La parodontologie et la dentisterie restauratrices sont des disciplines interdépendantes qui doivent être abordées en totale synergie. C’est particulièrement le cas pour la réhabilitation des secteurs antérieurs, lorsque face à un problème de taille, de forme ou de proportion dentaire, la solution ne peut pas être purement restauratrice et doit inclure la composante parodontale.
Pour les réhabilitations esthétiques, les cliniciens ont longtemps été guidés par des principes mathématiques pour déterminer les proportions dentaires idéales (1).
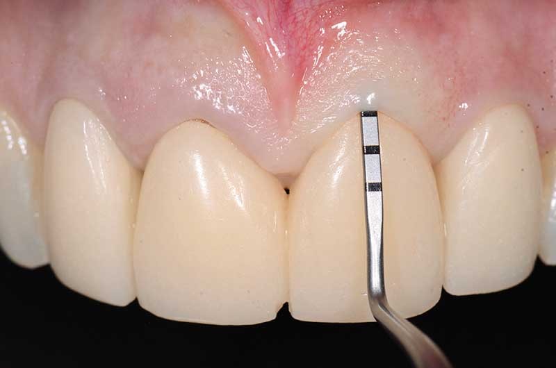
Le « nombre d’or » est parmi les formules les plus utilisées, et ce même s’il a été démontré que cliniquement ces valeurs ne peuvent être appliquées qu’à une faible fraction de la population (2-4). La taille des dents, leur longueur et leur largeur, est un élément crucial de l’esthétique. Elle doit être considérée comme l’élément de base de la construction du sourire. Les proportions dentaires, qui correspondent au rapport largeur sur longueur rapporté au pourcentage, permettent d’exprimer de façon objective ce qui est visuellement subjectif à l’examen clinique. Des valeurs supérieures à 85 % correspondent à des dents courtes et carrées tandis qu’inférieures à 65 %, les dents paraissent longues et rectangulaires. Différentes études anatomiques ont montré que si la taille des dents antérieures maxillaires varie largement entre les individus, leurs proportions sont significativement constantes, autour de 80 %. Il existe également une corrélation entre la largeur de l’incisive centrale, de l’incisive latérale et de la canine. Invariablement, les largeurs de l’incisive latérale et de la canine peuvent être déduites de la largeur de l’incisive centrale. L’incisive latérale étant inférieure de
2 mm en largeur et la canine de 1 mm (5).
L’étiologie des anomalies de taille dentaire peut être multiple. Des facteurs héréditaires peuvent être la cause…
Elongation coronaire à visée esthétique : approche biométrique
- Par
- Publié le . Paru dans Réalités Cliniques n°3 - 15 septembre 2015 (page 191-200)
Résumé
Pour les réhabilitations esthétiques, les cliniciens ont longtemps été guidés par des principes mathématiques pour déterminer les proportions dentaires idéales. La taille des dents, leur longueur et leur largeur, est un élément crucial de l’esthétique. Elle doit être considérée comme l’élément de base de la construction du sourire. Historiquement, l’élongation coronaire est réalisée dans le but de rétablir les dimensions d’un espace biologique sain au niveau du complexe dento-gingival en combinaison avec la prothèse. Les principaux défis de cette chirurgie sont le rétablissement de proportions dentaires individuelles correctes et la visualisation de ce projet en peropératoire.
Pour les réhabilitations esthétiques, les cliniciens ont longtemps été guidés par des principes mathématiques pour déterminer les proportions dentaires idéales. La taille des dents, leur longueur et leur largeur, est un élément crucial de l’esthétique. Elle doit être considérée comme l’élément de base de la construction du sourire. Historiquement, l’élongation coronaire est réalisée dans le but de rétablir les dimensions d’un espace biologique sain au niveau du complexe dento-gingival en combinaison avec la prothèse. Les principaux défis de cette chirurgie sont le rétablissement de proportions dentaires individuelles correctes et la visualisation de ce projet en peropératoire.
Cet article est réservé aux abonnés.
Pour lire la suite :
Vous êtes abonné.e ?
Connectez-vous
Pas encore abonné.e ?
Abonnez-vous
Abonnez-vous pour recevoir la revue et bénéficier des services en ligne et des avantages abonnés.
Vous pouvez également :
Acheter l'article
En version numérique
Acheter le numéro
À l'unité