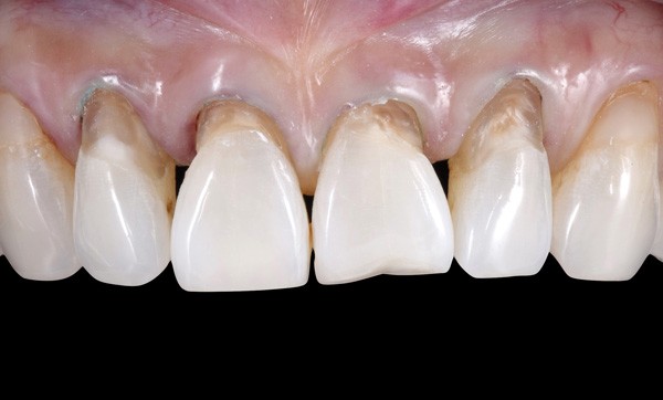
Fermeture des diastèmes et des triangles noirs du secteur antérieur à l’aide de résines composites en technique directe

  • Par
  • Publié le . Paru dans Réalités Cliniques n°4 - 15 décembre 2018 (page 236-243)
Information dentaire
Résumé
Une large palette d’options thérapeutiques, depuis le traitement orthodontique jusqu’aux céramiques indirectes, peuvent être utilisées pour fermer les diastèmes et les triangles noirs sur les dents antérieures. Les avancées réalisées depuis dix ans dans le domaine de la dentisterie adhésive et restauratrice permettent aux praticiens d’avoir recours à la stratification de composite en technique directe pour traiter ces situations. Dans cet article seront présentés deux cas cliniques de fermeture de diastème et de triangles noirs par application de composite en technique directe dans le cadre d’un traitement conservateur, esthétique et non invasif.

Abstract
Closing diastemas and black triangles (interstitial spaces) in the anterior sector using direct technique composite resins A wide range of treatment options, from orthodontic treatment to indirect ceramics, is available to close diastema and interstitial spaces (black triangles) on anterior teeth. The advances made in the field of adhesive and restorative dentistry over the past decade have allowed practitioners to use laminating composite direct technique to deal with these situations. In this article, two clinical cases of diastema and interstitial space reduction using the direct composite technique as part of a conservative, aesthetic and non-invasive treatment, will be presented.
La présence d’un diastème antérieur constitue chez les adultes l’un des principaux motifs de consultation pour raison esthétique. Quant aux triangles noirs antérieurs, ils représentent également une source de gêne pour les patients qui les jugent souvent disgracieux. Bien qu’il soit moins fréquent que les diastèmes, ce défaut peut se rencontrer chez les patients d’âge moyen présentant un biotype parodontal fin, une récession gingivale horizontale ainsi que des dents de forme triangulaire dans les secteurs antérieurs.

Les diastèmes peuvent être pris en charge facilement et de manière efficace à l’aide d’un traitement orthodontique [1]. Souvent considérée comme le traitement de choix en la matière, cette solution peut toutefois poser certains problèmes :
– le coût des traitements orthodontiques restant généralement élevé, de nombreux patients ne peuvent y avoir accès ;

– le traitement orthodontique est indiqué pour des patients particulièrement motivés et ce, indépendamment de la technique utilisée ; d’abord parce qu’il dure longtemps, ensuite parce que les dispositifs mis en place – bagues collées sur la face vestibulaire ou palatale des dents – sont perçus comme inconfortables. Les procédures d’hygiène dentaire quotidienne deviennent en outre plus difficiles à mettre en œuvre. Enfin, une bonne coopération du patient est demandée même dans le cadre de méthodes plus modernes telles que les aligneurs transparents, sous peine d’échec du traitement.
Notons que dans certains cas, un traitement orthodontique seul peut ne pas suffire à régler le défaut esthétique, ce qui nécessite le recours à des procédures complémentaires. En effet, afin d’obtenir un résultat esthétique satisfaisant, des traitements restaurateurs sont souvent nécessaires dans les cas où le diastème est associé à une malformation dentaire, une décoloration ou une disharmonie [2].

Il n’est en revanche pas recommandé d’avoir…

Cet article est réservé aux abonnés.
Pour lire la suite :

Vous êtes abonné.e ? Connectez-vous
Mot de passe
oublié ?

Vous pouvez également :

Acheter l'article En version numérique
Acheter le numéro À l'unité

Thèmes abordés