Evaluation esthétique de la chirurgie d’avancée mandibulaire

  • Par
  • Publié le . Paru dans L'Orthodontiste n°3 - 15 juin 2017 (page 16-22)
Information dentaire
Aujourd’hui, une part importante des patients en consultation orthodontique sont des adultes dont la demande esthétique est très forte. Ces patients présentent souvent des malocclusions associées à des dysmorphoses squelettiques qu’un traitement orthodontique seul ne peut corriger.

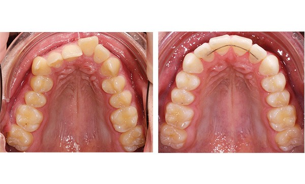
Ainsi, en présence d’une rétrognathie mandibulaire sans possibilité de croissance, deux options thérapeutiques sont envisageables. La correction de la classe II dentaire sans correction de la classe II squelettique si la dysmorphose est légère, ou un traitement orthodontique associé à une ostéotomie d’avancée mandibulaire dans le cas d’un décalage squelettique plus important. Les traitements orthodontiques et chirurgicaux bénéficient d’un protocole de soins bien codifié. Néanmoins, si le résultat occlusal est généralement obtenu, qu’en est-il du résultat esthétique ? Différents auteurs se sont intéressés à cette question, Montini et coll. [1] ont mis en évidence une amélioration de la perception esthétique du profil cutané après chirurgie d’avancée mandibulaire par les orthodontistes, les omnipraticiens et les profanes. Barroso et coll. [2] constatent une perception différente par les spécialistes et les profanes en fonction de la quantité d’avancée mandibulaire sur des photos de profil, seules les avancées de plus de 2 mm étant perceptibles par ces derniers. Enfin Raschke et coll. [3] trouvent une bonne corrélation entre les modifications anthropométriques et céphalométriques cinq ans après ostéotomie d’avancée mandibulaire sur des photographies de face et de profil. Ce résultat est intéressant car cela permet d’améliorer la prédiction des modifications des tissus mous et ainsi d’optimiser la préparation orthodontique et la quantité d’avancée mandibulaire à réaliser.

Etude clinique

Cependant, la plupart des études portent sur les impressions données par les profils cutanés, or lors de l’annonce de la chirurgie il n’est pas rare que les patients n’aient pas conscience de leur décalage squelettique de profil. Il nous a donc semblé important d’évaluer également l’impact esthétique de la chirurgie d’avancée mandibulaire sur des vues de face.
Nous avons ainsi réalisé une étude…

Cet article est réservé aux abonnés.
Pour lire la suite :

Vous êtes abonné.e ? Connectez-vous
Mot de passe
oublié ?

Vous pouvez également :

Acheter l'article En version numérique
Acheter le numéro À l'unité

Thèmes abordés