Présentation du cas
Il s’agit d’un patient adulte de 28 ans (fig. 1) présentant une classe I, une dysharmonie dento-maxillaire (DDM), ayant déjà bénéficié dans son enfance d’un traitement en technique amovible avec extraction des 14 et 24. Des espaces résiduels d’extractions persistent au maxillaire, et il existe un encombrement incisivo-canin à la mandibule.
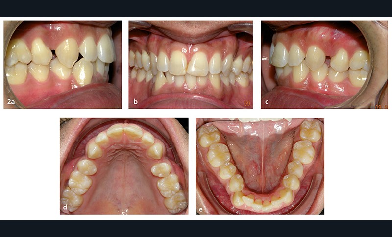
La demande du patient est d’aligner ses dents de l’arcade mandibulaire et de fermer les espaces résiduels d’extraction au maxillaire (fig. 2a à e). Ses fréquents déplacements professionnels à l’étranger, durant chaque fois plusieurs mois, ne lui permettent pas des rendez-vous réguliers au cabinet.
Diagnostic
Sur le plan dentaire, dans le sens sagittal, il existe une classe II molaire thérapeutique et une classe I canine avec des espaces résiduels d’extractions en distal des canines chiffrés à 1,5 mm à droite et 2,5 mm à gauche. Les rebords des 11 et 21 ont été fracturés et reconstitués au composite (fig. 2a à e).
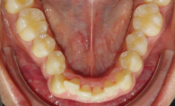
À la mandibule, la DDM est chiffrée à 4 mm environ ; 43 est en mésiovestibuloposition et en occlusion en bout à bout avec 12 ; 42 est en linguoposition, 35 en rotation axiale mésiolinguale ; 44 présente une anomalie de forme avec un diamètre mésiodistal augmenté et vestibulolingual diminué (dysharmonie dento-dentaire).
En outre, les formes d’arcades sont anormales, du fait d’une endoalvéolie bimaxillaire. Sur la téléradiographie du crâne de profil (fig. 3), le patient est parfaitement équilibré d’un point de vue squelettique. Seuls les axes incisifs maxillaires sont linguoversés.
Sur la radiographie panoramique (fig. 4), 14, 24, 18, 28, 38 et 48 sont absentes (extractions et germectomies).
Le parodonte est sain et il n’y a aucune symptomatologie articulaire. Sur le plan esthétique, la face est harmonieuse (fig. 5a et b).
[gallery…

