« La nature commence par la sphère qui est toute symétrie, ou par les polyèdres réguliers qui en ont beaucoup, elle finit par les orchidées et par les hommes qui n’en ont presque plus … » Roger Caillois
Présentation du cas
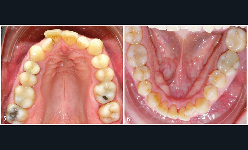
Nicolas D. est un patient de 38 ans qui est venu consulter pour son sourire disgracieux (fig. 1).
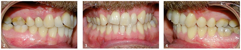
Il présente une malocclusion de classe II subdivison gauche totale par mésioposition du secteur 2 avec une déviation dentaire du milieu maxillaire à droite (fig. 2 à 6) dans un visage équilibré (fig. 7 et 8).
La mésioposition du secteur 2 a entraîné un encombrement antérieur avec malpositions des incisives supérieures, la 12 étant en occlusion traumatogène, en bout à bout avec son antagoniste (fig. 3). Dans le sens transversal, il existe une endoalvéolie maxillaire avec occlusion inversée postérieure à gauche. À l’arcade mandibulaire, l’encombrement est modéré (fig. 6).
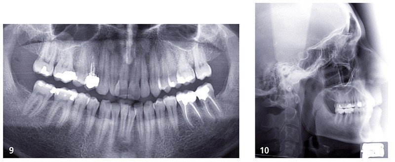
Sur la radiographie panoramique (fig. 9) le bilan dentaire est normal et le parodonte est sain, il existe des images péri-apicales au niveau des 36 et 37, les traitements canalaires semblent de qualité. Sur la téléradiographie du crâne de profil (fig. 10) il n’existe pas d’anomalie du sens sagittal, le sens vertical est normodivergent avec des axes incisifs corrects.
Traitement
Le choix s’est porté sur l’extraction monomaxillaire et unilatérale de 24 afin de distaler 23 en classe I et recentrer le milieu supérieur avec des objectifs occlusaux de classe II molaire thérapeutique à gauche.
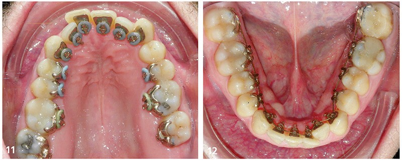
Le patient a choisi d’être appareillé en technique linguale Incognito©. L’appareillage a été posé avant l’extraction de 24 (fig. 11 et 12) et un cache fabriqué pour masquer le site d’extraction (fig. 13 et 14). Ce cache est ensuite régulièrement meulé au fur et à mesure du recul de 23 (fig. 15 et 16).
[gallery link= »file »…






