Gestion des tissus mous par adaptation prothétique selon le protocole BOPT : un cas clinique de réalignement des collets gingivaux

  • Par
  • Publié le . Paru dans Réalités Cliniques n°3 - 15 septembre 2020 (page 202-207)

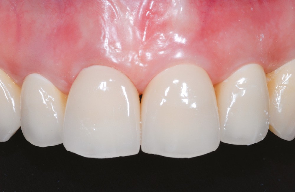
17. Aspect des tissus mous après scellement des restaurations d’usage.

Information dentaire
L’un des principaux problèmes de la dentisterie a toujours été la stabilité des tissus gingivaux autour des restaurations prothétiques, notamment pour contrer la migration apicale de la gencive libre. Au fil des années, les auteurs ont proposé différents types de géométrie de préparation dentaire, destinées à garantir le succès esthétique, à moyen et long terme, de la restauration prothétique.
Récemment, un protocole prothétique appelé BOPT (Biologically Oriented Preparation Technique) a été présenté. Dans ce protocole, les tissus mous peuvent être gérés de manière efficace et prévisible, pour ce qui concerne la géométrie et l’épaisseur.
Dans cet article, nous présentons un cas clinique d’alignement des collets gingivaux.
Nous montrerons que la technique BOPT peut, déjà dans la phase de temporisation, aboutir à un rendu esthétique satisfaisant des tissus gingivaux, sans recourir à de la chirurgie préprothétique.

La technique de préparation du moignon prothétique est un sujet constamment débattu dans le domaine dentaire scientifique : tous les cliniciens souhaitent conserver le maximum de tissu dentaire résiduel et respecter les tissus parodontaux pour garantir le succès à long terme de la restauration, notamment en termes de stabilité gingivale.

Au fil du temps, pour atteindre ces objectifs, différents types de préparation externe (chanfrein, à épaulement, épaulement biseauté), ainsi que des restaurations prothétiques adaptées à ce type de géométries, ont été proposés [1]. En effet, il est connu que la géométrie de la préparation dentaire influence la morphologie de la restauration prothétique au niveau du profil d’émergence. Pour cette raison, la limite de la préparation prothétique a toujours été considérée comme un élément important, favorisant l’intégration biologique et esthétique [2].

L’expérience clinique montre que les techniques de préparation traditionnelles avec une ligne de finition (chanfrein, épaulement, épaulement biseauté) ne garantissent pas toujours un résultat optimal à long terme : le joint marginal moignon-couronne peut rester stable dans le temps, mais son exposition suite à la rétraction gingivale constitue un échec esthétique fréquent.

Dans les études menées par Valderhaug sur un échantillon de 114 patients, avec un suivi à dix ans, 40 % ont montré une exposition de la marge prothétique à un an et 70 % à dix ans [3]. Ces données statistiques confirment que l’absence de stabilité des tissus gingivaux autour des restaurations prothétiques, la migration apicale de la marge gingivale et l’exposition du moignon sous-jacent représentent une complication clinique sévère, immédiatement perçue par le patient dans la zone esthétique antérieure.

La technique BOPT

En 2008, un protocole prothétique appelé BOPT (Biologically Oriented Preparation Technique), caractérisé par la simplicité…

Cet article est réservé aux abonnés.
Pour lire la suite :

Vous êtes abonné.e ? Connectez-vous
Mot de passe
oublié ?

Vous pouvez également :

Acheter l'article En version numérique
Acheter le numéro À l'unité

Thèmes abordés

Sur le même sujet

Esthétique

Article réservé à nos abonnés Un mois sans alcool pour repenser sa consommation : le Dry January revient

Le Défi de janvier (Dry January) revient e n 2026 pour sa septième édition. Cette campagne citoyenne semble s’imposer comme...
Esthétique

Article réservé à nos abonnés Rencontre avec Pierre Keller : gestion des tissus mous péri-implantaires

1er cas lauréatResponsable de séance : Othman MikouIntervenant : Pierre Keller  Extraction–implantation immédiate (EII) : volumes osseux et gingivaux suffisants...