La complicité entre le laboratoire et le cabinet est aujourd’hui grandement améliorée par l’utilisation de nombreux outils numériques, qui modifient en profondeur les pratiques de soins. Les progrès en matière de nouvelles technologies doivent conduire à une analyse constante des pratiques professionnelles dont la finalité reste le patient. Les auteurs souhaitent montrer, à travers la présentation d’un cas clinique complexe, tout l’intérêt de l’utilisation de technologies numériques afin, d’une part, d’améliorer la qualité des échanges entre le chirurgien-dentiste et le prothésiste, et, d’autre part, d’optimiser la séquence thérapeutique (clinique et de laboratoire).
Présentation du cas clinique
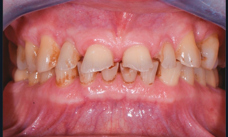
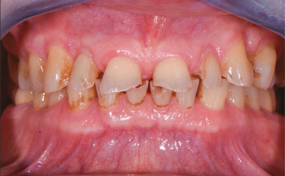
Un patient âgé de 69 ans se présente en consultation pour des problèmes d’ordre fonctionnel et un sourire dégradé. Selon l’adage de Peter Dawson, « l’esthétique et la fonction vont main dans la main », ce cas clinique illustre une situation instable et dysfonctionnelle qui ne sera résolue qu’avec une réhabilitation de la fonction et de l’esthétique (fig. 1 et 2).
Avant tout acte clinique, une étude approfondie est indispensable, nécessitant des données biologiques, occlusales, fonctionnelles et esthétiques. Un examen clinique approfondi et des examens complémentaires (radiologiques, électromyographiques, etc.) permettent de poser un diagnostic et d’envisager une planification thérapeutique (simulation, séquence, évaluation d’un pronostic).
Étude du cas
Étude fonctionnelle
Le laboratoire de prothèse est complètement dépendant des données de la position mandibulaire déterminée et fournie par le chirurgien-dentiste. Définir une position mandibulaire de référence permet une analyse occlusale sur des dispositifs de simulation (articulateurs, simulateurs virtuels) ; il sera nécessaire de déterminer, dans un deuxième temps, une position mandibulaire thérapeutique…

