L’analyse rapide de la littérature [1-6] nous montre que (tableau 1) :
- les complications mécaniques sont plus importantes avec la prothèse vissée et les complications biologiques plus élevées avec la prothèse scellée ;
- plus la restauration est importante, plus les complications augmentent ;
- les prothèses céramo-céramiques présentent plus de complications ;
- les complications sont plus nombreuses avec les connexions externes.
Nous allons aborder ici les complications mécaniques possibles en passant en revue l’étiologie, la conduite à tenir et la prévention (les valeurs en % des survenues de complications indiquées ci-après sont toutes issues de l’analyse de la bibliographie précédemment citée).
|
Tableau 1. Synthèse des complications issues des méta-analyses [1-6] |
|||
|
5 ans |
Couronne |
Bridge |
Arcade complète |
|
Taux de complications prothèse scellée |
11,9 % |
24,5 % |
62,9 % |
|
Taux de complications prothèse vissée |
24,4 % |
22,1 % |
54,1 % |
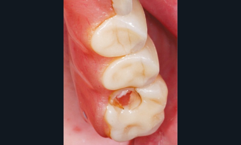
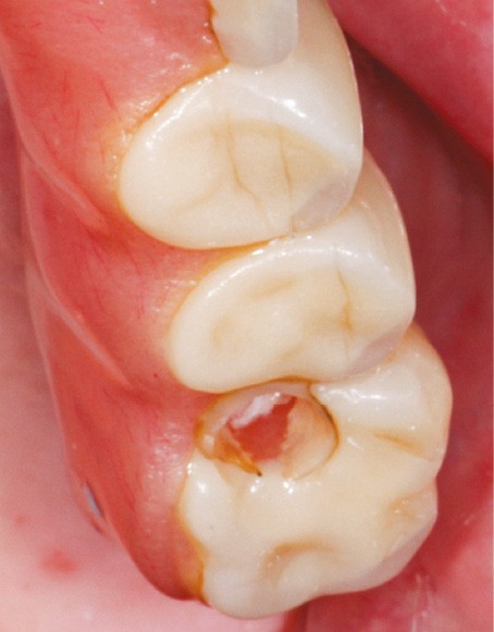
Perte de l’obturation du puits d’accès à la vis
Il s’agit du motif de consultation le plus fréquent (25 %), qui inquiète le patient mais qui est sans gravité (fig. 1).
La conduite à tenir consiste à nettoyer le puits de vis et à contrôler le couple de serrage. Après désinfection au Dakin®, à l’alcool ou à l’aide d’une solution de chlorhexidine, du polytétrafluoroéthylène (téflon) doit être placé sur la tête de vis implantaire (fig. 2) [7]. Ce matériau est recommandé pour son inertie chimique, sa résistance mécanique, sa facilité de mise en œuvre et de dépose.
Puis du composite est utilisé sur une hauteur suffisante afin d’obturer le puits d’accès à la vis, en veillant à ne pas créer de surocclusion.
Descellement
Le descellement d’une couronne implanto-portée est fréquent : 6 à 8 %.
La principale cause des descellements…

