Les dents antérieures sont généralement extraites pour des motifs infectieux ou traumatiques. Dès lors, le praticien se retrouve confronté à un dilemme : implanter immédiatement dans ce secteur ou temporiser, risquant d’assister à une résorption physiologique tissulaire liée à la perte de l’organe dentaire.
Nous avons choisi de présenter ici un cas d’implantation immédiate après extraction d’une incisive centrale maxillaire gauche (21) associée à la réhabilitation esthétique de son environnement parodontal et péri-implantaire dans ce secteur.
Démarche thérapeutique : step by step en un temps opératoire
Situation initiale
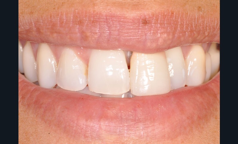
Une patiente âgée de 32 ans, en bonne santé générale et non fumeuse, est adressée pour réhabilitation esthétique et fonctionnelle du secteur antérieur, conséquence d’un trauma facial remontant à seize ans, au cours duquel la dent 21 a été expulsée et réimplantée. Dans un souci esthétique, deux couronnes céramo-métalliques ont été fabriquées successivement au cours du déplacement progressif de la dent.
L’examen clinique montre que l’incisive centrale maxillaire gauche (21) est en exfoliation vestibulaire, elle présente une mobilité 2 de sa portion coronaire et interfère dans sa fonction (fig. 1, 2).
On objective, dans la partie la plus apicale du vestibule, la présence d’une zone infectieuse (abcès parodontal) causée, entre autres, par la forte résorption externe de la racine (fig. 3).
L’examen radiographique permet d’observer l’étendue de la résorption radiculaire (fig. 4).
L’examen cone-beam permet de visualiser le volume osseux résiduel exploitable pour une implantation immédiate (fig. 5) malgré une perte de substance évidente.




