Gestion des séquelles de la parodontite sévère dans les secteurs antérieurs

  • Par
  • Publié le . Paru dans Parodontologie Implantologie Orale, un nouveau regard n°1 - 15 mars 2022 (page 24-38)
Information dentaire

La gestion des séquelles de la parodontite sévère en secteur antérieur représente l’un des défis majeurs rencontrés dans notre pratique, car un impératif esthétique s’ajoute à la complexité du traitement.

Quels en sont les étapes essentielles et les écueils ? Quels critères décisionnels permettent d’en orienter les choix thérapeutiques ? À travers la description d’un cas clinique, nous aborderons les étapes de traitement d’une parodontite de stade IV grade C, particulièrement la troisième phase du plan de traitement parodontal correspondant à la correction des séquelles de la parodontite sévère avec une réhabilitation orale fixe implanto-portée, dont le résultat fonctionnel et esthétique a été optimisé. Pour atteindre ces objectifs, la prise de décision thérapeutique est réfléchie et réévaluée à chaque étape du plan de traitement. Elle inclut notamment des reconstructions tissulaires osseuses et muqueuses, le positionnement d’implants et une réhabilitation prothétique globale.

Cet article illustre les étapes principales de la gestion des séquelles fonctionnelles et esthétiques d’une parodontite de stade IV grade C généralisée associée à la perte dentaire dans le secteur antérieur.

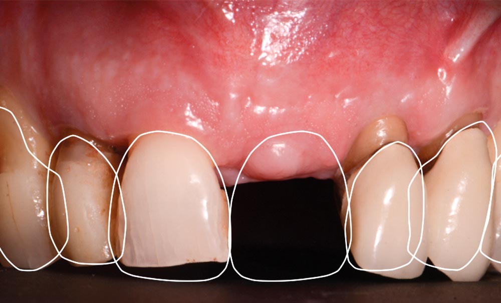
La parodontite sévère, en tant que maladie inflammatoire chronique des tissus de soutien de la dent, impacte les fonctions orales, l’esthétique du sourire et la qualité de vie du patient atteint [1]. La gestion des séquelles de la parodontite, en particulier dans les secteurs esthétiques, est complexe et moins prédictible. Au-delà d’une épaisseur osseuse souvent insuffisante, due, entre autres, aux remaniements post-extractionnels, une composante verticale est aussi impliquée. Cette hauteur limitée engendre, si elle n’est pas compensée, un positionnement implantaire non idéal qui peut générer un espace inter-arcade augmenté. Les possibilités prothétiques sont alors réduites, souvent non satisfaisantes d’un point de vue esthétique et associées à des difficultés pour maintenir une hygiène buccale adéquate, pouvant ainsi compromettre le pronostic à long terme [2]. Des techniques d’augmentation osseuse horizontale ou verticale [3], ainsi que d’augmentation des tissus mous sont alors régulièrement employées, dans le but de favoriser le maintien de la santé parodontale et péri-implantaire [4].

Nous allons illustrer, à travers un cas clinique, les étapes principales de la gestion des séquelles fonctionnelles et esthétiques d’une parodontite de stade IV grade C généralisée associée à la perte dentaire dans le secteur antérieur.

Exposé clinique

Une patiente, âgée de 67 ans, se présente en consultation en février 2017 avec la demande suivante : « Je voudrais trouver une solution pour mes dents : elles sont très mobiles, j’ai peur de les perdre, et elles sont inesthétiques. » Retraitée, la patiente s’occupe très activement de sa petite fille et vit entre la région parisienne et…

Cet article est réservé aux abonnés.
Pour lire la suite :

Vous êtes abonné.e ? Connectez-vous
Mot de passe
oublié ?

Vous pouvez également :

Acheter l'article En version numérique
Acheter le numéro À l'unité

Thèmes abordés