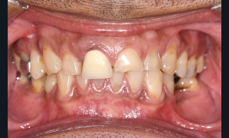
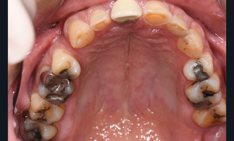
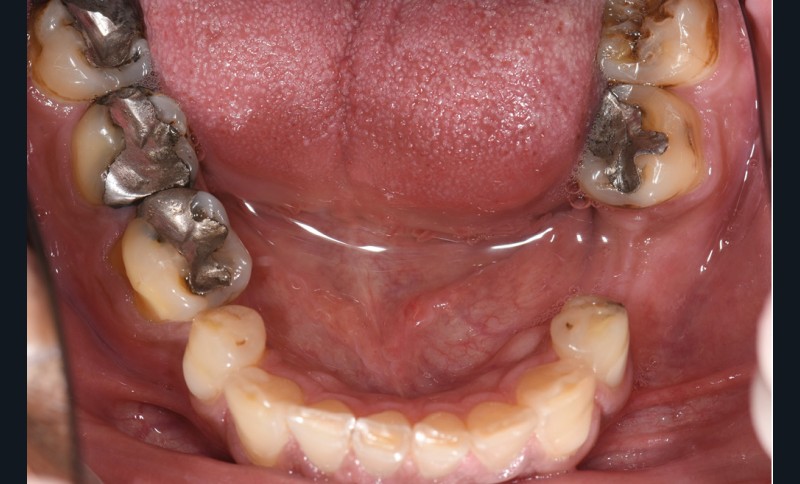
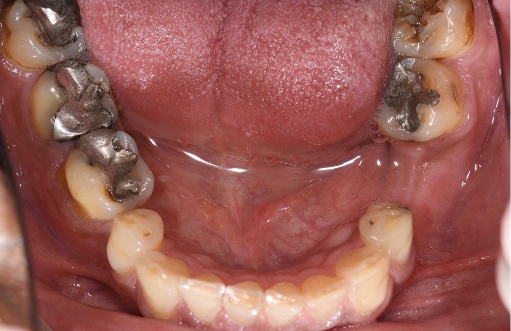
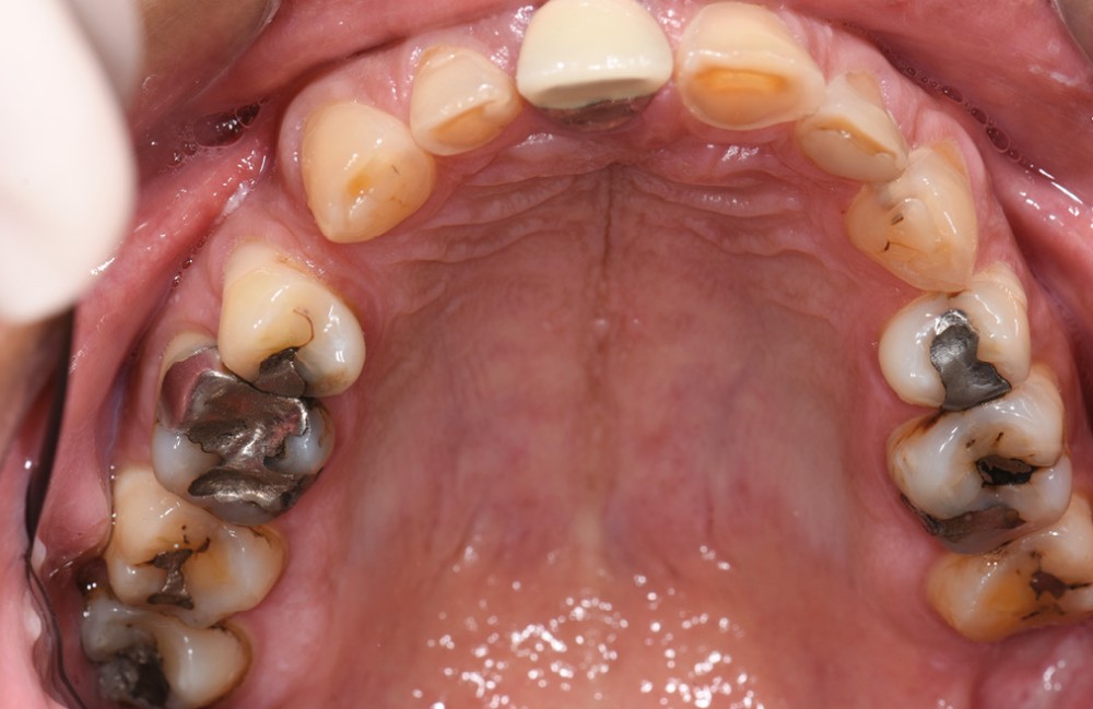
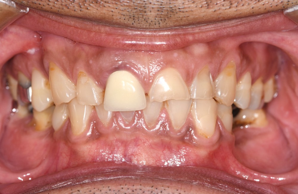
L’usure dentaire est de plus en plus fréquente au sein de nos cabinets. Nos patients y sont sujets de par leur alimentation parfois plus acide, leur mode de vie souvent plus stressant, et également une hygiène qui s’améliore et des dents qui vieillissent davantage.
L’étiologie de cette usure est multifactorielle, revêtant une composante de type attrition (usure par contact dento-
dentaire), une composante abrasive avec un brossage traumatique et, en dernier lieu, une légère composante tribo-érosive de par une pratique importante de sport avec gel et boisson acide (fig. 1-4) [1].
Du projet virtuel au mock-up (fig. 5-9)
Les empreintes sont effectuées, l’arc facial enregistré, l’ensemble monté sur articulateur. Un protocole photographique complet est réalisé afin d’établir un projet virtuel et de communiquer le plus d’éléments possible au prothésiste.
Le projet virtuel du sourire est un protocole conceptuel, fondé sur une analyse des patients dans leurs dimensions faciale et dentaire. Des objets de calibration permettent une collaboration étroite entre praticien et prothésiste. Le but, dans ce cas, est de guider la réhabilitation à partir du projet esthétique antérieur [2,3].
Le projet global est préparé…



