Couronnes sur dents temporaires : rapport de cas à six ans
Présentation du patient
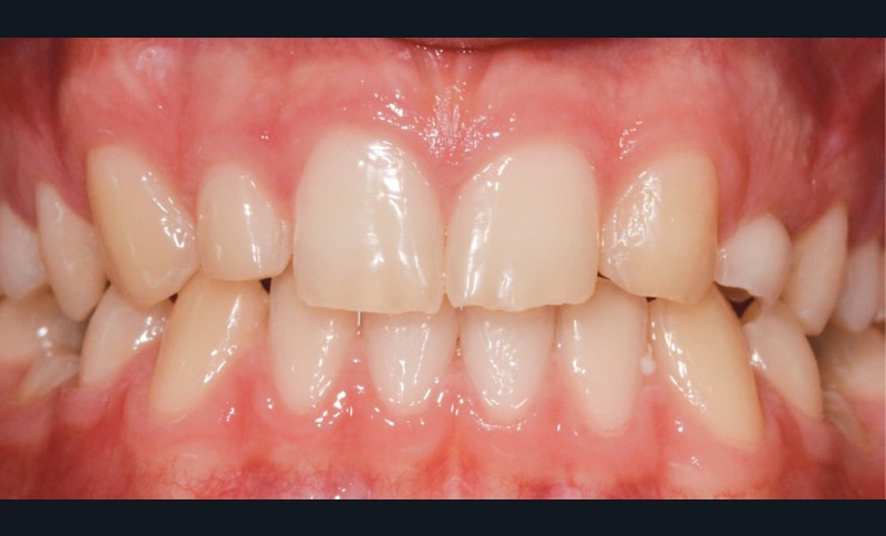
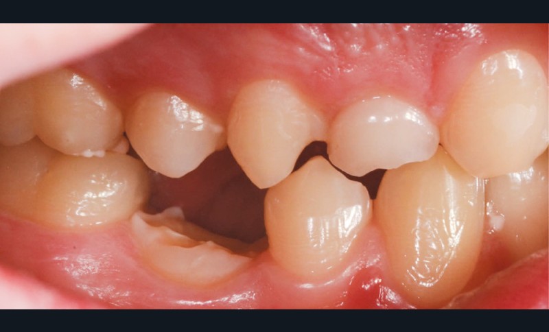
En 2013, un jeune patient de 16 ans est adressé au cabinet par le spécialiste qualifié en orthodontie pour une prise en charge prothétique à la suite d’un traitement orthodontique qui n’a pas donné les résultats escomptés. Le patient présente une persistance des premières molaires temporaires mandibulaires avec une agénésie des secondes prémolaires définitives adultes. Ces prémolaires sont en sous-occlusion et présentent des lésions carieuses débutantes superficielles (fig. 1 à 3).
Il présente par ailleurs une agénésie de la 12.
Le risque carieux est néanmoins évalué comme très faible ; les lésions carieuses débutantes étant apparues récemment et attribuées à l’absence de fonction des dents temporaires.
Une seule dent définitive a été traitée par un composite occlusal. L’alimentation du patient est décrite comme équilibrée, l’hygiène bucco-dentaire est efficace, et la fratrie ainsi que les parents sont exempts de lésions carieuses.
Ni le patient ni les parents ne sont demandeurs d’un second traitement orthodontique.
Choix thérapeutique
Plusieurs scénarios se présentent :
- le retrait des dents temporaires suivi de la mise en place d’implants dentaires, avec une solution de temporisation à définir. Le patient n’ayant pas terminé sa croissance osseuse, le traitement implantaire immédiat est exclu ;
le collage d’une pièce en céramique afin de maintenir les espaces, avec une surveillance particulière.
Le rapport bénéfice/risque/coût est discuté avec le patient et ses parents. Le caractère inhabituel de la solution collée est expliqué.
Après plusieurs semaines de réflexion, la solution d’une réhabilitation via une prothèse collée sur les dents temporaires est choisie par le patient et ses parents, et validée par le praticien.
Protocole opératoire
Le choix est fait de privilégier une technique adhésive, car…


