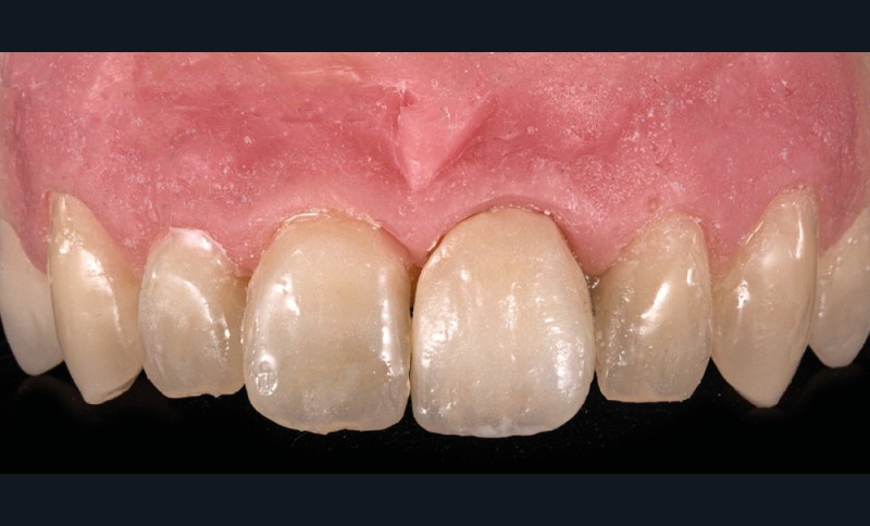
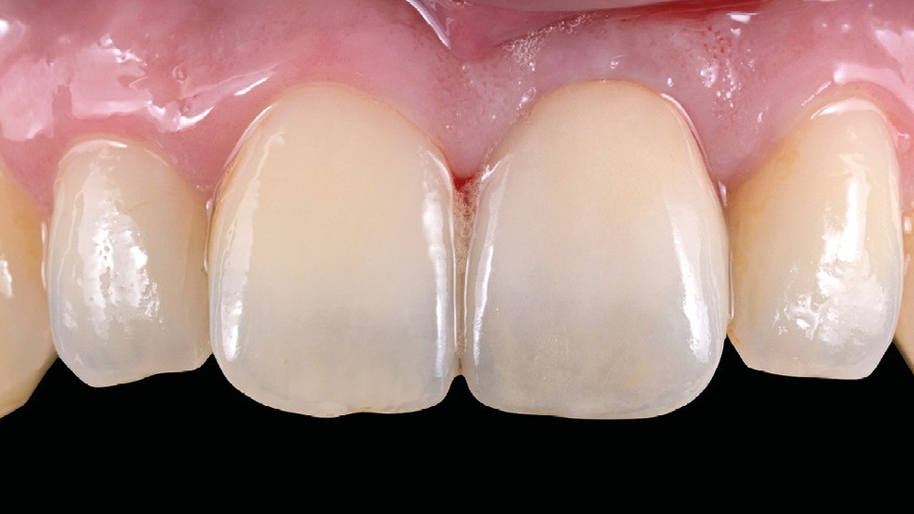
Situation initiale
Un patient consulte afin d’améliorer son sourire. Il présente une dent 21 dyschromiée et traitée endodontiquement avec un composite sur le bord libre. Cette solution ne lui convient plus en termes esthétiques et il souhaiterait une solution durable sur le long terme.
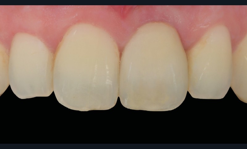
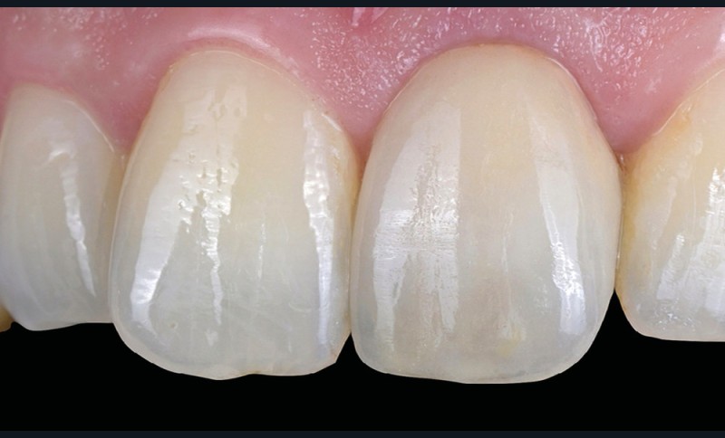
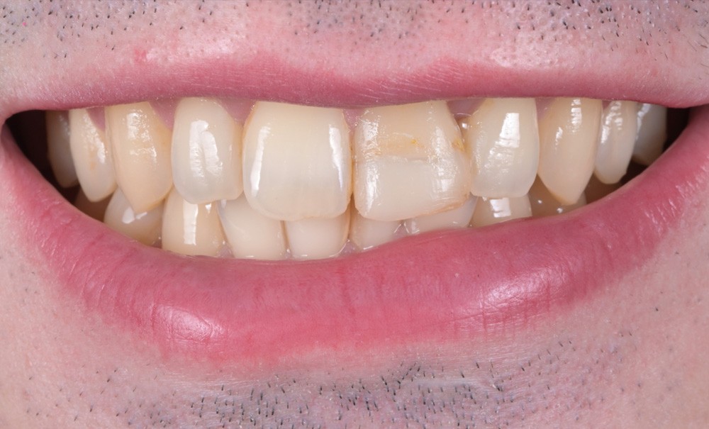
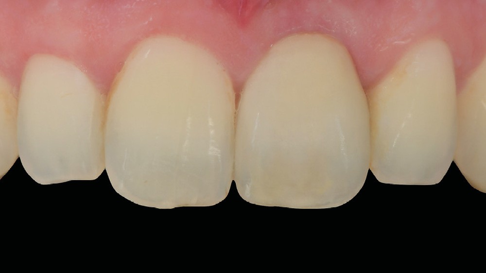
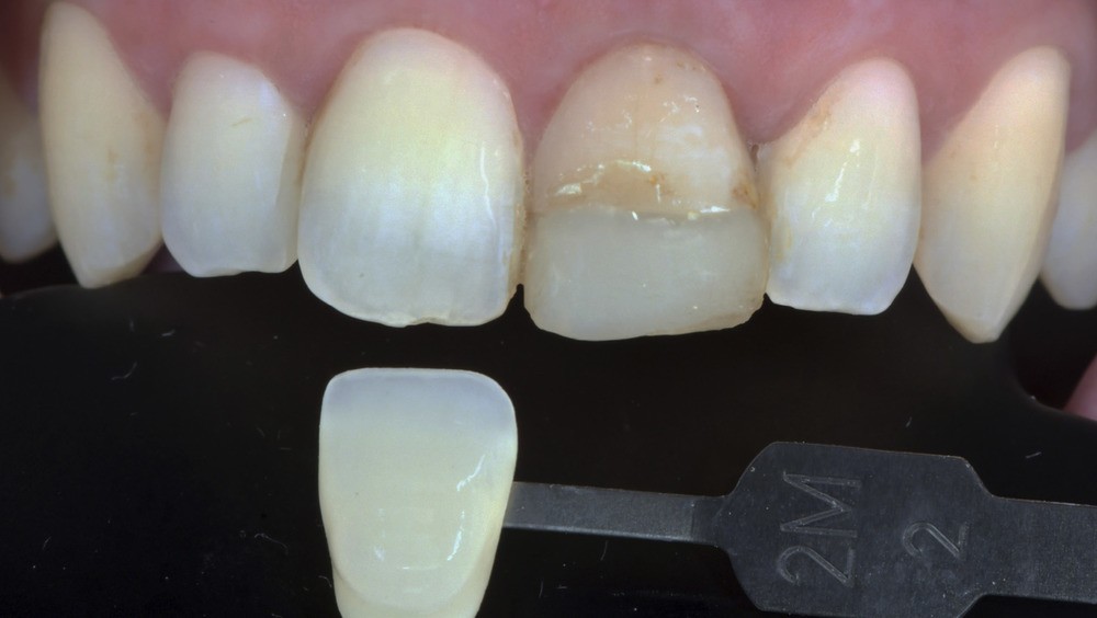
Traitement
La réalisation d’une facette en céramique sur cette dent lui est proposée. L’utilisation d’un colorimètre dentaire sans contact en association avec un logiciel de laboratoire permet d’optimiser le résultat et de limiter les essayages.













