Finition et polissage des composites

  • Par
  • Publié le . Paru dans L'Information Dentaire (page 25-28)
Information dentaire
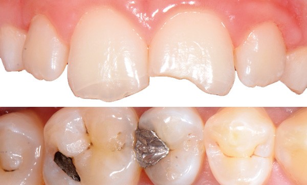
L’amélioration des propriétés mécaniques et esthétiques des matériaux composites permet aujourd’hui la réalisation de reconstitutions directes naturelles tout en utilisant des protocoles simplifiés. En effet, il est désormais aisé d’obtenir des reconstitutions postérieures esthétiques avec une seule teinte ou des reconstitutions antérieures naturelles par l’utilisation de deux masses différentes seulement. Cependant, si les matériaux s’améliorent, leur finition et leur polissage restent une étape majeure de la réussite et de l’intégration à long terme des reconstitutions. Il a été démontré que la surface d’un composite doit avoir une rugosité (exprimé en Ra) inférieure à 0,50 µm pour ne pas être détectée par les patients (l’émail a une rugosité de 0,64 µm +/- 0,25 µm) [1]. Les matériaux et les procédures de polissage doivent donc tendre vers cette valeur qui est facilement objectivable en cabinet pour juger de l’efficacité de notre système de polissage en plus du critère visuel.

Vrai ou faux…

Question 1. Plus les charges d’un composite sont importantes, plus il sera résistant et facile à polir

 Vrai/Faux

Question 2. La finition d’une résine composite influence la longévité de la restauration

Vrai/Faux

Question 3. Un instrument multilame est plus adapté qu’un instrument diamanté pour l’étape de finition d’un composite

Vrai/Faux

Question 4. Les étapes de polissage simplifiées donnent les mêmes résultats que les étapes multiples

Vrai/Faux

Réponses et commentaires

1. Faux ;

2. Vrai ;

3. Vrai ;

4. Vrai.

Question 1

Pour comprendre la capacité d’un matériau à être poli de façon efficace, il faut connaître sa composition. Une résine composite est constituée d’une matrice organique, de charges et d’un agent de couplage (silane). Ce sont les charges qui influencent les propriétés mécaniques et la capacité d’un composite à être poli et brillant [2]. Ces charges peuvent être minérales (quartz, céramique ou silice), organiques (résine matricielle polymérisée) ou organo-minérales (cœur minéral enrobé de résine polymérisée). Elles peuvent avoir différentes formes (rondes, sphériques ou anguleuses) et différentes tailles. La classification de 1983 de Lutz et Phillips [3] classe les résines composites en fonction de la taille des charges. On distingue ainsi les composites macrochargés (charges supérieures à 10 µm), les composites microchargés (microparticules de 0,01 à 0,1 µm) et les composites hybrides contenant un mélange de charges de différentes tailles. La famille des composites hybrides comprend les composites hybrides purs (particules submicroniques de 0,04 µm et petites particules de 1 à 4 µm) et les micro-hybrides (particules submicroniques de 0,04 µm et petites particules de 0,1 à 1 µm) [4, 5].
La répartition des charges dans le composite est un élément qui détermine ses propriétés. Plus le pourcentage de charges dans le composite augmente, plus le stress de…

Cet article est réservé aux abonnés.
Pour lire la suite :

Vous êtes abonné.e ? Connectez-vous
Mot de passe
oublié ?

Vous pouvez également :

Acheter l'article En version numérique

Thèmes abordés

Sur le même sujet

Esthétique

Article réservé à nos abonnés Un mois sans alcool pour repenser sa consommation : le Dry January revient

Le Défi de janvier (Dry January) revient e n 2026 pour sa septième édition. Cette campagne citoyenne semble s’imposer comme...
Esthétique

Article réservé à nos abonnés Rencontre avec Pierre Keller : gestion des tissus mous péri-implantaires

1er cas lauréatResponsable de séance : Othman MikouIntervenant : Pierre Keller  Extraction–implantation immédiate (EII) : volumes osseux et gingivaux suffisants...