Dysplasie ectodermique hypohidrotique : prise en charge d’un cas clinique

  • Par
  • Publié le . Paru dans Stratégie Prothétique n°1 - 15 février 2017 (page 63-68)
Information dentaire
Quelles sont les manifestations liées à cette pathologie ? Comment concevoir la prise en charge clinique ? Quelles sont les particularités du traitement prothétique chez le jeune enfant ?

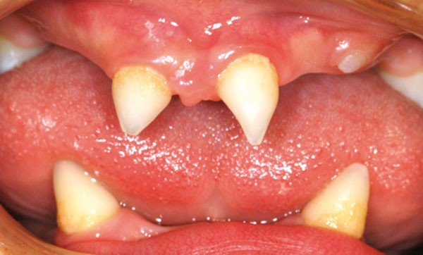
Les dysplasies ectodermiques forment un groupe hétérogène de plus de 200 syndromes rares et complexes caractérisés par l’atteinte de plusieurs dérivés du tissu ectodermique embryonnaire : dents, ongles, glandes sudorales et poils. La forme la plus fréquente est la dysplasie ectodermique hypohidrotique (DEH). Elle est caractérisée par une triade : une hypohidrose (diminution ou absence de la fonction sudorale), une hypotrichose (chevelure fine et clairsemée) et une hypodontie ou anodontie (dents manquantes).
À travers un cas clinique, nous exposons les signes cliniques, radiologiques et la prise en charge thérapeutique d’un enfant atteint de DEH.

Généralités sur la pathologie

La dysplasie ectodermique hypohidrotique est également connue sous le nom de dysplasie ectodermique anhidrotique ou la maladie de Christ-Siemens-Touraine. Elle a été rapportée la première fois par Darwin en 1875, qui décrivait des hommes d’une même famille, édentés, qui s’arrosaient continuellement d’eau dans la province du Sind [1]. Sa fréquence est de 1/100 000 naissances. La DEH est une maladie génétique rare du développement ectodermique [2]. Sa transmission se fait sur un mode récessif lié à l’X.

Manifestations générales

L’hypohidrose ou l’anhidrose : c’est l’incapacité de transpirer qui est liée à l’absence ou la rareté des glandes sudoripares et sébacées. Les enfants atteints de DEH sont vulnérables aux fortes températures : la mortalité par hyperthermie maligne est de 21 % la première année de vie, de 28 % les trois premières années. Cela est dû aux hyperpyrexies lors des infections virales infantiles. Ces accidents cessent progressivement avec l’âge, même s’il persiste une intolérance à la chaleur [3].
L’hypotrichose : les cheveux sont fins, clairsemés, cassants, pâles, épars. La chute des cheveux est progressive et peut conduire à l’alopécie après la puberté. Les sourcils sont peu denses ou…

Cet article est réservé aux abonnés.
Pour lire la suite :

Vous êtes abonné.e ? Connectez-vous
Mot de passe
oublié ?

Vous pouvez également :

Acheter l'article En version numérique
Acheter le numéro À l'unité

Thèmes abordés