De façon traditionnelle, lorsque survient une exposition pulpaire, la pulpectomie a longtemps été considérée comme le traitement de choix. Ce choix pouvait être justifié par le taux de succès élevé des traitements endodontiques sur dents à pulpe vitale, et par le manque de fiabilité des thérapies de conservation de la vitalité pulpaire.
Toutefois, la dentisterie contemporaine qui se fonde sur la préservation tissulaire remet en lumière le vieil adage selon lequel « la meilleure obturation endodontique reste la pulpe ». La compréhension récente des mécanismes biologiques intervenant dans la réparation et dans la régénération tissulaire, ainsi que les avancées dans le domaine des biotechnologies, nous autorisent à reconsidérer cette approche conventionnelle et à privilégier, dès que cela est possible, les thérapies ayant pour objectif la conservation des fonctions de la pulpe.
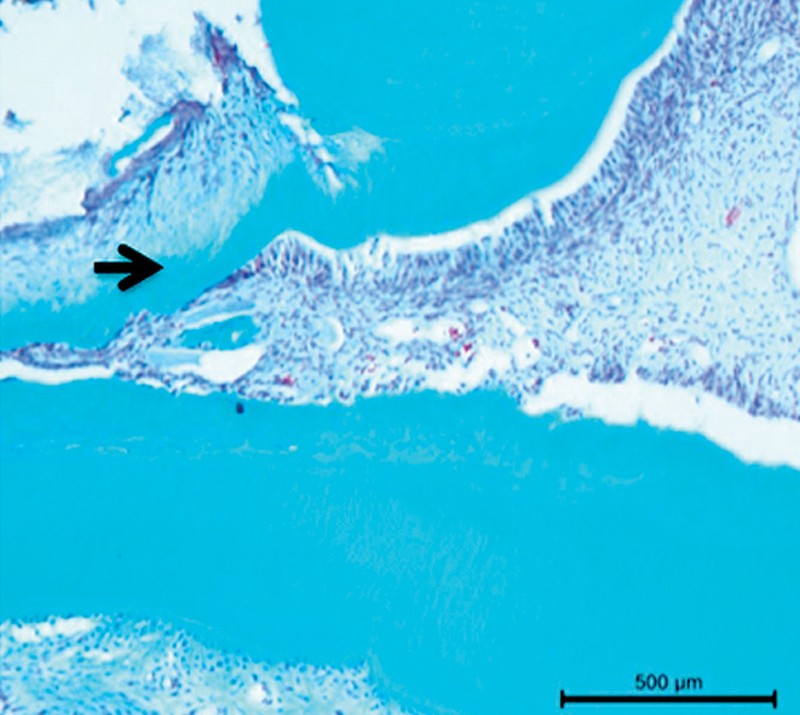
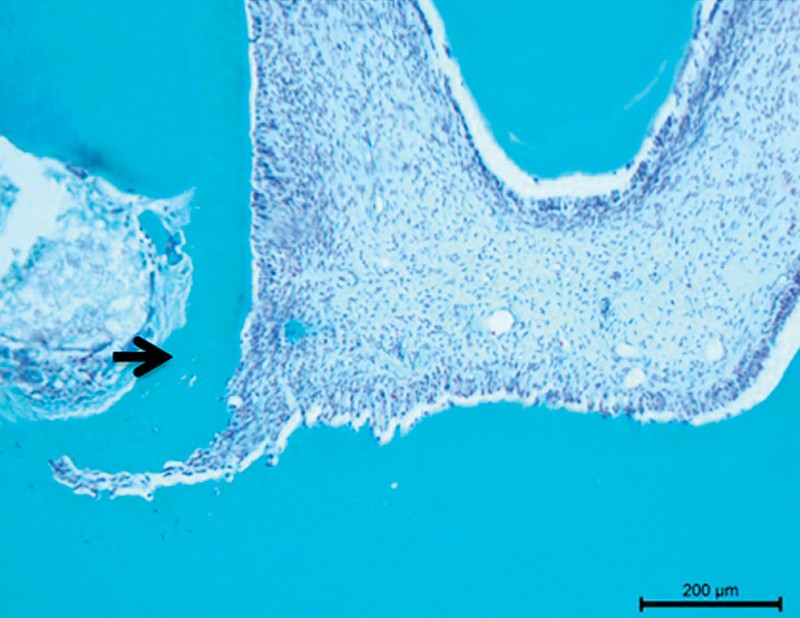
Il est connu depuis longtemps, qu’une pulpe exposée est capable de conserver sa vitalité dès lors que les conditions biologiques et cliniques sont réunies pour qu’un pont dentinaire se forme en fermant la brèche dentinaire présente (1). Le tissu pulpaire ainsi isolé recouvre alors son état de santé et ses fonctions (fig. 1).
Le coiffage d’une pulpe par un biomatériau est un acte opératoire codifié, qui, en soi, ne présente pas de difficulté technique majeure. En revanche, la prise de décision et les conditions de sa réalisation clinique sont des éléments déterminants pour le pronostic, conditionnant le succès ou l’échec des thérapeutiques bioconservatrices. Quand et dans quelles limites le praticien peut-il envisager ces thérapeutiques pour conserver tout ou partie d’une pulpe exposée ?
D’une manière générale, dès qu’il s’agit de préserver la vitalité pulpaire quelle que soit la situation clinique, il est essentiel, dans un premier temps, d’évaluer…


