La présence d’implants antérieurs, lorsque l’édentement est ancien et la résorption osseuse importante, oblige à la création d’espaces entre les implants pouvant perturber la prononciation de certains phonèmes comme le “s” et/ou le “f”. La présence de passages de vis peut perturber la surpression d’air nécessaire à la prononciation du “t”. Le traitement curatif consiste à fermer les espaces, avec d’importantes conséquences sur la santé gingivale. L’anticipation de cette complication est d’éviter de placer des implants dans le secteur incisif, avec le double avantage d’une parfaite étanchéité de l’intermédiaire de bridge et un placement idéal pour le soutien de la lèvre supérieure, libéré de toute contrainte osseuse.
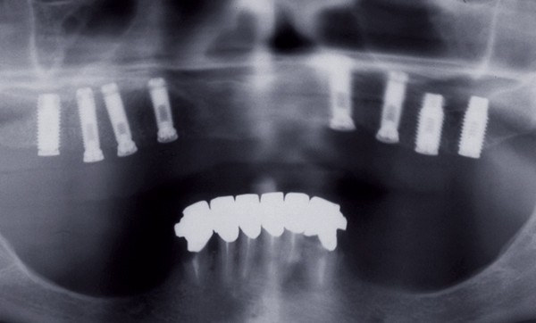
Lorsque l’édentement est récent ou limité à quelques incisives, la prothèse permet de rétablir l’état antérieur et ne génère habituellement aucune complication phonétique. Ces dernières apparaissent le plus souvent dès la mise en place de prothèses fixes sur implant dans la région maxillaire lorsque la résorption osseuse antérieure est ancienne avec une perte osseuse en épaisseur et en hauteur [1, 2]. Cette mise en place impose deux obligations :
– la création d’espaces entre les implants permettant l’accès à une brosse interdentaire, obligation judicieusement rappelé par Khayat en 2017 [3] (fig. 1) ;
– le positionnement des dents de manière à permettre un soutien efficace de la lèvre supérieure (fig. 2).
Les complications phonétiques, bien que rares, obligent à des solutions prothétiques de correction peu « académiques » ou à la réfection de la prothèse selon des critères différents. L’anticipation de cette complication et la compréhension d’éléments simples de phonétique [5, 6] vont permettre de les éviter.
Les phonèmes
Certains phonèmes comme…

