Présentation du cas
Une patiente de 30 ans se présente en consultation pour envisager le traitement d’une agénésie de l’incisive latérale supérieure droite (12). Cette patiente est porteuse d’un bridge collé depuis de nombreuses années, qui se décolle fréquemment. Elle souhaite envisager une solution pérenne de type implantaire.
L’anamnèse ne montre pas de contre-indication médicale. Son hygiène dentaire est efficace avec un brossage deux fois par jour.
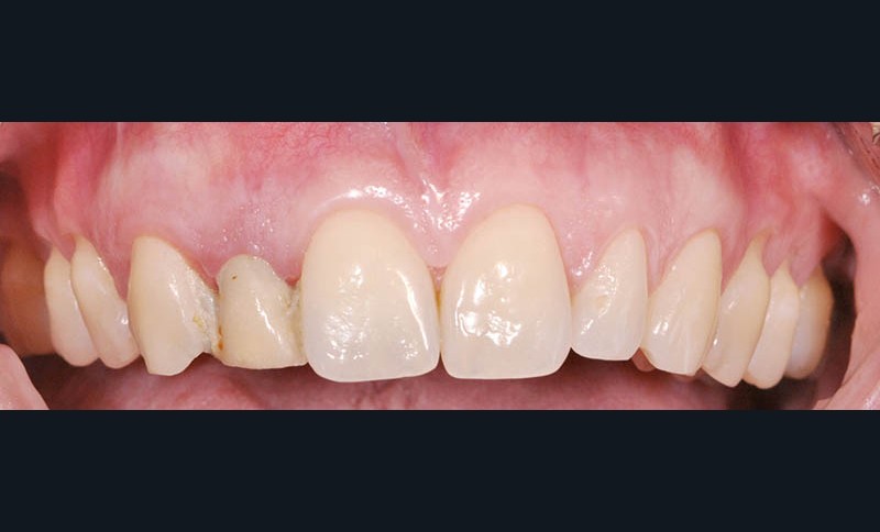
L’examen clinique au niveau articulaire est normal, pas de limitation à l’ouverture, absence de déviation dans les trajets axiaux d’ouverture – fermeture. La patiente est totalement dentée (excepté les dents de sagesse) avec un calage postérieur présent et efficient. Dans les mouvements de propulsion la prise en charge du guide antérieur est assurée par les faces palatines des incisives centrales et nous observons une fonction canine efficace en latéralités droite et gauche. L’examen parodontal à l’aide d’une sonde graduée ne montre pas de zone inflammatoire avec saignement, ni de poche. L’observation du biotype parodontal de la zone concernée est du type intermédiaire à fin (fig. 1).
La palpation de la zone de la 12 nous laisse percevoir la présence d’une crête fine présentant une dépression.
Les différentes solutions prothétiques (prothèse amovible, bridge collé, bridge conventionnel et implant) sont expliquées à la patiente avec leurs avantages et inconvénients. La patiente souhaite une solution implantaire. Nous lui proposons la réalisation d’une radiographie de type tomographie volumétrique pour avoir les informations précises sur la situation osseuse.
Décision thérapeutique
La patiente nous transmet son examen tomographique. L’analyse des différentes vues nous donne des informations permettant de poser l’indication du type d’implant et du type de chirurgie que nous comptons mettre en place :
