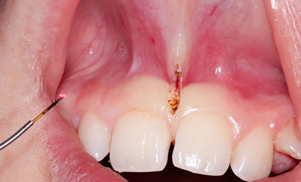
Frénectomie labiale au laser diode chez l’adolescent

  • Par
  • Publié le . Paru dans L'Information Dentaire n°21 - 25 mai 2022 (page 30-38)
Information dentaire
Les développements rapides de la technologie laser et une meilleure compréhension des bio-interactions de différents types de lasers ont étendu leur utilisation en odontologie. Ils constituent une alternative aux chirurgies conventionnelles (réalisées au bistouri) en raison du confort apporté au patient (absence de saignement au niveau du champ opératoire, douleur et temps de guérison réduits). Du fait de la finesse de la fibre optique, leur utilisation pour la chirurgie mineure des tissus mous buccaux est facilitée. Le laser diode, comme moyen adjuvant ou alternatif, ouvre de nouveaux horizons en chirurgie orale, notamment pour la frénectomie.

Dans notre pratique orthodontique, le frein interincisif peut représenter une anomalie anatomique de la gencive et/ou de la muqueuse alvéolaire. Pour cette raison, l’élimination partielle ou totale peut trouver son indication [1].

Du point de vue anatomique, un frein est un repli muco-conjonctif qui, d’une part s’insère sur la face interne de la lèvre, et, d’autre part, s’étend jusqu’à la ligne muco-gingivale ou parfois même jusqu’à la papille rétro-incisive.

Sur le plan histologique, il est constitué d’un épithélium stratifié orthokératinisé, parfois parakératinisé. On retrouve également du tissu conjonctif et plus rarement du tissu adipeux et des acini muqueux des glandes salivaires. Les fibres sont représentées essentiellement par un réseau très dense de fibres collagènes ainsi que des fibres oxytalanes et des fibres de conjonctif lâches en moindre quantité. La présence de fibres musculaires a longtemps été discutée, mais il semble, depuis les études histologiques, que les freins n’en présentent pas [2].

Responsable d’un diastème plus ou moins conséquent en fonction du niveau de son insertion, on ne doit s’en préoccuper qu’à partir du moment où les incisives latérales définitives ont fait leur éruption. Geiger a montré depuis une quarantaine d’années que la position du frein peut changer avec la maturation du système dentaire [3]. En effet, les dents peuvent, par leur poussée éruptive, contribuer à une fermeture partielle ou totale du diastème. Rappelons que, durant la croissance, le frein labial voit son insertion remonter apicalement avec l’éruption des dents permanentes accompagnée de la croissance alvéolaire.

Cependant, dans certains cas de frein à insertion basse dans la gencive attachée avec mobilisation accrue de la gencive marginale et risque pour l’attache épithéliale, et/ou avec une épaisseur de tissu importante, il est recommandé de le supprimer. Cette suppression…

Cet article est réservé aux abonnés.
Pour lire la suite :

Vous êtes abonné.e ? Connectez-vous
Mot de passe
oublié ?

Vous pouvez également :

Acheter l'article En version numérique
Acheter le numéro À l'unité

Thèmes abordés

Sur le même sujet

Odontologie pédiatrique

Article réservé à nos abonnés Couronnes pédiatriques préformées esthétiques : zircone et composite, le face-à-face !

Responsable scientifique : Cécile Pflieger Intervenants : Serena LOPEZ, Nhat Minh DO La demande esthétique en dentisterie pédiatrique a considérablement augmenté ces...