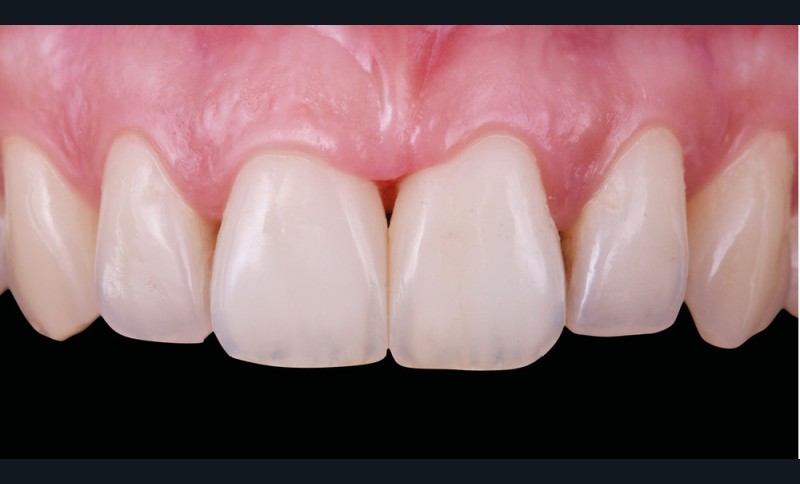
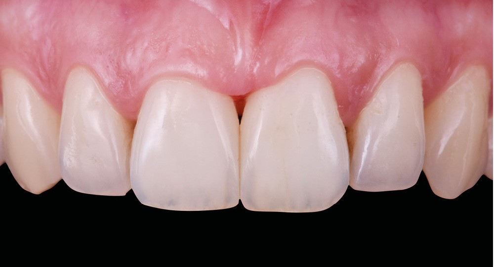
Si les techniques de reconstruction papillaire présentent des résultats non prédictibles, les facettes céramiques peuvent être une réponse fiable au problème des triangles noirs mais imposent une préparation plus marquée. En effet, pour obtenir un profil d’émergence adéquat et une bonne fermeture de l’espace interproximal, il faut préparer les surfaces de contact et venir chercher la ligne de transition palatine, obligeant à retirer une quantité de tissu sain non négligeable.
La fermeture des triangles noirs en technique directe avec des résines composites offre une alternative très favorable avec une approche non invasive, esthétique, un coût réduit et une possibilité de réintervention aisée. Plusieurs méthodes ont été proposées : réalisation à main levée sans matrice (à proscrire), avec bande de matrice transparente plate ou galbée, avec matrice postérieure customisée et utilisée verticalement… Il faut bien comprendre qu’aucun coin en bois ou plastique ne pourra être employé pour stabiliser cette matrice, car il empêcherait la création d’un profil d’émergence anatomique convexe en induisant une déformation concave de la matrice à sa base.
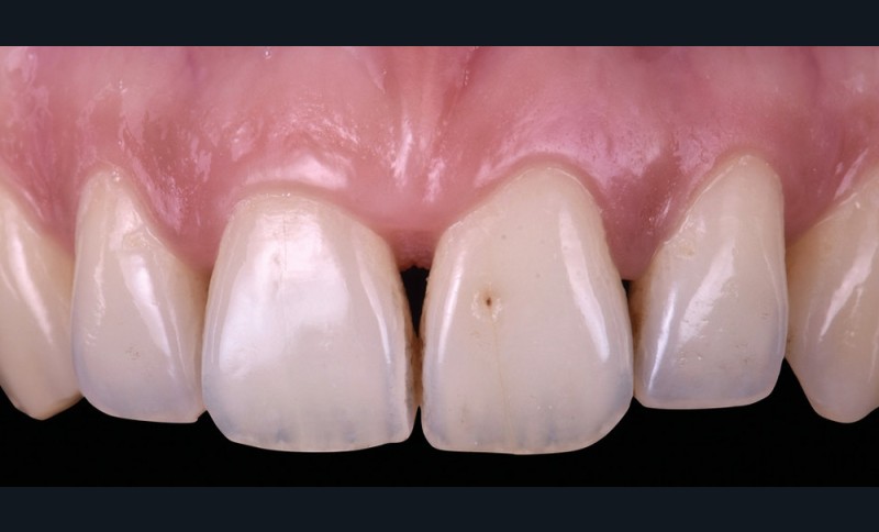
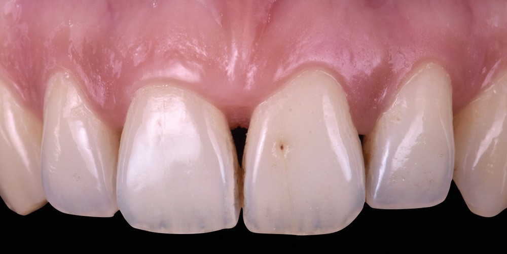
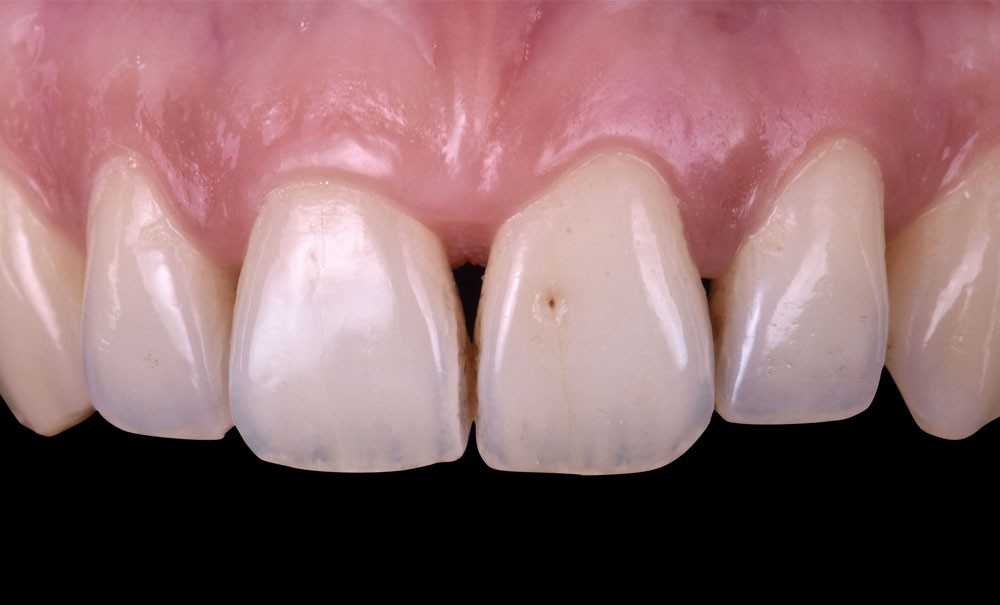
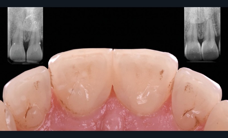
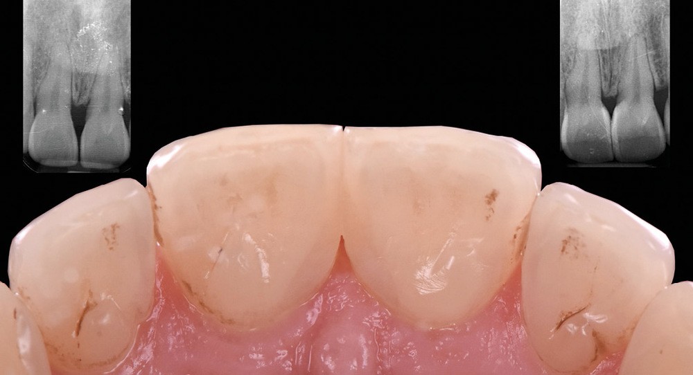
Les triangles noirs
Ils correspondent à une perte de papille interdentaire et sont principalement observés :
– lorsque la distance point de contact/crête osseuse est supérieure à 5 mm ;
– chez des patients présentant une atteinte parodontale avec une perte osseuse associée à une récession horizontale ;
– pour des dents le plus souvent de forme triangulaires ;
– en post-traitement orthodontique.














