CAS 1
Motif de la consultation. Patiente de 25 ans venue consulter pour l’apparition d’une tuméfaction gingivale « disgracieuse » et non douloureuse.
Histoire de la maladie. La lésion était présente depuis 12 mois. Elle avait tendance à augmenter de volume.
Interrogatoire. Il ne mettait pas en évidence d’antécédents médicaux en dehors d’une agénésie de 23 et l’avulsion de 25 à l’âge de 21 ans. La patiente avait une contraception orale.
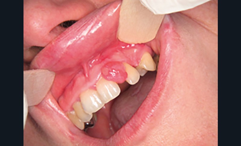
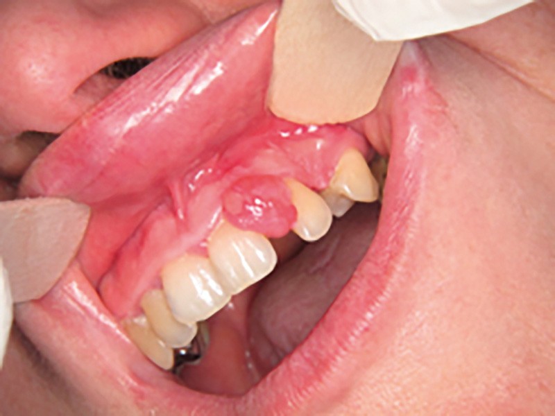
Examen clinique. Il révélait une lésion nodulaire de 1 cm de grand axe, localisée entre 21 et 22 en malposition. Le nodule était érythémateux et ulcéré sur sa face vestibulaire. Il présentait un caractère sessile. Le sondage à hauteur de la 21 mettait en évidence une poche parodontale de 5 mm au niveau distal.
Examens paracliniques. Une radiographie rétro-alvéolaire a été réalisée. Elle a mis en évidence une perte osseuse verticale sur 21 en distal. L’examen anatomopathologique de la pièce d’exérèse de la lésion a montré un aspect granulomateux associant des fibroblastes, un infiltrat lymphoplasmocytaire et des polynucléaires sous l’ulcération, avec des calcifications et du tissu osseux.
Synthèse. Le tableau clinique et l’examen anatomopathologique sont évocateurs d’une épulis fibroblastique ulcérée calcifiante et ossifiante. Cette forme se distingue des épulis inflammatoires et fibreuses par la présence d’une ulcération et d’une métaplasie calcifiante et osseuse. Le traitement repose sur l’exérèse et un suivi, car cette forme clinique est plus récidivante que les épulis fibreuses ou inflammatoires simples.
CAS 2
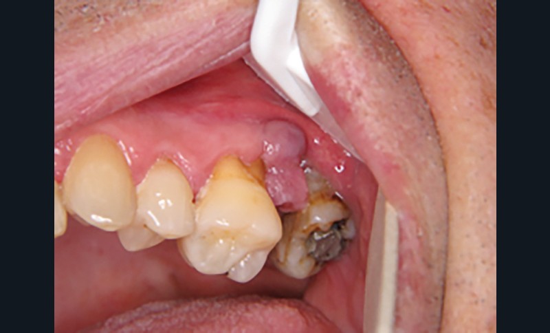
Motif de la consultation. Patient de 49 ans venu consulter pour une tuméfaction en distal de 26.
Histoire de la maladie. La lésion était présente depuis 8 mois sans tendance spontanée vers la régression.
Interrogatoire. Il ne mettait pas en évidence…

