Fonction, dysfonction et usure : vers une contention active ?

  • Par
  • Publié le . Paru dans L'Orthodontiste n°3 - 15 juin 2020 (page 28-31)

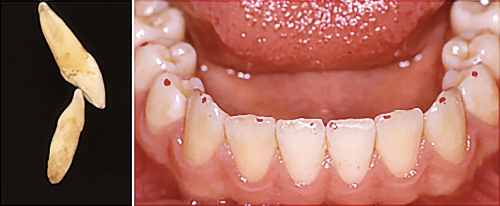
Fig. 1a - Angle inter-incisif. b - Vue intra-arcade mandibulaire avec les impacts OIM. Très simple à enregistrer et donne une bonne vision de la qualité du calage, avec des contacts bien répartis sur les bords libres incisifs mandibulaires, cette pratique devrait être systématisée lors de la présentation de nos cas cliniques.

Information dentaire

Docteur Kohaut, vous accompagnez les orthodontistes depuis des années dans la prise en charge (entre autres) des dysfonctions et des parafonctions mandibulaires. Merci d’avoir accepté de partager avec nous votre expertise sur ces phénomènes d’usures coronaires, thème de ce numéro spécial.

Merci à la revue de me donner l’occasion de partager des idées qui me tiennent à cœur.

J’aimerais commencer par rappeler que l’usure est physiologique et que si l’on est vivant, on s’use les dents ! La fonction est évidemment un point essentiel dans ces phénomènes d’usure et, bien sûr, la mastication en particulier. Notre mastication a évolué au fil des années pour différentes raisons.

La première est liée à la nature de notre alimentation elle-même : nous sommes passés d’une alimentation très abrasive pour les populations du passé (sable du désert, silice de meules en pierre pour broyer les blés) à une alimentation industrielle molle avec, en plus, une habitude de cuisson des aliments qui limite le besoin de mastication [1].

La deuxième raison, c’est l’utilisation d’outils. Jusqu’au XVe siècle, on mangeait avec les doigts et on lapait la soupe. L’utilisation de la fourchette a été introduite en France par Catherine de Medicis, mais son utilisation n’est vraiment universelle qu’au XVIIIe siècle avec les « couverts », le set de trois outils (couteau, fourchette, cuillère) tel que nous le connaissons.

Le sens de notre évolution est donc de moins utiliser les dents comme un outil, et en particulier la « pince incisive ». L’usure abrasive incisive liée à l’alimentation est devenue négligeable depuis que la fourchette permet l’introduction d’aliments directement dans la partie postérieure de la cavité buccale et aujourd’hui, les mécanismes d’usures des incisives sont majoritairement érosifs (consommation de boissons acides, vomissement…) ou attritifs dans les cas de comportement para-­fonctionnel.

Cet article est réservé aux abonnés.
Pour lire la suite :

Vous êtes abonné.e ? Connectez-vous
Mot de passe
oublié ?

Vous pouvez également :

Acheter l'article En version numérique
Acheter le numéro À l'unité

Thèmes abordés