Enfant patient parodontal

  • Par
  • Publié le . Paru dans L'Information Dentaire n°28 - 22 juillet 2020 (page 24-29)

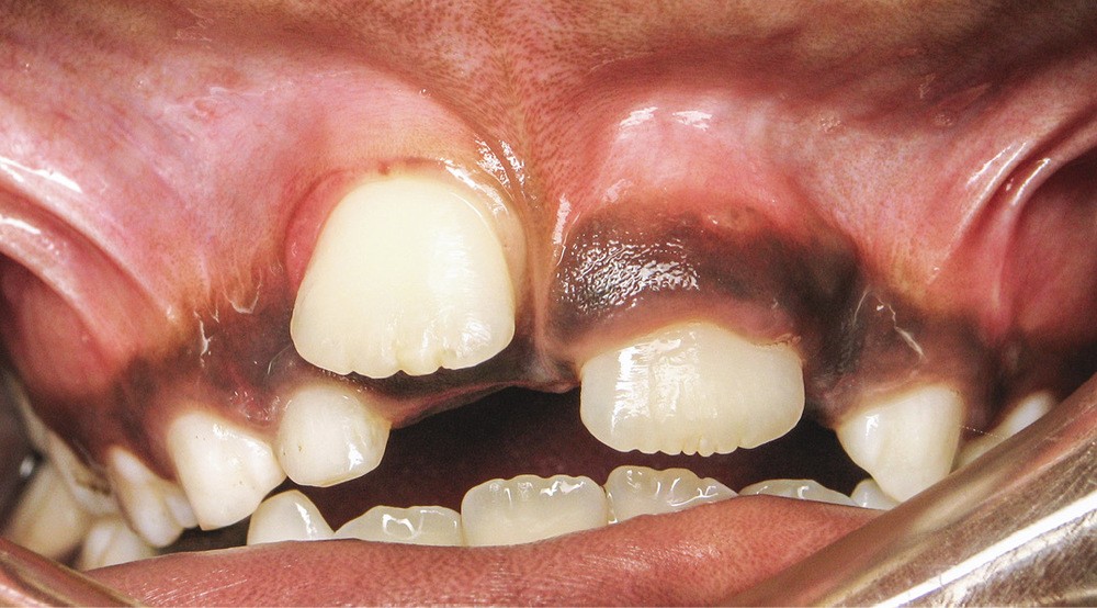
b. 11 a fait son éruption au-dessus de la ligne muco-gingivale.

Information dentaire
Déterminée génétiquement à la naissance, la quantité de gencive est un facteur essentiel à la préservation du parodonte lors de la mise en place des dents permanentes. Différents facteurs sont susceptibles d’avoir une incidence sur l’état parodontal de l’enfant et de l’adolescent, à commencer par le facteur bactérien et les facteurs anatomiques liés à la morphologie et au lieu d’émergence de la dent. Les facteurs généraux, qu’ils soient génétiques ou acquis, doivent également être pris en compte. Mais ce qui caractérise le parodonte de l’enfant est son immaturité, dont la conséquence est sa transformation tout au long de l’établissement de la denture adulte.

L’enfant est-il à risque de maladie parodontale ?

Il existe une susceptibilité plus faible au développement de l’inflammation gingivale chez l’enfant que chez l’adulte. L’évolution et la maturation de la réponse inflammatoire et immunitaire au cours de la croissance expliqueraient cette différence.

Parmi les enfants, les plus jeunes (en denture temporaire) sont les moins susceptibles à la gingivite. La prévalence de la gingivite augmente au cours de la croissance jusqu’à atteindre un pic au moment de la puberté, du fait des changements hormonaux (fig. 1).

Selon le rapport de l’Agence Nationale d’Accréditation et d’évaluation de la santé (ANAES) de 2002 [1], des gingivites sont observées en moyenne chez 50 % des adolescents de 15 ans. L’éruption dentaire, l’exfoliation des dents temporaires, la respiration buccale et les appareillages orthodontiques, amovibles ou fixes, peuvent aggraver une inflammation gingivale d’origine bactérienne. Cela doit inciter le praticien à enseigner aux jeunes patients une hygiène orale efficace et à s’assurer que le message est bien compris.

Chez l’enfant, l’inflammation gingivale est rarement responsable d’une perte osseuse, une parodontite est donc peu fréquente, mais, toujours selon l’ANAES, 1 à 9 % des enfants âgés de 5 à 16 ans ont une perte d’attache et/ou osseuse sur un ou plusieurs sites selon les populations. La présence d’une gingivite bactérienne pendant l’enfance prédisposerait aux maladies parodontales (accord professionnel, 2002).

Les adolescents peuvent présenter une parodontite localisée aux incisives et premières molaires (fig. 2). Certains des sujets atteints de cette parodontite précoce et agressive peuvent avoir présenté des signes de perte osseuse sur les dents temporaires. Cette observation constitue donc un signe d’appel d’un enfant à risque de parodontite localisée sur les premières molaires et incisives permanentes, parodontite…

Cet article est réservé aux abonnés.
Pour lire la suite :

Vous êtes abonné.e ? Connectez-vous
Mot de passe
oublié ?

Vous pouvez également :

Acheter l'article En version numérique
Acheter le numéro À l'unité

Thèmes abordés

Sur le même sujet

Parodontologie

Article réservé à nos abonnés De la muco-esthétique à la muco qui sauve les dents

Le concept PASS au cœur de l’innovation parodontale La chirurgie plastique parodontale a connu une évolution notable, alliant avancées cliniques et technologiques...
Parodontologie

Article réservé à nos abonnés Séance SFPIO – Quelles sont les bonnes pratiques en parodontologie en 2024 ?

Responsable scientifique : Caroline Fouque Intervenants : Damien FEUILLET, Hélène RANGé, Nicolas BLANC-SYLVESTRE La parodontologie au croisement des disciplines Toutes sévérités confondues, les...