Fermeture de béance antérieure : quand la psychologie réoriente le protocole ortho-chirurgical initialement prévu
Cas clinique
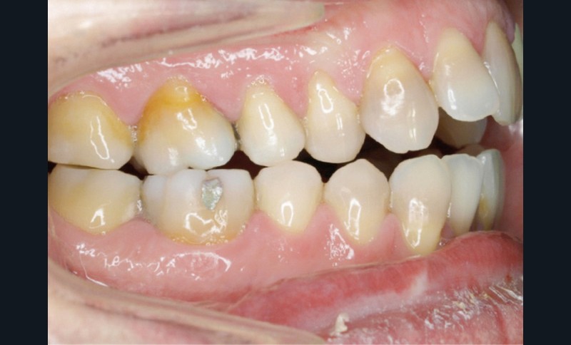
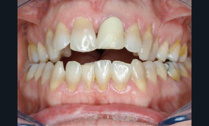
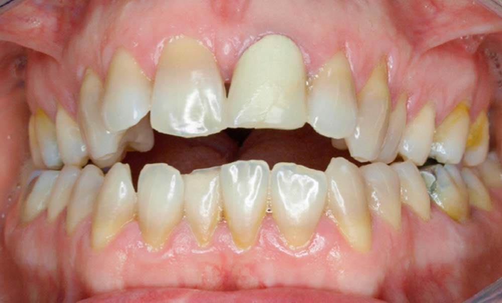
En 2008, la patiente, âgée de 34 ans, se présente pour le traitement de ses « dents mal placées, et de l’écart entre les dents du haut et du bas » (fig. 1). Elle a déjà bénéficié d’un traitement adolescent par plaque amovible maxillaire.
Au niveau exobuccal, la patiente présente un visage convexe avec un étage inférieur de la face augmenté et une absence de contact bilabial au repos traduisant un contexte dysfonctionnel. Le sourire est gingival et étroit.
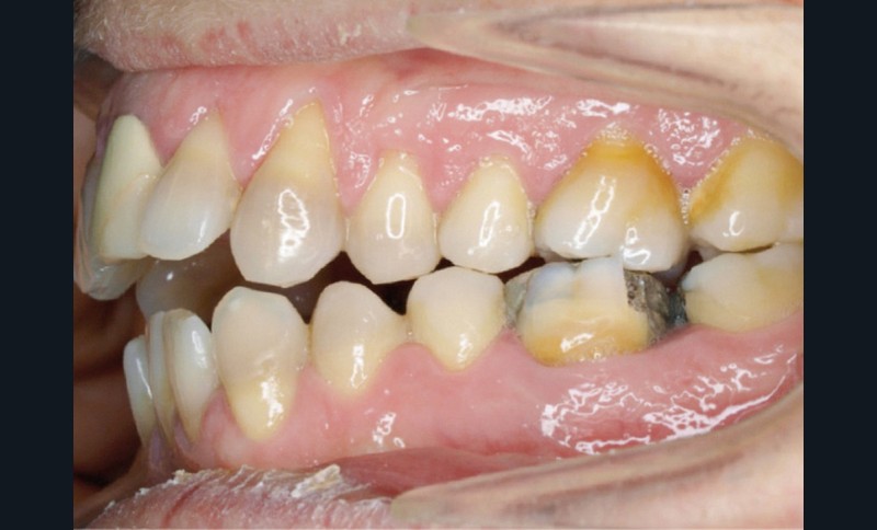
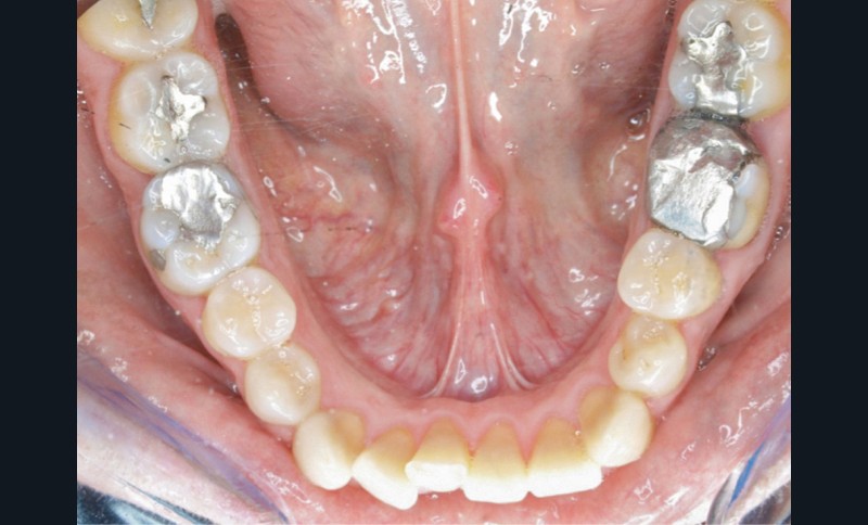
L’analyse endobuccale et l’étude céphalométrique (fig. 2, tableau 1) confirment le diagnostic de classe II squelettique hyperdivergente avec une classe II molaire et canine bilatérale, associée à un encombrement, à une dysharmonie du sens transversal par endoalvéolie maxillaire, et une béance antérieure par infra-alvéolie incisive maxillaire dans un contexte dysfonctionnel de la musculature péri-labiale et mentonnière.
|
Tableau 1 : Valeurs céphalométriques |
|||
|
|
Valeur moyenne |
Avant traitement – 10/04/2008 |
Après contention – 19/12/2011 |
|
FMA |
25 ± 3° |
33° |
30° |
|
FMIA |
68 ± 3° |
54° |
55° |
|
IMPA |
87 ± 3° |
93° |
95° |
|
angle Z |
78°± X |
71° |
72° |
|
Go-Gn/SN |
32°± 2,5° |
44° |
41° |
|
SN/ENA-ENP |
8° ± 3 |
9° |
9° |
|
ENA-ENP/Go-Gn |
25 ± 6 |
39° |
36° |
|
SNA |
82°± 3,5° |
83° |
83° |
|
SNB |
80°± 3,5° |
74° |
76° |
|
ANB |
2 ± 2° |
9° |
7° |
|
Ao-Bo |
2 ± 2 mm |
5 mm |
3 mm |
|
I/ENA-ENP |
110° ± 6 |
108° |
109° |
|
I/i |
132° ± 6° |
128° |
125° |
Cet article est réservé aux abonnés.
Pour lire la suite :
Abonnez-vous pour recevoir la revue et bénéficier des services en ligne et des avantages abonnés.
Vous pouvez également :








