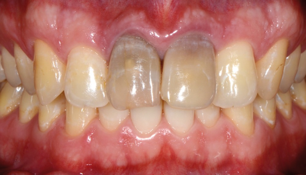
Eclaircissement et consolidation d’une dent dépulpée antérieure dyschromiée

  • Par
  • Publié le . Paru dans Réalités Cliniques n°3 - 15 septembre 2013 (page 199-204)
Information dentaire

L’éclaircissement interne est une technique simple qui permet de résoudre le problème de la couleur dans un grand nombre de dents dyschromiées. De plus, cette technique s’inscrit parfaitement dans la tendance actuelle de conservation et de respect des tissus dentaires. La simplicité apparente de ce traitement ne doit pas faire oublier la rigueur des différentes étapes qui se succèdent. Les résultats obtenus sont très convaincants et la maintenance de ces traitements doit être assurée par une obturation coronaire de qualité. Le caractère temporaire de ces traitements reste un point essentiel qu’il est important de connaître pour donner une information éclairée à notre patient.

Cet article est réservé aux abonnés.
Pour lire la suite :

Vous êtes abonné.e ? Connectez-vous
Mot de passe
oublié ?

Vous pouvez également :

Acheter l'article En version numérique
Acheter le numéro À l'unité

Thèmes abordés

Sur le même sujet

Esthétique

Article réservé à nos abonnés Un mois sans alcool pour repenser sa consommation : le Dry January revient

Le Défi de janvier (Dry January) revient e n 2026 pour sa septième édition. Cette campagne citoyenne semble s’imposer comme...
Esthétique

Article réservé à nos abonnés Rencontre avec Pierre Keller : gestion des tissus mous péri-implantaires

1er cas lauréatResponsable de séance : Othman MikouIntervenant : Pierre Keller  Extraction–implantation immédiate (EII) : volumes osseux et gingivaux suffisants...