Au Service de Consultations et de Traitements Dentaires des Hospices Civils de Lyon, comme en cabinet de ville, le patient souhaite souvent recevoir rapidement une proposition thérapeutique et le devis qui en découle en regard des doléances qui l’amènent à consulter. Le motif initial de la consultation s’inscrit, la plupart du temps, dans un contexte qui nécessite une prise en charge globale. Ce contexte ne doit pas être éludé du fait de l’exigence du patient.
En effet, la pérennité d’une prothèse dépend non seulement de la valeur intrinsèque de son support (implant, dent), de son environnement parodontal et occlusal mais aussi de la valeur des dents et des prothèses existantes (1). Cet examen, consécutif à l‘élaboration du diagnostic et donc au recueil des informations sur l’état bucco-dentaire global du patient, nécessite, dans le cas des traitements complexes, non seulement des examens complémentaires, comme le montage des modèles en articulateur, mais aussi une analyse prospective comme celle permise par la technique du drapeau, développée par Wadsworth dont nous illustrerons l’intérêt au travers d’un cas clinique (2).
Présentation du cas
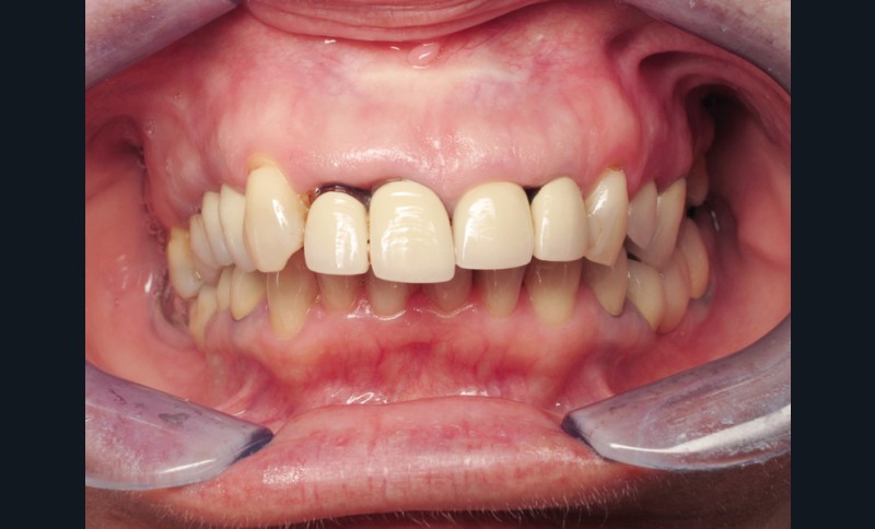
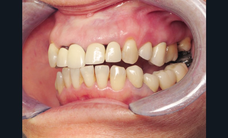
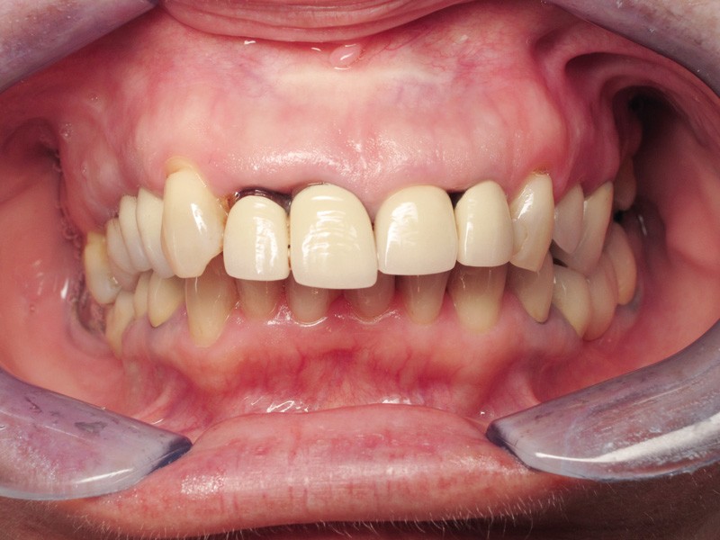
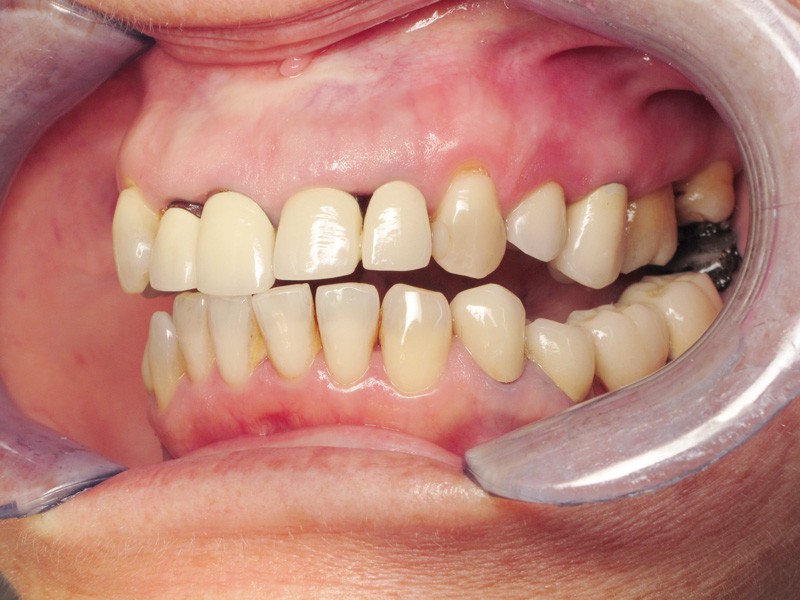
Madame J., âgée de 63 ans, consulte pour des douleurs chroniques localisées au niveau de 14 et de 21. L’examen endobuccal révèle la présence de prothèses anciennes, de soins conservateurs et d’un implant posé depuis 4 ans. On note une inflammation généralisée du parodonte superficiel avec présence de plaque et de tartre et une mobilité de certaines dents dont les incisives maxillaires droites. Dès ce stade, le surguidage antérieur du couple 11/12, reconstitué par des couronnes solidarisées, est à mettre en relation avec la souffrance parodontale observée (fig. 1).
Une inflammation de la zone péri-implantaire (24), en relation avec le motif de la consultation est également visible dès ce premier examen.
Aucune…

