Esthétique du visage et anatomie dentaire, deux éléments indissociables

  • Par
  • Publié le . Paru dans L'Information Dentaire (page 18-22)
Information dentaire
« Un tableau ne vit que par celui qui le regarde », selon Picasso. De la même manière, le visage et le sentiment qu’il dégage passent inévitablement par le filtre de son propre regard et de celui de l’autre, et l’harmonie dentaire joue un rôle fondamental.

Actuellement, le critère esthétique est primordial dans nos traitements. Cependant, l’objectif n’est pas une uniformisation des sourires et une perfection formelle (que nos patients rejettent), mais la création de sourires harmonieux.

Pour y parvenir il est fondamental de tenir compte d’un certain nombre de paramètres. Si de nouveaux outils digitaux (logiciels de « digital smile design ») permettent aujourd’hui d’analyser et de prédire un sourire, ils le font en intégrant ces paramètres. La connaissance de ces derniers est donc indispensable pour parfaitement les exploiter.

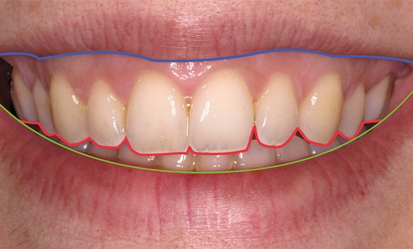
Les dents, facteurs d’harmonie du visage

Les dents participent à l’esthétique du visage à plusieurs niveaux : par leur rôle de soutien des structures oro-faciales et des tissus mous, par leur forme et par leur agencement.

Organisation tripartite du visage

La conception statique de la beauté repose sur les structures osseuses (et leurs contours), organisées en trois étages faciaux d’égale importance [1].

L’égalité des proportions entre ces trois étages est un critère esthétique.

L’étage inférieur, plus impliqué dans le sourire, se subdivise en deux parties : la première, du point sous-nasal au stomion (correspondant au centre géométrique de la bouche fermée), et la seconde, du stomion au menton ; avec un rapport idéal entre ces deux parties respectivement d’un tiers et deux tiers. La forme et la dimension des dents doivent s’équilibrer avec ces proportions : un visage allongé bénéficiera plus volontiers de dents plus longues, au contraire d’un visage inférieur réduit pour lequel un choix de dents plus courtes doit être envisagé.

Les exigences esthétiques des patients doivent donc être réalisables par rapport à la réalité anatomique de leurs visages.

Dans le sens vertical, la dimension verticale d’occlusion (DVO) impacte directement l’étage facial inférieur. Les dents ayant un rôle de calage, leur perte va diminuer…

Cet article est réservé aux abonnés.
Pour lire la suite :

Vous êtes abonné.e ? Connectez-vous
Mot de passe
oublié ?

Vous pouvez également :

Acheter l'article En version numérique

Thèmes abordés

Sur le même sujet

Esthétique

Article réservé à nos abonnés Un mois sans alcool pour repenser sa consommation : le Dry January revient

Le Défi de janvier (Dry January) revient e n 2026 pour sa septième édition. Cette campagne citoyenne semble s’imposer comme...
Esthétique

Article réservé à nos abonnés Rencontre avec Pierre Keller : gestion des tissus mous péri-implantaires

1er cas lauréatResponsable de séance : Othman MikouIntervenant : Pierre Keller  Extraction–implantation immédiate (EII) : volumes osseux et gingivaux suffisants...