Récessions parodontales
Étiologie des récessions
La gencive marginale est cliniquement représentée par une ligne festonnée qui suit le contour de la jonction amélo-cémentaire, 1 à 2 mm en coronaire. La récession gingivale est un déplacement apical de la gencive marginale avec exposition de la surface de la racine. La physiopathologie de la récession gingivale peut être divisée entre les causes directes et les facteurs prédisposants. Dans les cas de récession gingivale, le premier mécanisme de la migration gingivale apicale est une perte de la crête osseuse alvéolaire. Lorsque l’os est limité à une surface de dent, en général vestibulaire, le défaut osseux est plus connu sous le terme de déhiscence.
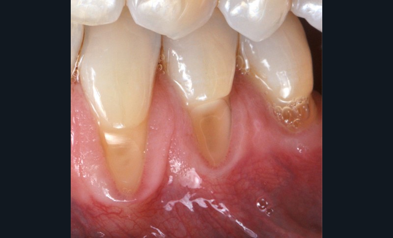
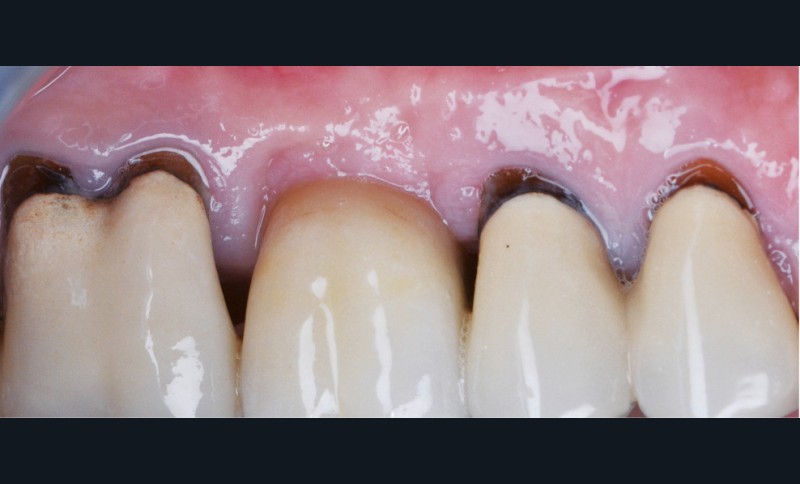
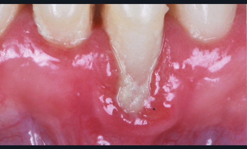
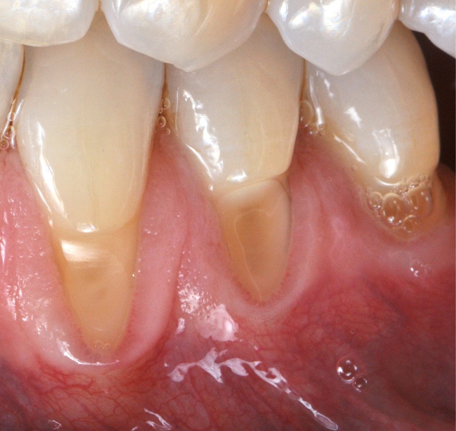
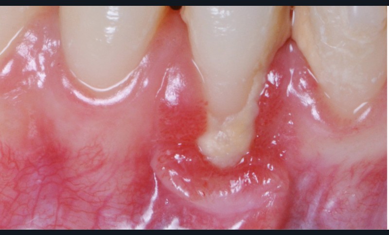
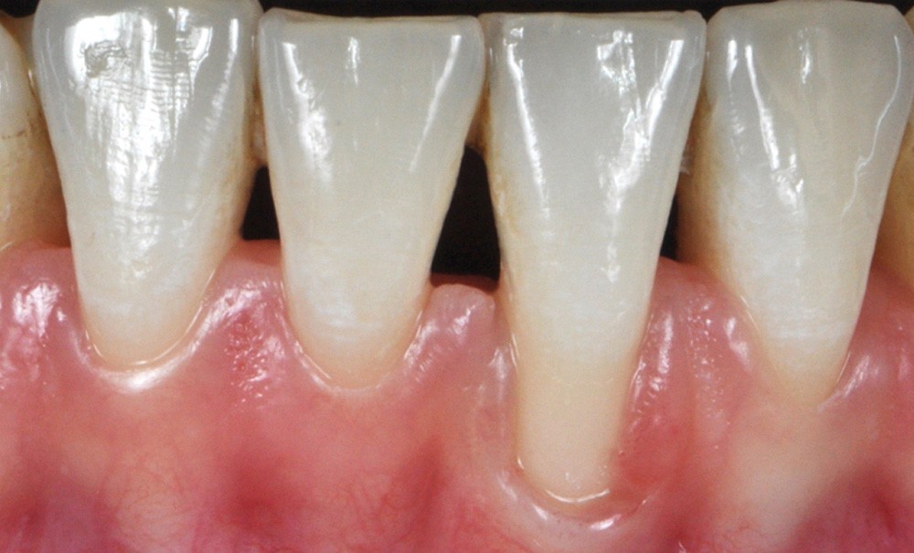
Zuchelli et coll. [1] définissent quatre causes à l’origine des récessions gingivales à la suite d’une déhiscence osseuse : les causes traumatiques (fig. 1) par le brossage, le surcontour prothétique, les piercings ; les causes bactériennes (fig. 2) liées à une inflammation marginale ; les causes virales par le virus de l’herpès simple ; et les origines mixtes, à savoir traumatiques et bactériennes (fig. 3). Le diagnostic de récession liée à la plaque dentaire dépend de la présence de dépôts tartriques et/ou d’inflammation des tissus environnant les zones exposées. En présence d’une origine mixte, la récession est d’abord initiée par un brossage traumatisant, rendant la surface radiculaire hypersensible ou irrégulière, ayant une répercussion négative sur le brossage et l’accessibilité à l’hygiène.
Facteurs prédisposants
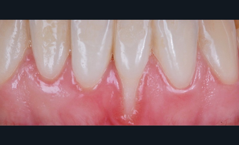
Les facteurs prédisposants combinés aux causes directes traumatiques ou inflammatoires contribuent à l’apparition de récession. Ces facteurs sont : le phénotype fin, la proéminence radiculaire (fig. 4), la malposition dentaire (fig. 5), le traitement orthodontique et les insertions de freins…




