Cas 1
Motif de la consultation
Patiente adressée par son chirurgien-dentiste pour avis et prise en charge d’un érythème de la gencive maxillaire.
Histoire de la maladie
La patiente, âgée de 37 ans, avec un antécédent chirurgical d’amygdalectomie réalisée à l’âge de 7 ans, consultait pour un érythème gingival maxillaire présent depuis un an.
Interrogatoire
Il révélait la présence d’un érythème gingival chronique malgré une excellente hygiène buccco-dentaire. La patiente avait consulté plusieurs dentistes qui avaient pratiqué pour l’un un détartrage et pour l’autre un surfaçage radiculaire, sans effet sur l’érythème. Devant la persistance de cet érythème, une consultation spécialisée de pathologies des muqueuses a été demandée.
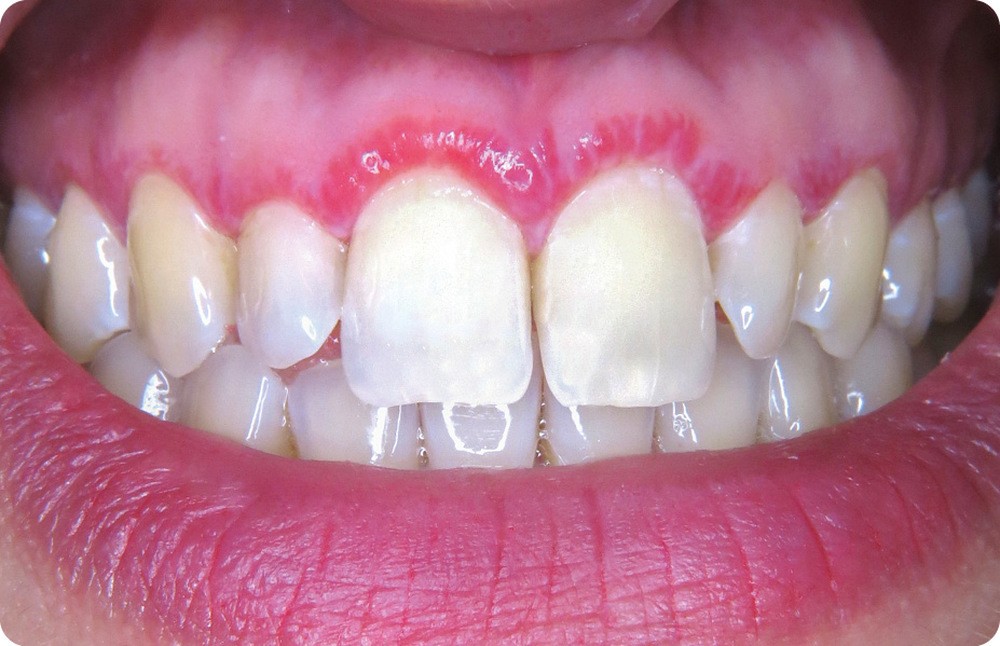
Examen clinique
On observait un érythème gingival maxillaire linéaire localisé au niveau de la gencive marginale et débordant légèrement sur la gencive attachée. Les plages érythémateuses étaient séparées par des zones de gencive saine. Par place, l’érythème avait un aspect irisé. La palpation appuyée faisait blanchir la muqueuse. Aucune trace de plaque dentaire n’était mise en évidence et le sondage parodontal n’entrainait pas de saignement.
Examens paracliniques
Une biopsie a été réalisée à titre systématique pour préciser le diagnostic. Elle révélait un épithélium malpighien bien différencié surmonté d’une fine couche kératosique avec des zones de nécrose kératinocytaire et des corps hyalins de Civatte. A l’interface épithélium-chorion, une vacuolisation basale était observée. Le chorion était le siège d’un infiltrat inflammatoire lympho-plasmocytaire dense à prédominance plasmocytaire. Au sein du chorion siégeaient des capillaires dilatés sans véritable prolifération. L’examen en double lecture concluait à une probable manifestation lichénoïde, sans toutefois pouvoir éliminer une toxidermie.
Synthèse
