Étape 1 : dégrossissage
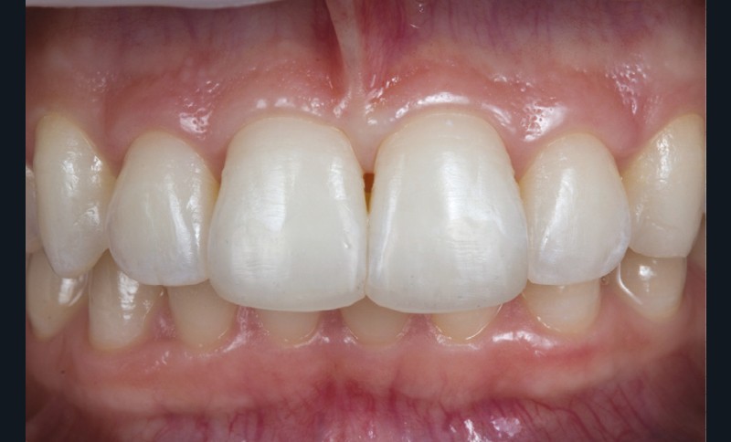
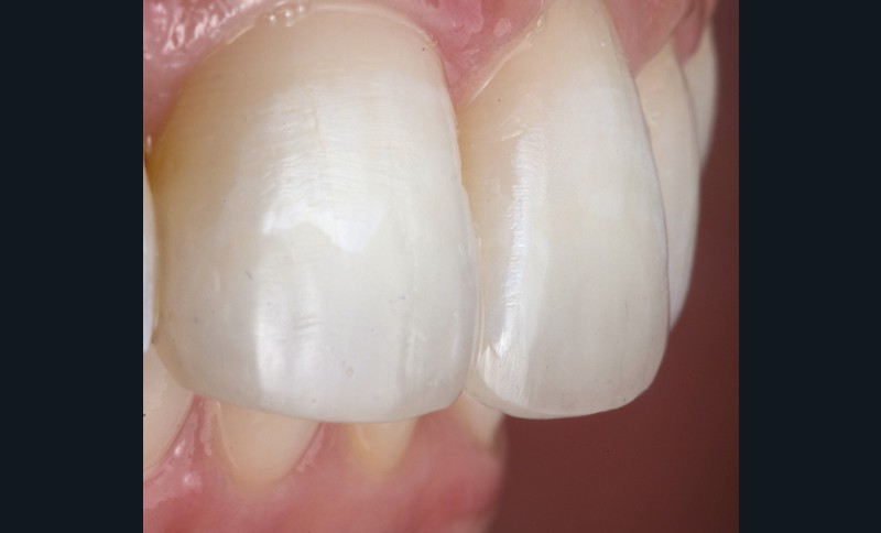
Cette étape permet de donner sa forme générale à la dent. Cette observation se fait en vue vestibulaire (fig. 1), mais également en vue occlusale afin de pouvoir évaluer la forme et le volume de la face vestibulaire. Selon le niveau de correction des surcontours nécessaire, il est intéressant de faire usage d’une fraise diamantée à gros grain (fig. 2) manipulée à faible vitesse (15 000 tours/min) ou des disques diamantés Sof-Lex de granulométrie décroissante (fig. 3). Ces derniers serviront également à travailler les angles, en traction (fig. 4).
Étape 2 : finitions
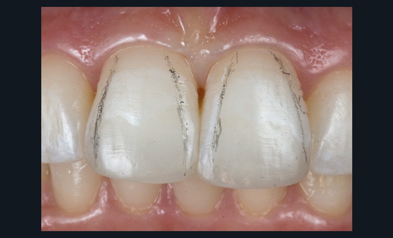
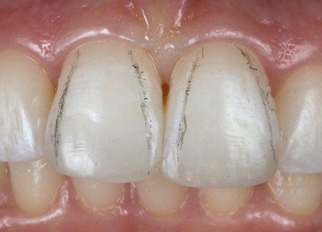
Pour cette étape, il est d’abord question de marquer les lignes de transition au crayon (fig. 5) et de les reproduire, une fois encore, grâce aux disques Sof-Lex en travaillant la face extérieure jusqu’au marquage (fig. 6). C’est le travail de ces lignes qui donne à la dent son aspect plutôt triangulaire, carré ou rond, tout conservant sa forme générale obtenue lors de l’étape précédente. Cette transition peut aussi être accentuée par un travail de la face vestibulaire en passant une fraise entre les deux lignes.
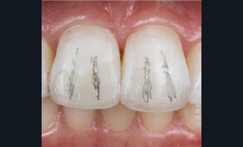
Puis vient la réalisation de la macrogéographie correspondant au marquage plus ou moins fort des lobes et lobules que l’on peut, encore une fois, situer au crayon (fig. 7) pour ensuite les réaliser à l’aide d’une fraise diamantée à gros grain (fig. 8).
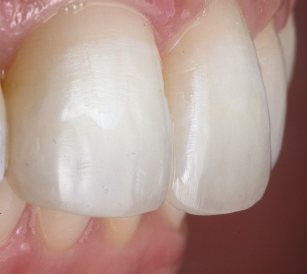
La dernière étape de finition correspond à la microgéographie, qui n’est autre que de faire ressortir les lignes caractéristiques des périkématies si la situation clinique rend cette étape nécessaire. Ce travail peut être réalisé à l’aide d’une fraise très fine (fig. 9) à passer légèrement sur la face…








