Ne pas confondre dispositif de maintien et période de contention
Le dispositif de maintien est la pièce maîtresse de la « contention », mais on ne peut réduire la « contention » au type de système, qu’il soit fixe ou amovible. Il ne protège pas, à lui tout seul, le patient des récidives. Les fonctions, l’état dentaire et parodontal, le vieillissement sont sources de récidive ou de nouvelles malocclusions, quel que soit le système mis en place. C’est pourquoi mieux vaut lui préférer le terme de maintenance orthodontique [1].
Le choix du dispositif dépend de la malocclusion d’origine. Il ne peut être stéréotypé comme chez le junior. Il dépendra du niveau des finitions obtenues, de l’occlusion dynamique, de la stabilité des fonctions, de l’âge, de l’état parodontal et dentaire, de la présence ou non d’implant, de l’efficacité des précédentes contentions si le patient a déjà bénéficié d’un traitement.
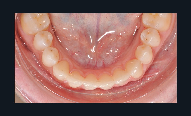
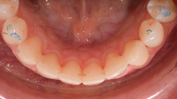
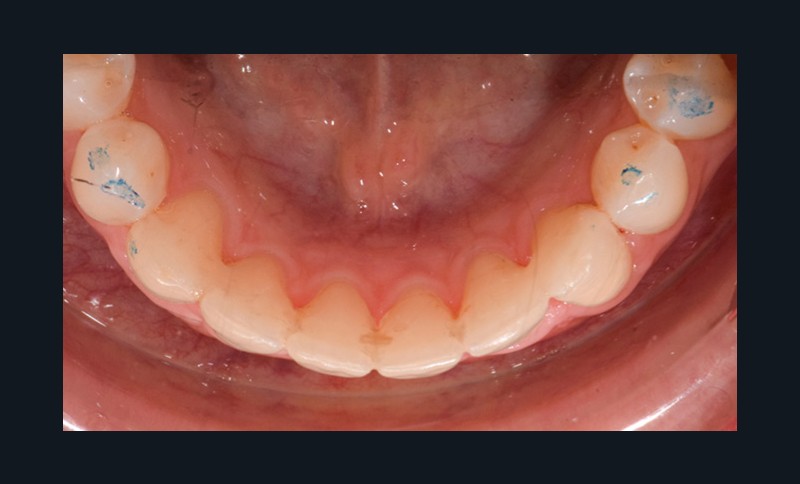
Par exemple, le retraitement d’un patient atteint d’un « Syndrome du fil » [2, 3], au vu de l’état des connaissances imparfaites de l’étiologie de cette situation, méritera une réflexion pour trouver un système de confiance. Une fibre collée est l’une des solutions sécurisantes (fig. 1). Mais, si la langue n’est pas stabilisée au repos comme en fonction, un dispositif amovible type Spring Retainer sera préférable.
Même si la partie fixe est externalisée (fibre collée), l’orthodontiste reste responsable de la stabilité du traitement, et c’est à lui de procéder à la surveillance. Cette dernière fera l’objet d’un devis minoré mais tenant compte des différentes actions nécessaires.
Quel type de devis est adapté à notre patient adulte ?
Le devis doit être sur mesure pour chaque patient, séparé de la partie active du traitement, et tenir compte des particularités de l’adulte anticipées dès le début du traitement.
Pour beaucoup…


