Forme sévère d’amélogenèse imparfaite : prise en charge pluridisciplinaire et réhabilitation céramo-céramique

  • Par
  • Publié le . Paru dans Stratégie Prothétique n°1 - 15 février 2022 (page 4-7)
Information dentaire
– Qu’est-ce que l’amélogenèse imparfaite ?
– Quelles sont les causes et les conséquences de la maladie ?
– Que faire face à une amélogenèse imparfaite en matière de traitement et de suivi ?

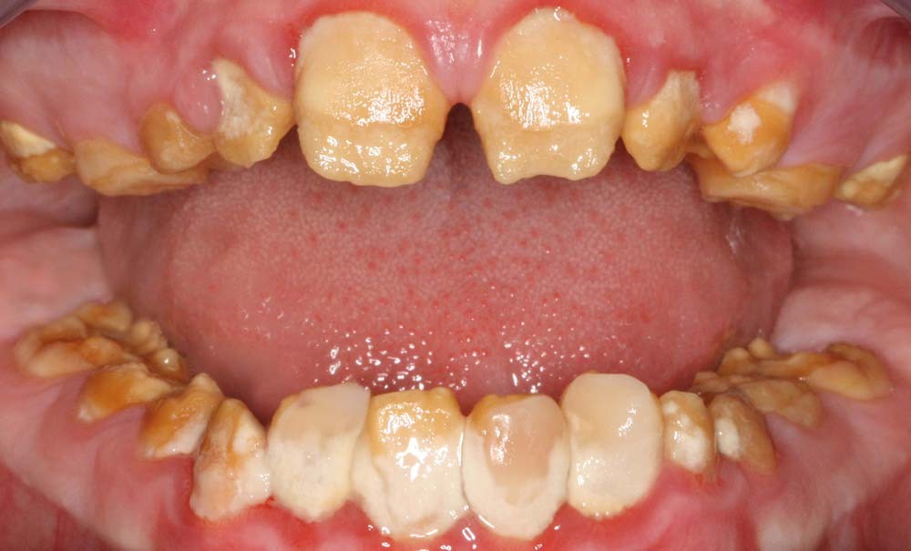
L’amélogenèse imparfaite (AI) est l’expression d’altérations génétiques associées à des mutations de nombreux gènes codant pour les protéines de l’émail [1,2]. Cette manifestation affecte la structure et l’apparence amélaire des dents temporaires et permanentes avec une prévalence qui varie selon les études de 1/700 à 1/14 000 [3,4].

Une perturbation de l’amélogenèse peut se traduire par une réduction de la quantité d’émail et/ou une altération de sa minéralisation et de sa maturation. Ainsi, les défauts amélaires sont variables et subdivisés en forme hypoplasique (la plus fréquente), hypomature, ou hypominéralisée (plus rare) et peuvent exister de manière isolée ou associée à d’autres symptômes dans le cadre de syndromes [5].

Les principales conséquences sont une usure dentaire rapide et une altération de l’esthétique perturbant la qualité de vie des patients atteints. D’autres caractéristiques cliniques sont fréquentes telles que des retards d’éruption, des agénésies, des calcifications pulpaires, une résorption progressive, des racines courtes ou très longues [6,7].

Certaines caractéristiques cranio-faciales peuvent également être présentes comme une endomaxillie, une courbe de Spee inversée et une infraclusion antérieure (béance). Les patients éprouvent parfois des difficultés à la mastication en raison d’une hypersensibilité et d’une perte de dimension verticale d’occlusion (DVO) engendrées par l’attrition [8,9].

La grande variabilité d’expression phénotypique peut rendre le diagnostic difficile. Certains éléments – antécédents familiaux, expression clinique et radiographique – vont cependant orienter notre diagnostic [10]. La gestion des cas les plus complexes, véritable défi pour le chirurgien-dentiste, nécessite une prise en charge précoce et une approche pluridisciplinaire [11,12,13].

L’objectif de cet article est de décrire la prise en charge organisée…

Cet article est réservé aux abonnés.
Pour lire la suite :

Vous êtes abonné.e ? Connectez-vous
Mot de passe
oublié ?

Vous pouvez également :

Acheter l'article En version numérique
Acheter le numéro À l'unité

Thèmes abordés