Face à l’encombrement mandibulaire, les « dents de sagesse » sont souvent incriminées quand elles sont encore en place ou l’incompréhension s’installe quand elles ont été retirées tôt.
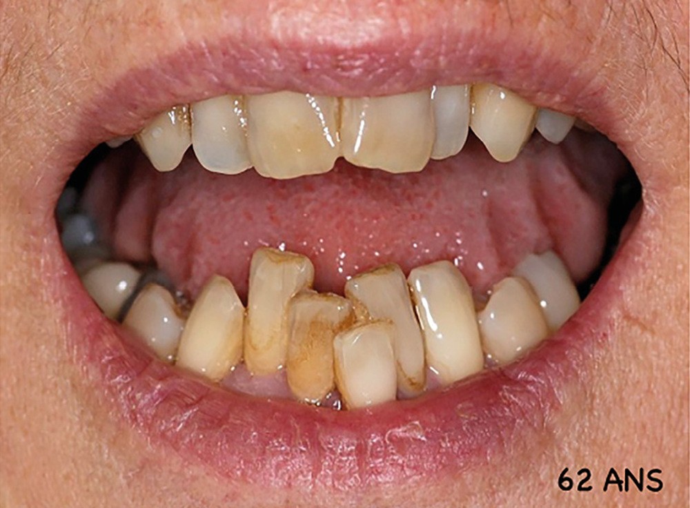
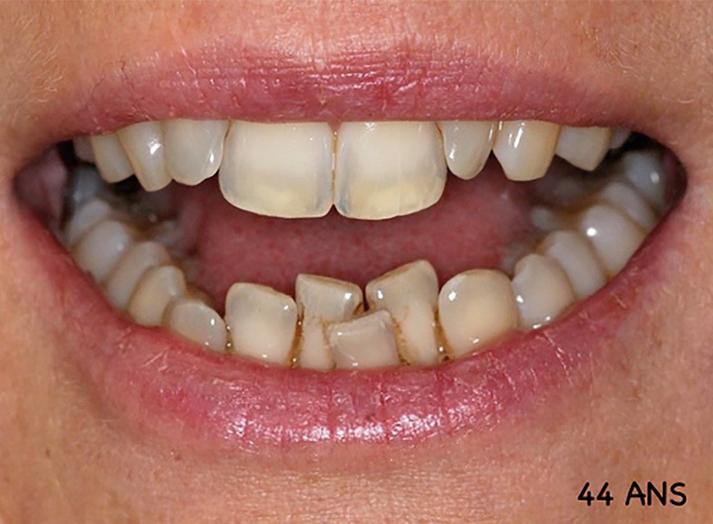
L’aspect irrégulier pousse les patients à consulter quand la projection ou l’égression d’une dent s’accentue, avec la peur de la perdre. Si certains mettent en avant des difficultés au brossage, d’autres parlent clairement d’une gêne esthétique.
Dans certains cas, des récessions gingivales, notamment avec le déplacement vestibulaire d’une ou plusieurs dents, sont présentes.
Face à un encombrement plus ou moins marqué, un traitement d’orthodontie associé à l’extraction d’une incisive est souvent proposé comme un « compromis thérapeutique acceptable ». Pourtant, cette solution, dans bien des cas, chez l’adulte, qui plus est, « mûr », ne constitue par la solution idéale.
Le but de cet article clinique est d’alerter et d’expliquer pourquoi il convient de sauver l’incisive mandibulaire dans la majorité des situations d’encombrement chez des patients qui subissent les marques du temps.
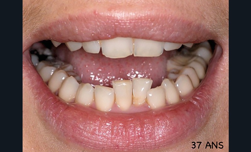
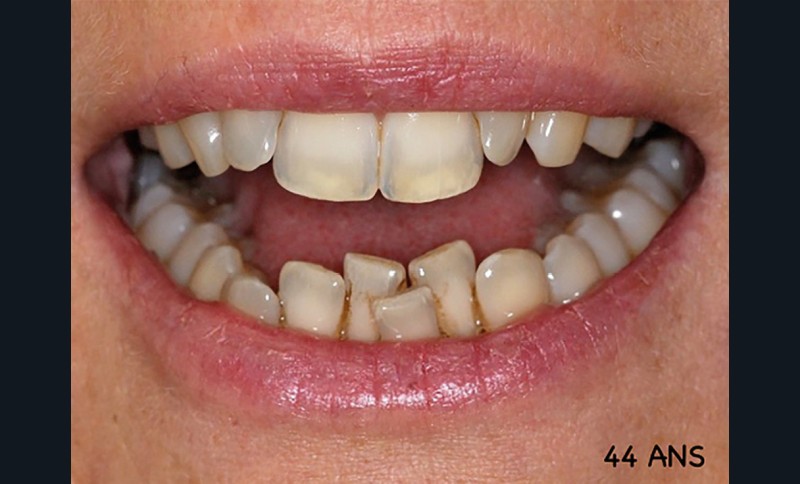
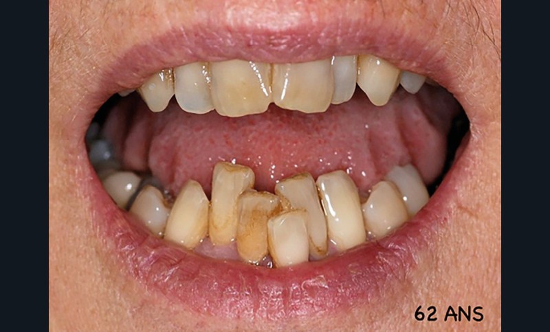
Migrations physiologiques
Les dents se déplacent tout au long de la vie (fig. 1) !
Ce phénomène est déjà connu des implantologistes qui se trouvent confrontés à la « croissance alvéolaire continue » des dents adjacentes à l’implant sur le long terme, avec pour conséquence une dégradation du sourire quand le secteur antérieur est concerné.
Behrents montrait dès 1985 que la croissance cranio-faciale ne s’arrête pas au début de l’âge adulte mais qu’il s’agit d’un processus continu qui perdure jusqu’à des âges avancés [1].
Plus récemment, en 2015, Pancherz a mis en évidence une croissance squelettique tardive de l’adulte [2].
Behrents a aussi publié, en 2001, une étude longitudinale comparative entre des sujets traités et non traités en orthodontie observés…


