CAS 1
Motif de la consultation. Patient de 50 ans venu consulter pour la découverte d’une tumeur gingivale lors d’une séance de soins d’hygiène bucco-dentaire.
Histoire de la maladie. Cette lésion n’existait pas 6 mois auparavant, lors de la précédente séance d’hygiène bucco-dentaire.
Interrogatoire. Le patient était en bonne santé et il n’avait pas d’antécédents médico-chirurgicaux particuliers. Il fumait régulièrement depuis une trentaine d’années (20 paquets/année). La lésion gingivale n’existait pas lors de l’avant-dernière séance de soins d’hygiène six mois auparavant. On ne retrouvait pas de notion de traumatisme.
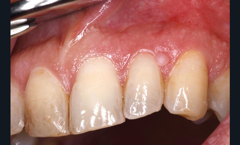
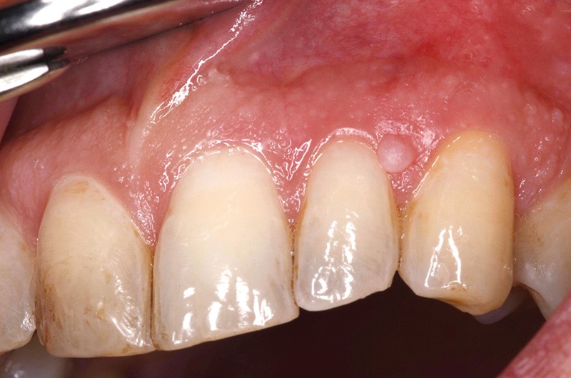
Examen clinique. La muqueuse buccale avait un aspect légèrement érythémateux, plus particulièrement celle du voile et du plancher buccal antérieur. Il n’y avait pas de mélanose tabagique, mais on observait la présence de pigment liée au tabagisme sur les dents. La lésion était constituée par un nodule ferme, de couleur rose pâle, pseudo-pédiculé, de 2 mm de diamètre, dont la base d’implantation n’était pas située directement sur le bord libre de la gencive.
Examen paraclinique. La lésion a été excisée et l’examen histopathologique de la pièce d’exérèse a montré que la tumeur était constituée par un tissu conjonctif fibreux dense, contenant quelques petits vaisseaux. Elle était revêtue par un épithélium malpighien discrètement orthokératosique, avec par endroits présence d’une fine granulose ; les crêtes épithéliales étaient élargies. Il s’agissait donc d’une petite épulis fibreuse.
Synthèse. Les épulis se présentent habituellement sous la forme d’une tumeur sessile, quelquefois pseudo-pédiculée, se développant sur le bord libre de la gencive ; elles seraient secondaires à une inflammation chronique dont l’étiologie n’apparaît pas toujours évidente, même si elle semble le plus souvent en…
