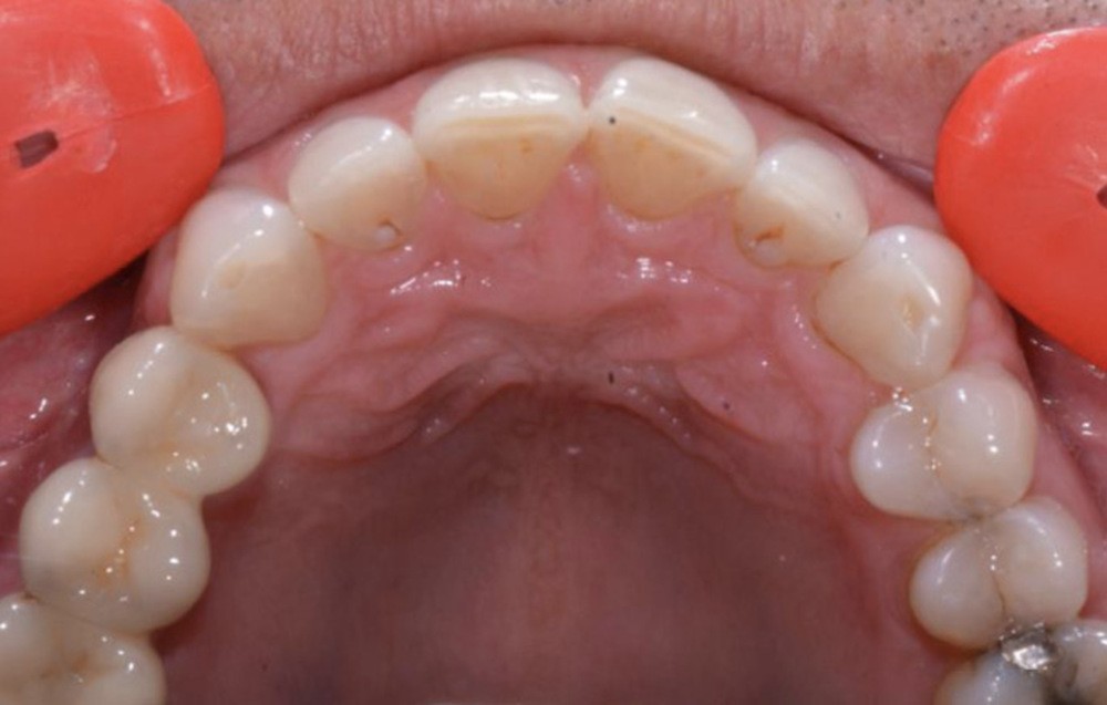
Le patient, âgé de 58 ans, présente un encombrement dentaire mandibulaire de 5 mm dans un contexte squelettique hypodivergent.
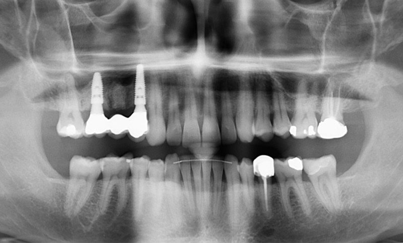
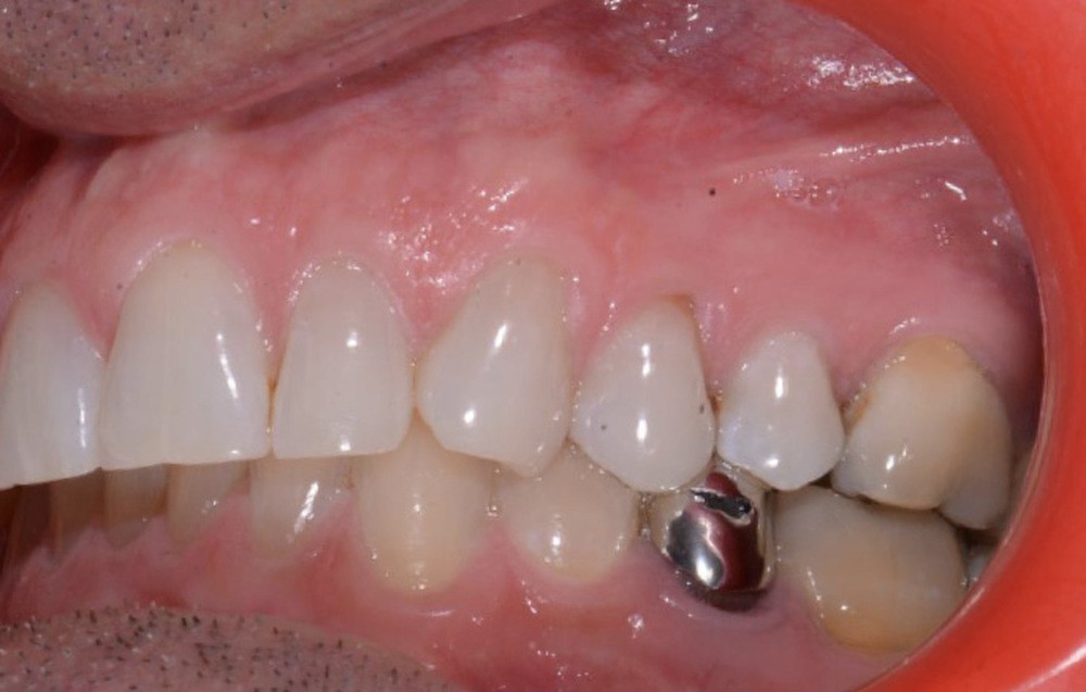
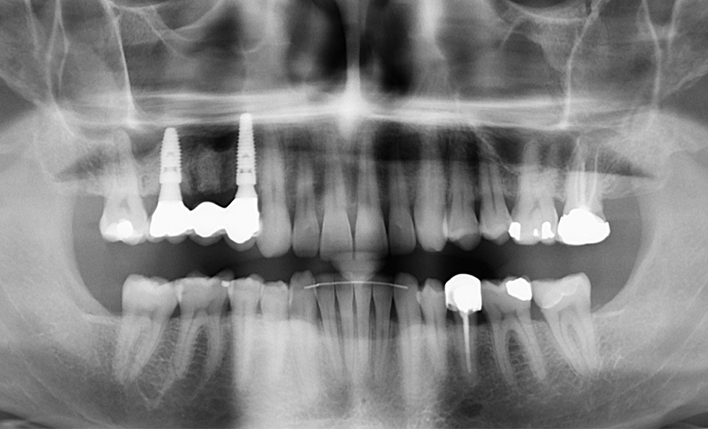
À la radiographie panoramique, on constate une lésion apicale sur 15 et une atteinte inter radiculaire sur 16 ainsi qu’une légère rotation de 21 sans gêne pour le patient.
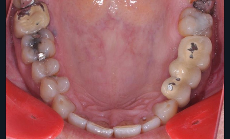
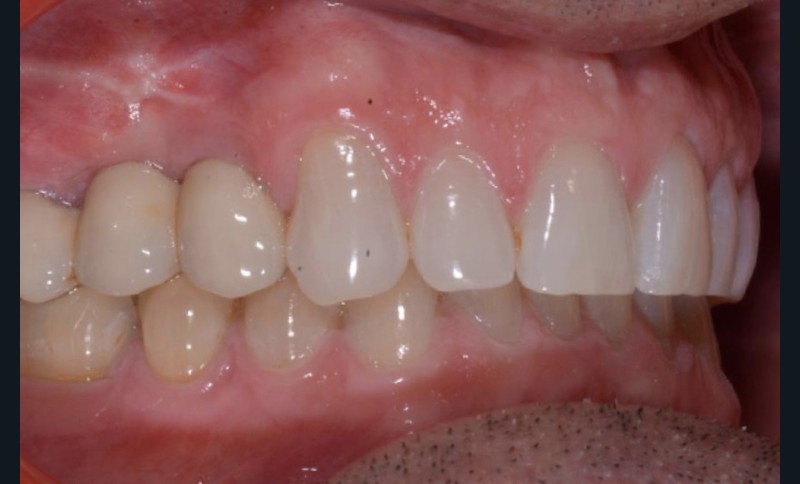
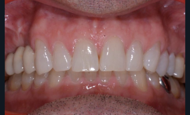
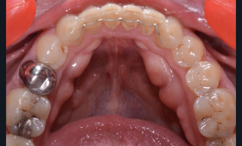
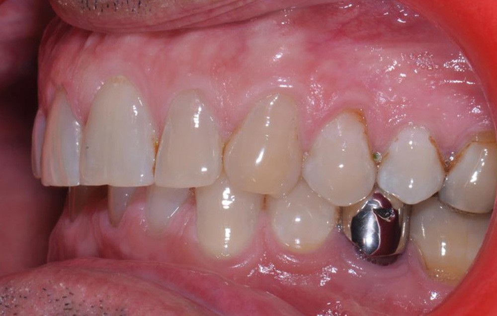
Plan de traitement
(fig. 4 à 10)
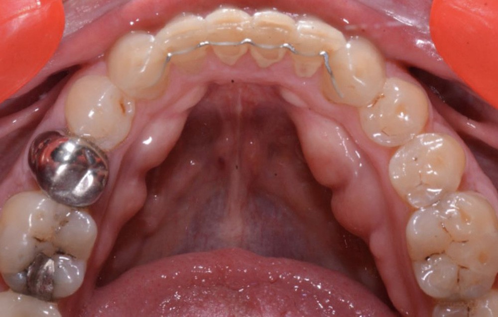
Le plan de traitement établi conjointement avec son chirurgien-dentiste traitant consiste à réaliser un alignement dentaire mandibulaire et à réaliser des extractions de 16 et 15 pour un remplacement par prothèse implanto-portée.
La durée orthodontique prévue est de neuf mois, avec comme contrainte principale l’absence de possibilités de modification des formes d’arcades.
Le gain de place se fera par des réductions interproximales sur la zone incisivo-canine mandibulaire.
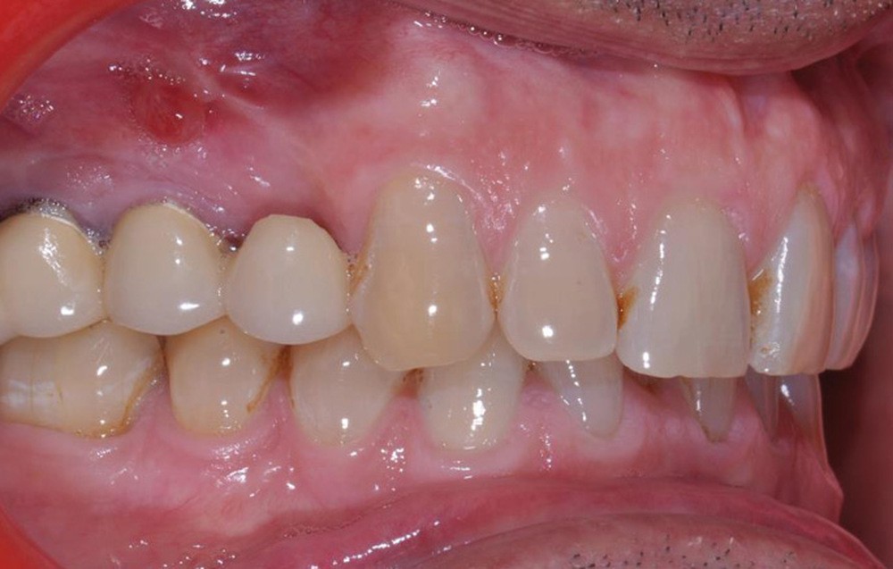
Il est décidé de ne pas redresser la 43 complètement afin de ne pas entraîner d’interférences occlusales.
Un accompagnement par des meulages occlusaux est réalisé.
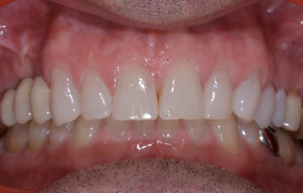
Conclusion
Les techniques orthodontiques de déplacement par gouttières orthodontiques thermoformées sont très efficaces pour gérer des situations simples. Ce patient en montre l’intérêt, en particulier lorsque la forme d’arcade dentaire doit être maintenue. Les systèmes « in-office » peuvent tout à fait permettre la gestion de ces situations.
























