Et si ce n’était pas un lichen ?

  • Par
  • Publié le . Paru dans L'Information Dentaire
Information dentaire
Le lichen plan est une dermatose inflammatoire qui touche fréquemment la muqueuse buccale. Le lichen plan buccal est idiopathique. Il doit être différencié des réactions lichénoides et du lupus. Les réactions lichénoïdes peuvent être associées à une pathologie générale (hépatite C, syndrome de Good…), à une cause frictionnelle (amalgame, couronne…), à la prise de médicaments (bêtabloquants, indométacine…). Le lupus est aussi une dermatose inflammatoire qui peut être responsable de lésions lichénoïdes souvent difficiles à différencier du lichen plan.

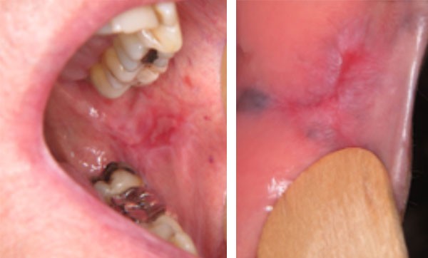
Cas 1

 
 
Motif de la consultation. Patient de 51 ans venu consulter pour des douleurs jugales gauches.


Histoire de la maladie.
Le patient était traité pour un mélanome métastatique depuis 2 ans et, depuis 6 mois, par nivolumab, à raison d’une perfusion toutes les 2 semaines. Au cours du traitement, des douleurs buccales sont apparues et le patient a été adressé à la consultation.

Interrogatoire. Le patient se plaignait de douleurs à l’alimentation, apparues avec le traitement par nivolumab. Il décrivait une bonne réponse tumorale au traitement qui était par ailleurs bien toléré.
Examen clinique. On observait une ulcération jugale gauche bordée par un érythème et un réseau kératosique blanchâtre. La lésion était située en regard de restaurations dentaires à l’amalgame et d’une couronne métallique. L’examen de la joue droite montrait un réseau kératosique et la langue présentait des plaques kératosiques. La palpation de la muqueuse en regard des lésions ne retrouvait aucune induration.

Examen paraclinique. Une biopsie a été réalisée au niveau de l’érythème et de la kératose de la joue droite. Elle mettait en évidence une réaction lichénoïde caractérisée par un infiltrat lympho-plasmocytaire sous la membrane basale de l’épithélium.

Synthèse. La chronologie d’apparition de la lésion, l’aspect clinique et anatomopathologique ont orienté le diagnostic vers une réaction lichénoïde induite par le nivolumab. Ce dernier est un inhibiteur spécifique du récepteur de contrôle immunitaire PD-1. PD-1 est un récepteur membranaire du lymphocyte T qui est responsable d’une diminution de la réponse lymphocytaire T aux tumeurs. Les traitements anti-PD-1 sont une nouvelle stratégie d’immunothérapie du cancer qui permet aujourd’hui des survies jamais égalées avec les traitements par chimiothérapies ou thérapies ciblées. Au niveau buccal, les deux effets indésirables le plus souvent observés sont une hyposialie…

Cet article est réservé aux abonnés.
Pour lire la suite :

Vous êtes abonné.e ? Connectez-vous
Mot de passe
oublié ?

Vous pouvez également :

Acheter l'article En version numérique

Thèmes abordés