Analyse pré-implantaire
Recueil des données
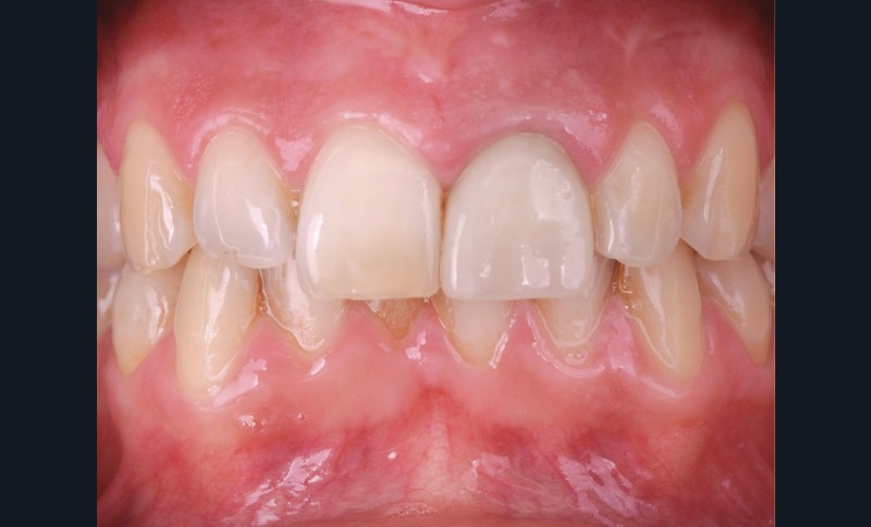
Une patiente de 32 ans est reçue en consultation au cabinet. Elle ne présente pas d’antécédents médicaux ou chirurgicaux. Elle se plaint de douleurs aiguës en regard de la 21 lors de la mastication. Cette dent a été traitée par son précédent chirurgien-dentiste il y a quinze ans, à la suite d’un accident de vélo. Un traitement endodontique a été rendue nécessaire ainsi que la pose d’un ancrage radiculaire de type inlay-core et d’une couronne céramo-métallique (fig. 1).
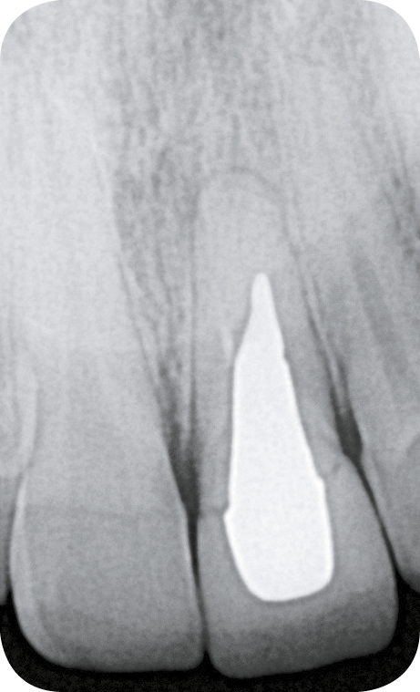
L’examen clinique révèle la présence d’un biotype parodontal épais, une gêne lors de la palpation vestibulaire ainsi qu’une douleur à la percussion. La réalisation d’une radiographie rétro-alvéolaire et d’un CBCT confirme la présence d’une fissure radiculaire (fig. 2).
Proposition et prise de décision
Il est expliqué à la patiente la nécessité d’extraire la dent, au vu de la situation clinique, et la possibilité de poser un implant lors de cette même séance (la patiente ne présentant aucune contre-indication à l’implantologie). Il lui est également précisé qu’une couronne provisoire peut être réalisée le jour même.
En raison de ses exigences esthétiques et compte tenu du caractère d’urgence, la patiente accepte la proposition. Une prise d’empreinte numérique est réalisée avec une caméra optique.
Planification implantaire
Avec l’aide du prothésiste, le fichier DICOM du CBCT et le fichier issu de l’empreinte optique sont associés. Afin de simuler au mieux la situation endo-buccale de la patiente, l’extraction virtuelle de la 21 est effectuée.
Cette visualisation de l’avulsion permet dans un second temps le positionnement dans cette même zone d’un implant (de plateforme standard 4,20 x 13) grâce à un logiciel de planification implantaire…

