Cas clinique
Un homme de 60 ans se présente en consultation avec le désir d’améliorer son sourire. Une analyse esthétique laisse en effet apparaître un certain déséquilibre au niveau de la courbe incisive qui n’épouse pas la forme de la lèvre inférieure secteur 2 (fig. 1 et 2). Un problème d’horizontalité est aussi mis en évidence avec le plan esthétique non parallèle à la ligne bipupillaire.
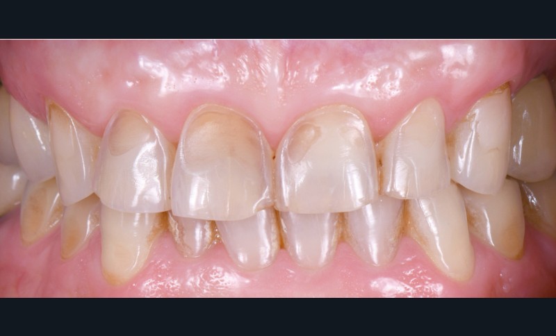
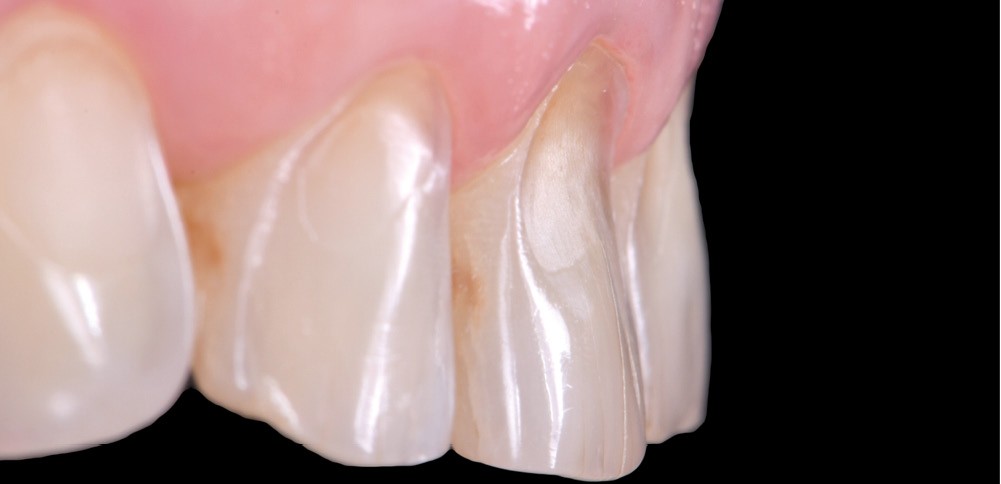
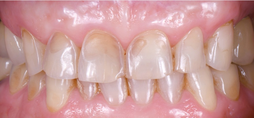
À l’échelle intrabuccale, l’examen clinique révèle des usures d’origine chimique et mécanique. Le phénomène d’attrition a altéré les bords incisifs, induisant un défaut de longueur au niveau des dents 21, 22 et 23 (fig. 3). Le processus érosif semble être principalement d’origine exogène et a, quant à lui, provoqué une destruction d’une partie de l’émail vestibulaire entraînant des expositions dentinaires plus ou moins importantes (fig. 4). Les dents 13 à 23, 43 à 45, 34 et 35 sont concernées. Au niveau des faces palatines, il n’y a pas de lésions érosives. Les prémolaires et molaires maxillaires ainsi que les molaires mandibulaires ont presque toutes été restaurées par des couronnes périphériques cliniquement acceptables.
L’attrition, malgré l’âge du patient, n’est pas que physiologique et témoigne de l’existence d’une parafonction occlusale. L’entretien avec le patient et l’anamnèse laissent à penser que le patient est probablement sujet à un bruxisme nocturne. Concernant l’érosion, la consommation quotidienne d’agrumes est identifiée comme responsable des attaques acides. De plus, le patient a indiqué se brosser les dents de manière plutôt vigoureuse, impliquant également un possible phénomène d’abrasion.
À l’issue de cette analyse et après réflexion, la solution thérapeutique retenue est la réalisation de résines en composite au niveau des collets de 43-44-45-34-35 ainsi que six facettes…



