Situation clinique (fig. 1 à 9)
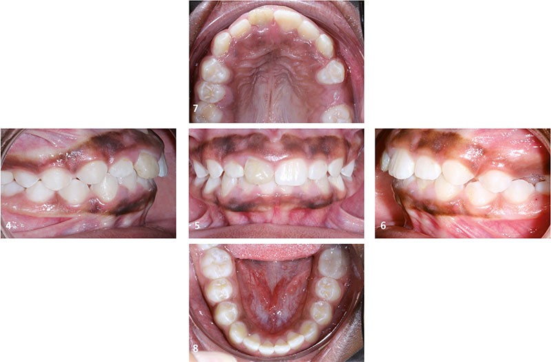
Orlhane B., 10 ans, est adressée à l’unité fonctionnelle d’orthodontie de l’hôpital Bretonneau par son dentiste suite à un traumatisme sur la 11. Le trait de fracture est infra-osseux et ne permet pas la réalisation d’une restauration prothétique de cette dent. Le praticien nous demande de réaliser une extrusion orthodontique afin d’égresser la dent sans que son parodonte suive le mouvement dentaire et d’augmenter ainsi l’espace biologique. La longueur radiculaire permet ce mouvement (rapport couronne/racine postextrusion inférieur à 1) et un traitement à l’hydroxyde de calcium est réalisé transitoirement durant le déplacement orthodontique. L’obturation finale sera réalisée une fois que les limites du trait de fracture seront supra gingivales et permettront la mise en place d’un champ opératoire étanche.
À l’examen clinique, Orlhane présente une classe I biproalvéolie aggravée par 11 fracturée et 25 enclavée et une classe II canine légère gauche. Cette malocclusion est associée à une classe II squelettique par promaxillie sur un schéma facial hyperdivergent. Il est décidé de ne pas traiter la biproalvéolie et la classe II squelettique modérées d’origine ethnique chez cette patiente.
Traitement (fig. 10 à 25)
Un appareillage multi-attaches a été mis en place aux deux arcades. Un composite transitoire a été réalisé sur 11 afin de pouvoir la tracter à l’aide d’un bouton collé sur la face vestibulaire. Après la phase rapide d’alignement/nivellement un arc acier .018x.025 est inséré au maxillaire avec un step vertical en regard de 11 pour mettre en place les forces verticales d’extrusion. Des forces lourdes sont appliquées et réactivées tous les 15 jours afin d’obtenir ce mouvement. Une chirurgie mucco-gingivale…


