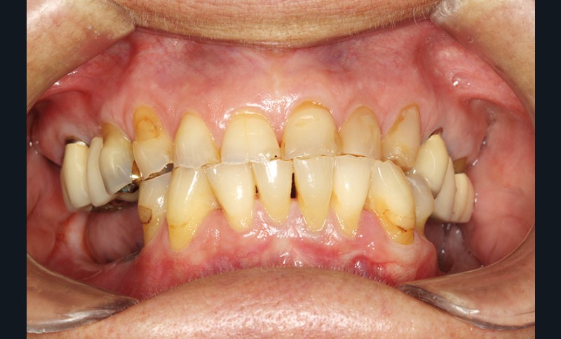
Une patiente, âgée de 71 ans, présente des délabrements coronaires au niveau des secteurs antérieurs maxillaire et mandibulaire dans un affrontement de type classe III résultant d’un proglissement(fig. 1).
La face présente une ligne sagittale courbe et une convergence du plan bipupillaire et du plan occlusal (fig. 2).
La patiente souhaite améliorer l’aspect esthétique de son sourire.
Établissement du plan de traitement
Une empreinte optique enregistre la situation de départ. Aussitôt les images sont examinées avec la patiente pour évaluer la situation et élaborer un plan de traitement(fig. 3 et 4).
Dès cet instant, il lui est facile de visualiser certains aspects devant être pris en compte pour le projet de soins. Nous voyons clairement la dent 17 en forte extrusion et les dents 25 et 26 en dessous de la courbe d’occlusion. Nous pouvons apprécier dès ce stade l’intérêt de l’empreinte optique pour son impact pédagogique.
Le plan de traitement s’établit en accord avec la patiente :
– extraction de la 17 ;
– recouvrement des 6 dents antérieures maxillaires ;
– réfection de 25 et 26 pour les replacer dans la courbureocclusale ;
– recouvrement des huit dents mandibulaires ;
– réalisation d’une prothèse adjointe avec base métal pour compenser les édentements distaux.
Toutes les couronnes seront des céramo-céramiques avec des chapes en zircone recouvertes de céramique stratifiée.
Ce plan de traitement sera réalisé en deux phases en raison de l’emploi du temps de la patiente :
– 1rephase : extraction de la 17 et recouvrement des dents antérieures maxillaires et mandibulaires ;
– 2e phase : réfection de 25 et 26, et prothèse adjointe mandibulaire.
Réalisation du traitement
L’empreinte optique de départ sert à la modélisation…



