Fracture traumatique de l’incisive centrale : quelles solutions ?

  • Par
  • Publié le . Paru dans Profession Assistant(e) Dentaire n°5 - 27 novembre 2019 (page 14-19)
Information dentaire
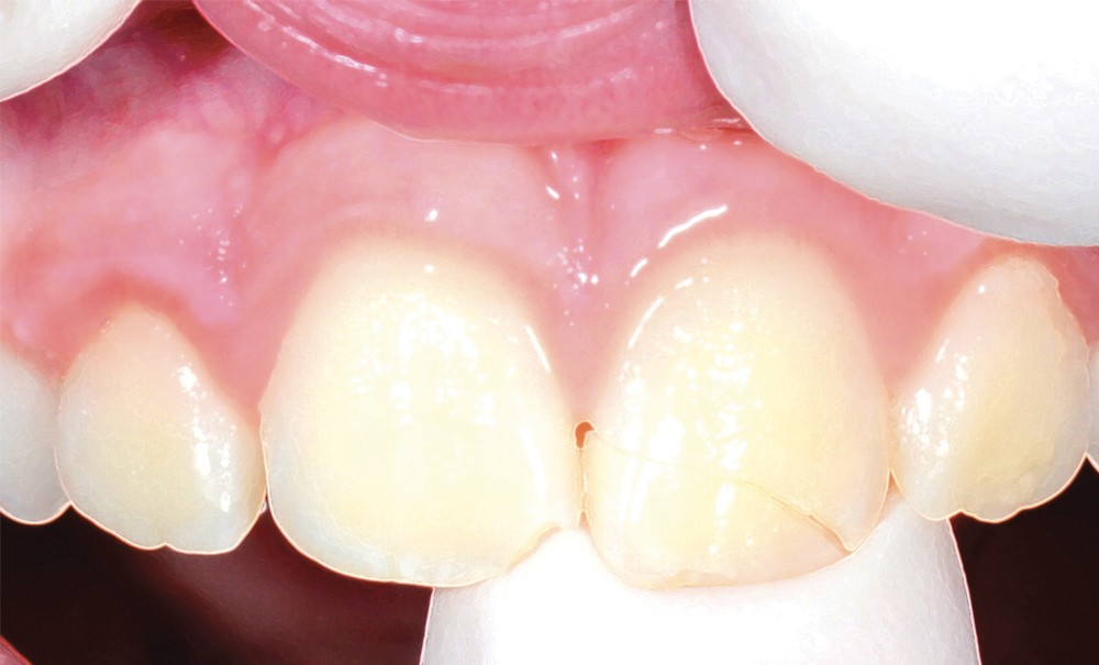
La fracture dentaire représente un contexte d’urgence, de douleur et de stress pour le patient, qui nécessite une prise en charge rapide mais pouvant être différée en cas d’atteinte de l’état général ou d’un traumatisme sur une autre partie du corps. Dans le secteur antérieur, elle a un fort impact esthétique qui justifie une réhabilitation dans un délai court, afin de limiter les conséquences sociales et psychologiques pour le patient.

Les causes des traumatismes dentaires chez l’adulte sont variées, pouvant résulter d’un impact avec un objet en mouvement, d’une chute, notamment lors d’activités sportives, d’un accident de la voie publique ou encore de l’utilisation des dents comme « outil ».

Épidémiologie

Les deux tiers des traumatismes (fractures et luxations) concernent les incisives centrales maxillaires et, plus rarement, les incisives centrales mandibulaires et les incisives latérales maxillaires. De 50 % à 60 % d’entre eux sont des lésions simples, principalement des fractures coronaires. Celles-ci représentent de 26 à 76 % des atteintes alors que les fractures radiculaires surviennent dans 0,3 % à 0,5 % des cas.

Le plus souvent, une dent isolée est concernée, sauf en cas d’accident de la route ou de sport : plusieurs dents/tissus périphériques peuvent être touchés. Ainsi, la fracture amélaire sur une seule dent est extrêmement fréquente. Cependant, lorsqu’une seule incisive est fracturée, l’atteinte des dents adjacentes et les lésions parodontales associées sont courantes.

Lors de la petite enfance, les plaies et contusions de la face représentent la majeure partie des lésions traumatiques (plus de 60 %). Les chutes sont la principale cause de traumatisme jusqu’à 3 ans, dont les trois quarts impliquent une consultation dentaire.

On peut observer que les garçons sont deux fois plus concernés que les filles, et que 71 à 98 % des traumatismes se produisent avant 19 ans. Le risque d’en subir un second est huit fois plus important lorsque le premier survient avant l’âge de 9 ans, d’où l’intérêt de la prévention (ODF) et des protections sportives.

Classification OMS

Elle comprend les traumatismes des dents, des tissus de soutien parodontaux et osseux, des tissus gingivaux et des muqueuses buccales. Cette classification s’applique aux dents temporaires et permanentes. La classification des traumatismes…

Cet article est réservé aux abonnés.
Pour lire la suite :

Vous êtes abonné.e ? Connectez-vous
Mot de passe
oublié ?

Vous pouvez également :

Acheter l'article En version numérique
Acheter le numéro À l'unité

Thèmes abordés

Sur le même sujet

Odontologie restauratrice

Article réservé à nos abonnés Défis en traumatologie dentaire : gestion des fractures corono-radiculaires

Responsable scientifique : Emmanuelle Esclassan Noirrit Intervenant : Georgios Tsilingaridis Les fractures corono-radiculaires impliquent à la fois la couronne et la racine...
Odontologie restauratrice

Article réservé à nos abonnés Parlons ensemble d’adhésion

Responsable scientifique : Alain Vanheusden Intervenant : Frédéric Raux Photo et schéma : © Frédéric Raux Le grand principe commun de l’adhésion...
Odontologie restauratrice

Article réservé à nos abonnés Les restaurations partielles en céramique

Responsable scientifique : Michel Bartala Intervenant : Olivier Etienne Les différentes générations de colles La classe des colles avec potentiel adhésif rassemble...