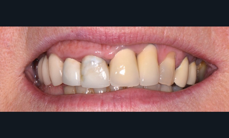
La position de la ligne du sourire, la forme et la couleur des dents mais aussi l’alignement des collets sont des facteurs essentiels à intégrer dans un projet esthétique.
Critères de l’harmonie d’un sourire
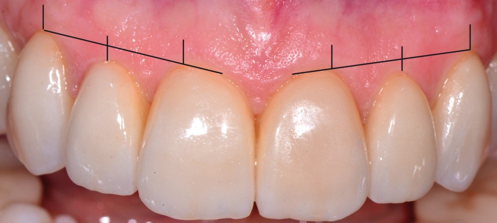
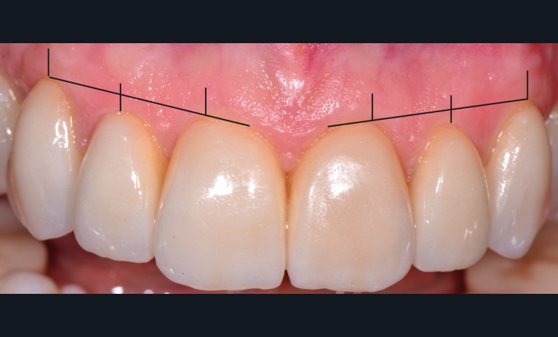
L’harmonie d’un sourire va passer par l‘alignement des collets et par une proportion coronaire respectée. En cas de défaut de ces critères, le sourire semble d’emblée disproportionné et déséquilibré.
Objectifs esthétiques
Pour obtenir un alignement des collets, il est souvent nécessaire d’avoir une approche pluridisciplinaire, car la position des dents est évidemment essentielle et détermine la suite du projet. Proposer au patient un traitement orthodontique pour ingresser une dent, corriger sa rotation ou fermer un diastème est donc une solution qui fait partie du projet (fig. 3).
Quand les malpositions sont corrigées, il est alors possible de passer à la chirurgie plastique parodontale et aux soins prothétiques nécessaires.
Pour choisir la bonne technique, il faut d’abord définir les objectifs : augmenter la hauteur coronaire, modifier le design gingival, recouvrir une ou plusieurs récessions ou bien, comme c’est souvent le cas, les trois à la fois en fonction des dents. Le biotype parodontal détermine aussi les choix de chirurgie, notamment la hauteur et l’épaisseur de la gencive.
[gallery…

